电话:
+86 (0512) 65829739
传真:
+86 (010) 6788 5057
电子邮件:
orders@antibodies-online.cn

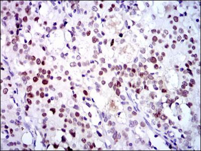
CDK2 抗体 (AA 197-295)

The 小鼠 单克隆 anti-CDK2 antibody (Clone 1A6) (ABIN1497393) specifically detects CDK2 in WB, IHC, ELISA, IF 和 FACS. The antibody is reactive with 人 和 小鼠 samples.
产品编号 ABIN1497393
发货至: 中国
Contact our Customer Service for availability and price in your country. Contact Info

Our Local Distributor

中国
北京 101111
No. 88 KeChuang 6th Street
Beijing Economic Technological Development Area
Room 801-803
4A Biotech Co.,Ltd.
Tel +86 (0512) 65829739 传真 +86 (010) 6788 5057

Quick Overview for CDK2 抗体 (AA 197-295) (ABIN1497393)

抗原

See all CDK2 抗体
CDK2 (Cyclin-Dependent Kinase 2 (CDK2))

适用

  • 241
  • 144
  • 124
  • 13
  • 11
  • 10
  • 8
  • 8
  • 7
  • 7
  • 6
  • 6
  • 6
  • 5
  • 3
  • 3
  • 2
人, 小鼠

宿主

  • 232
  • 31
  • 1
小鼠

克隆类型

  • 181
  • 83
单克隆

标记

  • 121
  • 23
  • 14
  • 9
  • 6
  • 5
  • 5
  • 5
  • 5
  • 5
  • 5
  • 4
  • 4
  • 4
  • 4
  • 4
  • 4
  • 4
  • 4
  • 4
  • 4
  • 4
  • 4
  • 3
  • 3
  • 1
  • 1
  • 1
  • 1
  • 1
  • 1
  • 1
This CDK2 antibody is un-conjugated

应用范围

  • 224
  • 91
  • 71
  • 56
  • 54
  • 41
  • 39
  • 38
  • 31
  • 30
  • 9
  • 8
  • 5
  • 3
  • 2
  • 2
  • 2
  • 1
  • 1
  • 1
  • 1
Western Blotting (WB), Immunohistochemistry (IHC), ELISA, Immunofluorescence (IF), Flow Cytometry (FACS)

克隆位点

1A6
  • 抗原表位

    • 30
    • 29
    • 25
    • 16
    • 15
    • 14
    • 9
    • 8
    • 8
    • 5
    • 4
    • 4
    • 3
    • 3
    • 2
    • 2
    • 2
    • 2
    • 2
    • 1
    • 1
    • 1
    • 1
    • 1
    • 1
    • 1
    • 1
    • 1
    • 1
    • 1
    • 1
    • 1
    • 1
    • 1
    AA 197-295

    特异性

    Human CDC2 / CDK2

    纯化方法

    Purified

    免疫原

    Purified recombinant fragment of human CDK2 expressed in E. Coli.\

    亚型

    IgG1
  • 应用备注

    Approved: ELISA (1:10000), Flo (1:200 - 1:400), IF (1:200 - 1:1000), IHC, WB (1:100 - 1:500)

    说明

    Target Species of Antibody: Human

    限制

    仅限研究用
  • 状态

    Liquid

    浓度

    Lot specific

    缓冲液

    Purified antibody in PBS containing 0.05 % sodium azide

    储存液

    Sodium azide

    注意事项

    This product contains Sodium azide: a POISONOUS AND HAZARDOUS SUBSTANCE which should be handled by trained staff only.

    注意事项

    Avoid freeze-thaw cycles.

    储存条件

    4 °C,-20 °C

    储存方法

    Short term: 4°C
    Long term: -20°C.
  • 抗原

    CDK2 (Cyclin-Dependent Kinase 2 (CDK2))

    别名

    CDK2

    背景

    Name/Gene ID: CDK2
    Subfamily: CDC2/CDK
    Family: Protein Kinase

    Synonyms: CDK2, Cell division protein kinase 2, CDC2-related protein kinase, p33 protein kinase, p33(CDK2), CDKN2, Cyclin-dependent kinase 2

    基因ID

    1017

    UniProt

    P24941

    途径

    PI3K-Akt Signaling, Cell Division Cycle, Mitotic G1-G1/S Phases, DNA Replication, M Phase, Synthesis of DNA
You are here: