电话:
+86 (0512) 65829739
传真:
+86 (010) 6788 5057
电子邮件:
orders@antibodies-online.cn

CDK2 抗体

The 小鼠 单克隆 anti-CDK2 antibody is suitable to detect CDK2 in samples from 人, 小鼠 和 大鼠. It has been validated for WB, IHC, ELISA, IP, IF 和 IHC (p).
产品编号 ABIN337208
发货至: 中国
Contact our Customer Service for availability and price in your country. Contact Info

Our Local Distributor

中国
北京 101111
No. 88 KeChuang 6th Street
Beijing Economic Technological Development Area
Room 801-803
4A Biotech Co.,Ltd.
Tel +86 (0512) 65829739 传真 +86 (010) 6788 5057

Quick Overview for CDK2 抗体 (ABIN337208)

抗原

See all CDK2 抗体
CDK2 (Cyclin-Dependent Kinase 2 (CDK2))

适用

  • 241
  • 144
  • 123
  • 13
  • 11
  • 10
  • 8
  • 8
  • 7
  • 7
  • 6
  • 6
  • 6
  • 5
  • 3
  • 3
  • 2
人, 小鼠, 大鼠

宿主

  • 232
  • 31
  • 1
小鼠

克隆类型

  • 181
  • 83
单克隆

标记

  • 121
  • 23
  • 14
  • 9
  • 6
  • 5
  • 5
  • 5
  • 5
  • 5
  • 5
  • 4
  • 4
  • 4
  • 4
  • 4
  • 4
  • 4
  • 4
  • 4
  • 4
  • 4
  • 4
  • 3
  • 3
  • 1
  • 1
  • 1
  • 1
  • 1
  • 1
  • 1
This CDK2 antibody is un-conjugated

应用范围

  • 224
  • 91
  • 71
  • 56
  • 55
  • 40
  • 39
  • 38
  • 30
  • 30
  • 9
  • 8
  • 5
  • 3
  • 2
  • 2
  • 2
  • 1
  • 1
  • 1
  • 1
Western Blotting (WB), Immunohistochemistry (IHC), ELISA, Immunoprecipitation (IP), Immunofluorescence (IF), Immunohistochemistry (Paraffin-embedded Sections) (IHC (p))
  • 特异性

    Recognizes human Cdk2. Species cross-reactivity: mouse and rat.

    纯化方法

    Protein A purified

    免疫原

    Human recombinant cdk2 protein.

    Type of Immunogen: Recombinant protein

    亚型

    IgG2a, IgG2b
  • 应用备注

    Approved: ELISA, IF, IHC, IHC-P (5 μg/mL), IP, WB (1 - 2 μg/mL)

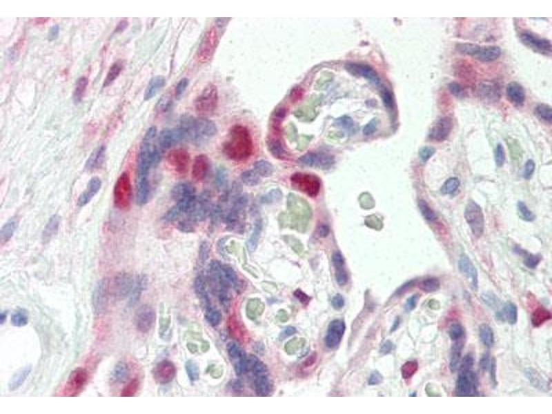
    Usage: Immunohistochemistry: This antibody was validated for use in immunohistochemistry on a panel of 21 formalin-fixed, paraffin-embedded (FFPE) human tissues after heat induced antigen retrieval in  pH 6.0 citrate buffer. After incubation with the primary antibody, slides were incubated with biotinylated secondary antibody, followed by alkaline phosphatase-streptavidin and chromogen. The stained slides were evaluated by a pathologist to confirm staining specificity. The optimal working concentration for this antibody was determined to be 5 μg/mL. Immunoprecipitation: 2 μg/mg protein lysate. (Denatured only) Use Protein A. Western Blot: 1-2 μg/mL for 2hrs at RT. Positive control: HeLa cells.

    说明

    Target Species of Antibody: Human

    限制

    仅限研究用
  • 状态

    Liquid

    浓度

    Lot specific

    缓冲液

    10 mM PBS,  pH 7.4, 0.2 % BSA, 0.09 % sodium azide, 40 % glycerol.

    储存液

    Sodium azide

    注意事项

    This product contains Sodium azide: a POISONOUS AND HAZARDOUS SUBSTANCE which should be handled by trained staff only.

    注意事项

    Avoid repeated freezing and thawing.

    储存条件

    4 °C,-20 °C

    储存方法

    4°C or -20°C, Avoid freeze-thaw cycles.
  • 抗原

    CDK2 (Cyclin-Dependent Kinase 2 (CDK2))

    别名

    CDK2

    背景

    Name/Gene ID: CDK2
    Subfamily: CDC2/CDK
    Family: Protein Kinase

    Synonyms: CDK2, Cell division protein kinase 2, CDC2-related protein kinase, p33 protein kinase, p33(CDK2), CDKN2, Cyclin-dependent kinase 2

    基因ID

    1017

    UniProt

    P24941

    途径

    PI3K-Akt Signaling, Cell Division Cycle, Mitotic G1-G1/S Phases, DNA Replication, M Phase, Synthesis of DNA
You are here: