KLKB1 抗体
Our Local Distributor
北京 101111
Quick Overview for KLKB1 抗体 (ABIN351494)
抗原
See all KLKB1 抗体适用
宿主
克隆类型
标记
应用范围
-
-
特异性
- Specific for PK as demonstrated by immunoelectrophoresis and ELISA.
-
纯化方法
- Ammonium sulfate precipitation
-
免疫原
-
Human Prekallikrein (PK) purified from plasma.
Type of Immunogen: Purified protein -
亚型
- IgG
-
-
-
-
应用备注
-
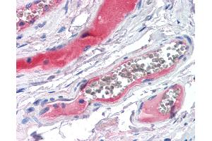
Approved: ELISA, IE, IHC, IHC-P (5 μg/mL)
Usage: Immunohistochemistry: This antibody was validated for use in immunohistochemistry on a panel of 21 formalin-fixed, paraffin-embedded (FFPE) human tissues after heat induced antigen retrieval in pH 6.0 citrate buffer. After incubation with the primary antibody, slides were incubated with biotinylated secondary antibody, followed by alkaline phosphatase-streptavidin and chromogen. The stained slides were evaluated by a pathologist to confirm staining specificity. The optimal working concentration for this antibody was determined to be 5 μg/mL. -
说明
-
Target Species of Antibody: Human
-
限制
- 仅限研究用
-
-
-
状态
- Liquid
-
浓度
- Lot specific
-
缓冲液
- 10 mM HEPES, pH 7.4, 0.15 M sodium chloride, 50 % glycerol.
-
注意事项
- Avoid repeated freezing and thawing.
-
储存条件
- 4 °C,-20 °C
-
储存方法
- Short term: 4°C. Long term: Store at -20°C. Avoid freeze-thaw cycles.
-
-
- KLKB1 (Kallikrein B, Plasma (Fletcher Factor) 1 (KLKB1))
-
别名
- KLKB1 / Plasma Kallikrein
-
背景
-
Name/Gene ID: KLKB1
Subfamily: Serine S1
Family: Protease
Synonyms: KLKB1, Fletcher factor deficiency, Fletcher factor, Kininogenin, Plasma kallikrein, PKK deficiency, Plasma kallikrein heavy chain, PPK, Prekallikrein deficiency, Plasma kallikrein light chain, Plasma prekallikrein, Kallikrein 3 -
基因ID
- 3818
-
UniProt
- P03952
-
途径
- Complement System, Brown Fat Cell Differentiation
抗原
-