电话:
+86 (0512) 65829739
传真:
+86 (010) 6788 5057
电子邮件:
orders@antibodies-online.cn

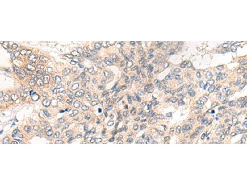
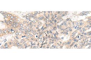
Chordin 抗体

The 兔 多克隆 anti-Chordin antibody is suitable to detect Chordin in samples from 人, 小鼠 和 大鼠. It has been validated for IHC 和 ELISA.
产品编号 ABIN7246175
发货至: 中国
Contact our Customer Service for availability and price in your country. Contact Info

Our Local Distributor

中国
北京 101111
No. 88 KeChuang 6th Street
Beijing Economic Technological Development Area
Room 801-803
4A Biotech Co.,Ltd.
Tel +86 (0512) 65829739 传真 +86 (010) 6788 5057

Quick Overview for Chordin 抗体 (ABIN7246175)

抗原

See all Chordin (CHRD) 抗体
Chordin (CHRD)

适用

  • 39
  • 21
  • 10
  • 1
人, 小鼠, 大鼠

宿主

  • 48
  • 1

克隆类型

  • 48
  • 1
多克隆

标记

  • 20
  • 5
  • 3
  • 3
  • 3
  • 3
  • 2
  • 2
  • 2
  • 2
  • 2
  • 2
This Chordin antibody is un-conjugated

应用范围

  • 27
  • 24
  • 17
  • 6
  • 3
  • 2
  • 2
  • 1
  • 1
  • 1
Immunohistochemistry (IHC), ELISA
  • 产品特性

    Polyclonal Antibody

    纯化方法

    Antigen affinity purification

    免疫原

    Fusion protein of human CHRD

    亚型

    IgG
  • 应用备注

    IHC 1:30-1:150, ELISA 1:5000-1:10000

    限制

    仅限研究用
  • 状态

    Liquid

    浓度

    0.8 mg/mL

    缓冲液

    PBS with 0.05 % Sodium azide and 40 % Glycerol, pH 7.4

    储存液

    Sodium azide

    注意事项

    This product contains Sodium azide: a POISONOUS AND HAZARDOUS SUBSTANCE which should be handled by trained staff only.

    储存条件

    -20 °C

    储存方法

    Store at -20°C. Avoid freeze / thaw cycles.
  • 抗原

    Chordin (CHRD)

    别名

    CHRD

    背景

    CHRD (Chordin) is a Protein Coding gene. Diseases associated with CHRD include Cornelia De Lange Syndrome. Among its related pathways are Mesodermal Commitment Pathway and TGF-beta signaling pathway (KEGG). GO annotations related to this gene include heparin binding and syndecan binding. An important paralog of this gene is CHRDL2.This gene encodes a secreted protein that dorsalizes early vertebrate embryonic tissues by binding to ventralizing TGF-beta-like bone morphogenetic proteins and sequestering them in latent complexes. The encoded protein may also have roles in organogenesis and during adulthood. It has been suggested that this gene could be a candidate gene for Cornelia de Lange syndrome. Reduced expression of this gene results in enhanced bone regeneration. Alternative splicing results in multiple transcript variants. Other alternative splice variants have been described but their full length sequence has not been determined.

    UniProt

    Q9H2X0
You are here: