电话:
+86 (0512) 65829739
传真:
+86 (010) 6788 5057
电子邮件:
orders@antibodies-online.cn

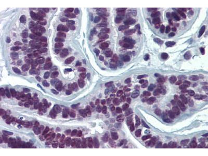
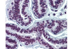
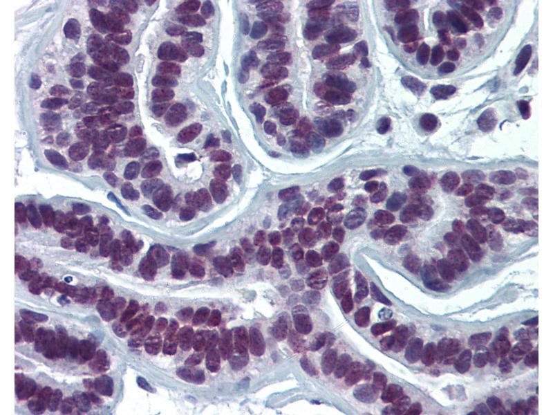
SUMO2 抗体 (AA 1-96)

The 小鼠 单克隆 anti-SUMO2 antibody is suitable to detect SUMO2 in samples from 人. It has been validated for WB, ELISA, IHC 和 IHC (p).
产品编号 ABIN790589
发货至: 中国
Contact our Customer Service for availability and price in your country. Contact Info

Our Local Distributor

中国
北京 101111
No. 88 KeChuang 6th Street
Beijing Economic Technological Development Area
Room 801-803
4A Biotech Co.,Ltd.
Tel +86 (0512) 65829739 传真 +86 (010) 6788 5057

Quick Overview for SUMO2 抗体 (AA 1-96) (ABIN790589)

抗原

See all SUMO2 抗体
SUMO2 (Small Ubiquitin Related Modifier 2 (SUMO2))

适用

  • 105
  • 44
  • 39
  • 3
  • 3
  • 1
  • 1
  • 1
  • 1

宿主

  • 82
  • 27
  • 1
小鼠

克隆类型

  • 84
  • 27
单克隆

标记

  • 61
  • 9
  • 8
  • 7
  • 5
  • 5
  • 1
  • 1
  • 1
  • 1
  • 1
  • 1
  • 1
  • 1
  • 1
  • 1
  • 1
  • 1
  • 1
  • 1
  • 1
  • 1
This SUMO2 antibody is un-conjugated

应用范围

  • 73
  • 54
  • 36
  • 22
  • 14
  • 11
  • 11
  • 9
  • 5
  • 4
  • 4
  • 2
  • 1
  • 1
Western Blotting (WB), ELISA, Immunohistochemistry (IHC), Immunohistochemistry (Paraffin-embedded Sections) (IHC (p))

克隆位点

2H8
You are here: