电话:
+86 (0512) 65829739
传真:
+86 (010) 6788 5057
电子邮件:
orders@antibodies-online.cn

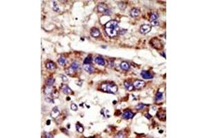
ZMPSTE24 抗体 (C-Term)

The 兔 多克隆 anti-ZMPSTE24 antibody (ABIN357708) specifically detects ZMPSTE24 in WB, IHC (p) 和 EIA. The antibody is reactive with 人 samples.
产品编号 ABIN357708
发货至: 中国
Contact our Customer Service for availability and price in your country. Contact Info

Our Local Distributor

中国
北京 101111
No. 88 KeChuang 6th Street
Beijing Economic Technological Development Area
Room 801-803
4A Biotech Co.,Ltd.
Tel +86 (0512) 65829739 传真 +86 (010) 6788 5057

Quick Overview for ZMPSTE24 抗体 (C-Term) (ABIN357708)

抗原

See all ZMPSTE24 (Zmpste24) 抗体
ZMPSTE24 (Zmpste24) (Zinc Metalloproteinase, Ste24 (Zmpste24))

适用

  • 37
  • 16
  • 9
  • 2
  • 2
  • 2
  • 1
  • 1
  • 1
  • 1
  • 1

宿主

  • 37
  • 1

克隆类型

  • 38
多克隆

标记

  • 21
  • 7
  • 3
  • 3
  • 3
  • 1
This ZMPSTE24 antibody is un-conjugated

应用范围

  • 33
  • 27
  • 12
  • 4
  • 2
  • 1
  • 1
Western Blotting (WB), Immunohistochemistry (Paraffin-embedded Sections) (IHC (p)), Enzyme Immunoassay (EIA)
  • 抗原表位

    • 6
    • 6
    • 5
    • 5
    • 4
    • 2
    • 2
    • 1
    • 1
    • 1
    • 1
    • 1
    C-Term

    特异性

    This antibody is specific to ZMPSTE24 (C-term). Predicted to cross react with Mouse (100 % Antigen Homology).

    纯化方法

    Protein G Chromatography, eluted with high and low pH buffers and neutralized immediately, followed by dialysis against PBS.

    免疫原

    This antibody is generated from rabbits immunized with a KLH conjugated synthetic peptide selected from the C-terminal region of human ZMPSTE24.

    亚型

    Ig Fraction
  • 应用备注

    ELISA: 1/1,000. Western Blot: 1/100-1/500. Immunohistochemistry: 1/50-1/100.
    Other applications not tested.
    Optimal dilutions are dependent on conditions and should be determined by the user.

    限制

    仅限研究用
  • 状态

    Liquid

    浓度

    0.25 mg/mL

    缓冲液

    PBS with 0.09 % (W/V) Sodium Azide as preservative.

    储存液

    Sodium azide

    注意事项

    This product contains sodium azide: a POISONOUS AND HAZARDOUS SUBSTANCE which should be handled by trained staff only.

    注意事项

    Avoid repeated freezing and thawing.

    储存条件

    4 °C/-20 °C

    储存方法

    Store the antibody undiluted at 2-8 °C for one month or (in aliquots) at-20 °C for longer.
  • 抗原

    ZMPSTE24 (Zmpste24) (Zinc Metalloproteinase, Ste24 (Zmpste24))

    别名

    ZMPSTE24

    背景

    ZMPSTE24 is a zinc metalloprotease similar to yeast Ste24p. It is an integral membrane protein belonging to peptidase family M48 and is found in the endoplasmic reticulum and possibly in the Golgi compartment. It is thought to be involved in the proteolytic processing of farnesylated proteins.Synonyms: CAAX prenyl protease 1 homolog, FACE-1, FACE1, Farnesylated proteins-converting enzyme 1, Prenyl protein-specific endoprotease 1, STE24, Zinc metalloproteinase Ste24 homolog

    分子量

    54813 Da

    基因ID

    10269, 5874

    UniProt

    O75844
You are here: