电话:
+86 (0512) 65829739
传真:
+86 (010) 6788 5057
电子邮件:
orders@antibodies-online.cn

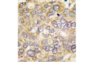
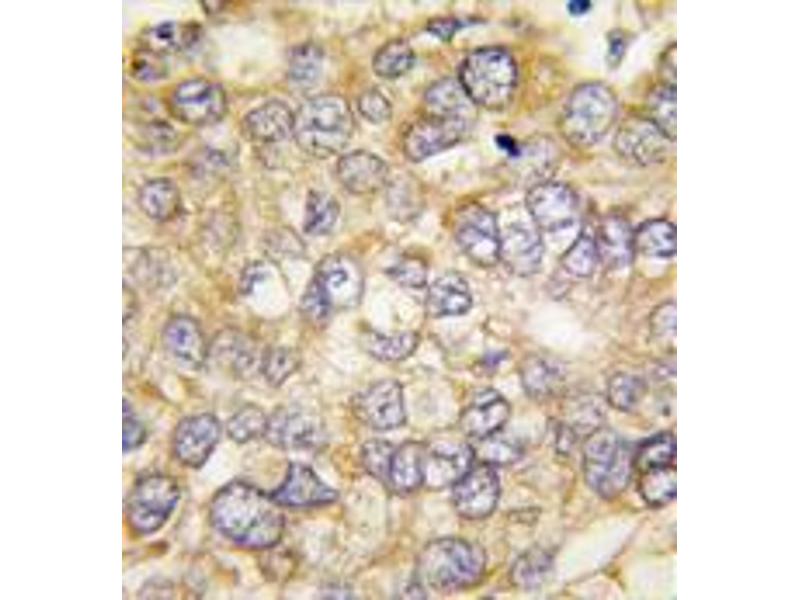
Chordin 抗体 (C-Term)

The 兔 多克隆 anti-Chordin antibody (ABIN356892) specifically detects Chordin in WB, IHC (p) 和 EIA. The antibody is reactive with 人 samples.
产品编号 ABIN356892
发货至: 中国
Contact our Customer Service for availability and price in your country. Contact Info

Our Local Distributor

中国
北京 101111
No. 88 KeChuang 6th Street
Beijing Economic Technological Development Area
Room 801-803
4A Biotech Co.,Ltd.
Tel +86 (0512) 65829739 传真 +86 (010) 6788 5057

Quick Overview for Chordin 抗体 (C-Term) (ABIN356892)

抗原

See all Chordin (CHRD) 抗体
Chordin (CHRD)

适用

  • 39
  • 22
  • 11
  • 1

宿主

  • 48
  • 1

克隆类型

  • 48
  • 1
多克隆

标记

  • 20
  • 5
  • 3
  • 3
  • 3
  • 3
  • 2
  • 2
  • 2
  • 2
  • 2
  • 2
This Chordin antibody is un-conjugated

应用范围

  • 26
  • 25
  • 18
  • 5
  • 3
  • 2
  • 1
  • 1
  • 1
  • 1
Western Blotting (WB), Immunohistochemistry (Paraffin-embedded Sections) (IHC (p)), Enzyme Immunoassay (EIA)
  • 抗原表位

    • 8
    • 7
    • 7
    • 3
    • 2
    • 2
    • 1
    • 1
    • 1
    • 1
    • 1
    • 1
    • 1
    • 1
    • 1
    • 1
    C-Term

    特异性

    This antibody detects CHRD at C-term.

    纯化方法

    Protein A column, followed by peptide affinity purification.

    免疫原

    This antibody is generated from rabbits immunized with a KLH conjugated synthetic peptide selected from the C-terminal region of human CHRD.

    亚型

    Ig Fraction
  • 应用备注

    ELISA 1: 1,000. Western blot 1: 50 - 1: 100. Immunohistochemistry 1: 10 - 1: 50.
    Other applications not tested.
    Optimal dilutions are dependent on conditions and should be determined by the user.

    限制

    仅限研究用
  • 状态

    Liquid

    浓度

    0.25 mg/mL

    缓冲液

    PBS with 0.09 % (W/V) sodium azide

    储存液

    Sodium azide

    注意事项

    This product contains sodium azide: a POISONOUS AND HAZARDOUS SUBSTANCE which should be handled by trained staff only.

    注意事项

    Avoid repeated freezing and thawing.

    储存条件

    4 °C/-20 °C

    储存方法

    Store the antibody at 2 - 8 °C up to one month or (in aliquots) at -20 °C for longer.
  • 抗原

    Chordin (CHRD)

    别名

    Chordin

    背景

    CHRD is a secreted protein that dorsalizes early vertebrate embryonic tissues by binding to ventralizing TGF-beta-like bone morphogenetic proteins and sequestering them in latent complexes. This protein may also have roles in organogenesis and during adulthood.Synonyms: CHRD

    分子量

    102032 Da

    基因ID

    8646, 9606

    UniProt

    Q9H2X0
You are here: