GOT2 抗体
Our Local Distributor
北京 101111
Quick Overview for GOT2 抗体 (ABIN7267427)
抗原
See all GOT2 抗体适用
宿主
克隆类型
标记
应用范围
-
-
原理
- GOT2 Rabbit mAb
-
交叉反应
- 人, 小鼠, 大鼠
-
产品特性
- Monoclonal Antibodies
-
纯化方法
- Affinity purification
-
免疫原
- Recombinant protein of human GOT2.
-
亚型
- IgG
-
-
-
-
应用备注
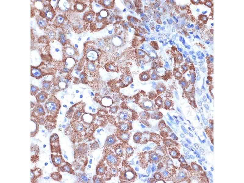
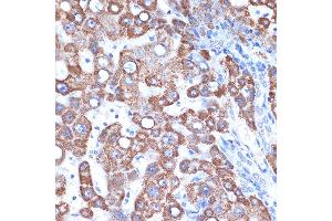
- WB,1:500 - 1:2000,IHC,1:50 - 1:200
-
限制
- 仅限研究用
-
-
-
状态
- Liquid
-
缓冲液
- PBS with 0.02 % sodium azide,0.05 % BSA,50 % glycerol, pH 7.3.
-
储存液
- Sodium azide
-
注意事项
- This product contains Sodium azide: a POISONOUS AND HAZARDOUS SUBSTANCE which should be handled by trained staff only.
-
储存条件
- -20 °C
-
储存方法
- Store at -20°C. Avoid freeze / thaw cycles.
-
-
- GOT2 (Glutamic-Oxaloacetic Transaminase 2, Mitochondrial (Aspartate Aminotransferase 2) (GOT2))
-
别名
- GOT2
-
背景
- Glutamic-oxaloacetic transaminase is a pyridoxal phosphate-dependent enzyme which exists in cytoplasmic and inner-membrane mitochondrial forms, GOT1 and GOT2, respectively. GOT plays a role in amino acid metabolism and the urea and tricarboxylic acid cycles. The two enzymes are homodimeric and show close homology. Two transcript variants encoding different isoforms have been found for this gene.,GOT2, KAT4, KATIV, KYAT4, mitAAT, glutamic-oxaloacetic transaminase 2,Cancer,Signal Transduction,Endocrine & Metabolism,Amino acid metabolism,Carbohydrate metabolism,GOT2
-
分子量
- 43kDa
-
基因ID
- 2806
-
UniProt
- P00505
-
途径
- Monocarboxylic Acid Catabolic Process
抗原
-