电话:
+86 (0512) 65829739
传真:
+86 (010) 6788 5057
电子邮件:
orders@antibodies-online.cn

SUMO2 抗体 (C-Term)

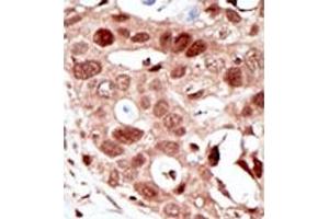
This 兔 多克隆 antibody specifically detects SUMO2 in WB, IHC (p) 和 EIA. It exhibits reactivity toward 人.
产品编号 ABIN356794
发货至: 中国
Contact our Customer Service for availability and price in your country. Contact Info

Our Local Distributor

中国
北京 101111
No. 88 KeChuang 6th Street
Beijing Economic Technological Development Area
Room 801-803
4A Biotech Co.,Ltd.
Tel +86 (0512) 65829739 传真 +86 (010) 6788 5057

Quick Overview for SUMO2 抗体 (C-Term) (ABIN356794)

抗原

See all SUMO2 抗体
SUMO2 (Small Ubiquitin Related Modifier 2 (SUMO2))

适用

  • 104
  • 44
  • 38
  • 3
  • 3
  • 1
  • 1
  • 1
  • 1

宿主

  • 80
  • 28
  • 1

克隆类型

  • 82
  • 28
多克隆

标记

  • 60
  • 9
  • 8
  • 7
  • 5
  • 5
  • 1
  • 1
  • 1
  • 1
  • 1
  • 1
  • 1
  • 1
  • 1
  • 1
  • 1
  • 1
  • 1
  • 1
  • 1
  • 1
This SUMO2 antibody is un-conjugated

应用范围

  • 72
  • 55
  • 39
  • 21
  • 14
  • 11
  • 11
  • 7
  • 5
  • 4
  • 3
  • 2
  • 1
  • 1
Western Blotting (WB), Immunohistochemistry (Paraffin-embedded Sections) (IHC (p)), Enzyme Immunoassay (EIA)
  • 抗原表位

    • 18
    • 8
    • 7
    • 7
    • 7
    • 5
    • 4
    • 3
    • 2
    • 2
    • 2
    • 1
    • 1
    • 1
    • 1
    • 1
    • 1
    C-Term

    特异性

    This antibody is specific to SUMO2 (C-term).

    纯化方法

    Protein G Chromatography, eluted with high and low pH buffers and neutralized immediately, followed by dialysis against PBS.

    免疫原

    This antibody is generated from rabbits immunized with a KLH conjugated synthetic peptide selected from the C-terminal region of human SUMO2.

    亚型

    Ig Fraction
  • 应用备注

    ELISA: 1/1,000. Western blot: 1/100-1/500. Immunohistochemistry: 1/50-1/100.
    Other applications not tested.
    Optimal dilutions are dependent on conditions and should be determined by the user.

    限制

    仅限研究用
  • 状态

    Liquid

    浓度

    0.25 mg/mL

    缓冲液

    PBS containing 0.09 % (W/V) Sodium Azide as preservative.

    储存液

    Sodium azide

    注意事项

    This product contains sodium azide: a POISONOUS AND HAZARDOUS SUBSTANCE which should be handled by trained staff only.

    注意事项

    Avoid repeated freezing and thawing.

    储存条件

    4 °C/-20 °C

    储存方法

    Store the antibody undiluted at 2-8 °C for one month or (in aliquots) at-20 °C for longer.
  • 抗原

    SUMO2 (Small Ubiquitin Related Modifier 2 (SUMO2))

    别名

    SUMO2

    背景

    SUMO2 is a member of the SUMO (small ubiquitin-like modifier) protein family. This protein family functions in a manner similar to ubiquitin in that it is bound to target proteins as part of a post-translational modification system. However, unlike ubiquitin which targets proteins for degradation, this protein is involved in a variety of cellular processes, such as nuclear transport, transcriptional regulation, apoptosis, and protein stability. In vertebrates, three members of the SUMO family have been described, SUMO 1 and the functionally distinct homologues SUMO 2 and SUMO 3. SUMO modification sites present in the N terminal regions of SUMO 2 and SUMO 3 are utilized by SAE1/SAE2 (SUMO E1) and Ubc9 (SUMO E2) to form polymeric chains of SUMO 2 and SUMO 3 on protein substrates, a property not shared by SUMO 1.Synonyms: HSMT3, SMT3 homolog 2, SMT3A, SMT3H2, SUMO-3, Sentrin-2, Small ubiquitin-related modifier 2, Smt3A, Ubiquitin-like protein SMT3A

    基因ID

    6613, 9606

    UniProt

    P61956

    途径

    Methionine Biosynthetic Process
You are here: