GOT2 抗体 (AA 295-306)
Our Local Distributor
北京 101111
Quick Overview for GOT2 抗体 (AA 295-306) (ABIN337180)
抗原
See all GOT2 抗体适用
宿主
克隆类型
标记
应用范围
-
-
抗原表位
- AA 295-306
-
特异性
- Human GOT2.
-
预测反应
- Percent identity by BLAST analysis: Human, Gorilla, Orangutan, Monkey, Marmoset, Hamster, Panda, Horse, Opossum (100%) Mouse, Rat, Bovine, Pig, Catfish, Salmon, Zebrafish (92%) Elephant, Turkey, Chicken, Platypus, Xenopus, Pufferfish, Poplar, Castor bean (83%).
-
纯化方法
- Immunoaffinity purified
-
免疫原
-
Synthetic peptide CKDADEAKRVES from an internal region of human GOT2 (NP_002071.2). Percent identity by BLAST analysis: Human, Gorilla, Orangutan, Monkey, Marmoset, Hamster, Panda, Horse, Opossum (100%), Mouse, Rat, Bovine, Pig, Catfish, Salmon, Zebrafish (92%), Elephant, Turkey, Chicken, Platypus, Xenopus, Pufferfish, Poplar, Castor bean (83%).
Type of Immunogen: Synthetic peptide
-
-
-
-
应用备注
-
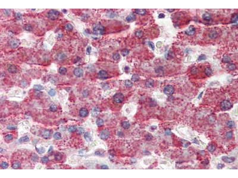
Approved: IHC, IHC-P (5 μg/mL), Peptide-ELISA (1:32000), WB (0.03 - 0.1 μg/mL)
Usage: Immunohistochemistry: This antibody was validated for use in immunohistochemistry on a panel of 21 formalin-fixed, paraffin-embedded (FFPE) human tissues after heat induced antigen retrieval in pH 6.0 citrate buffer. After incubation with the primary antibody, slides were incubated with biotinylated secondary antibody, followed by alkaline phosphatase-streptavidin and chromogen. The stained slides were evaluated by a pathologist to confirm staining specificity. The optimal working concentration for this antibody was determined to be 5 μg/mL. -
说明
-
Target Species of Antibody: Human
-
限制
- 仅限研究用
-
-
-
状态
- Liquid
-
浓度
- Lot specific
-
缓冲液
- Tris-buffered saline, pH 7.3, 0.5 % BSA, 0.02 % sodium azide
-
储存液
- Sodium azide
-
注意事项
- This product contains Sodium azide: a POISONOUS AND HAZARDOUS SUBSTANCE which should be handled by trained staff only.
-
注意事项
- Minimize freezing and thawing.
-
储存条件
- -20 °C
-
储存方法
- Store at -20°C. Avoid freeze-thaw cycles.
-
-
- GOT2 (Glutamic-Oxaloacetic Transaminase 2, Mitochondrial (Aspartate Aminotransferase 2) (GOT2))
-
别名
- GOT2
-
背景
-
Name/Gene ID: GOT2
Synonyms: GOT2, FABP-1, MitAAT, Transaminase A, FABPpm, Fatty acid-binding protein, KAT4, KATIV, Kynurenine aminotransferase IV, MAspAT -
基因ID
- 2806
-
NCBI登录号
- NP_002071
-
UniProt
- P00505
-
途径
- Monocarboxylic Acid Catabolic Process
抗原
-