电话:
+86 (0512) 65829739
传真:
+86 (010) 6788 5057
电子邮件:
orders@antibodies-online.cn

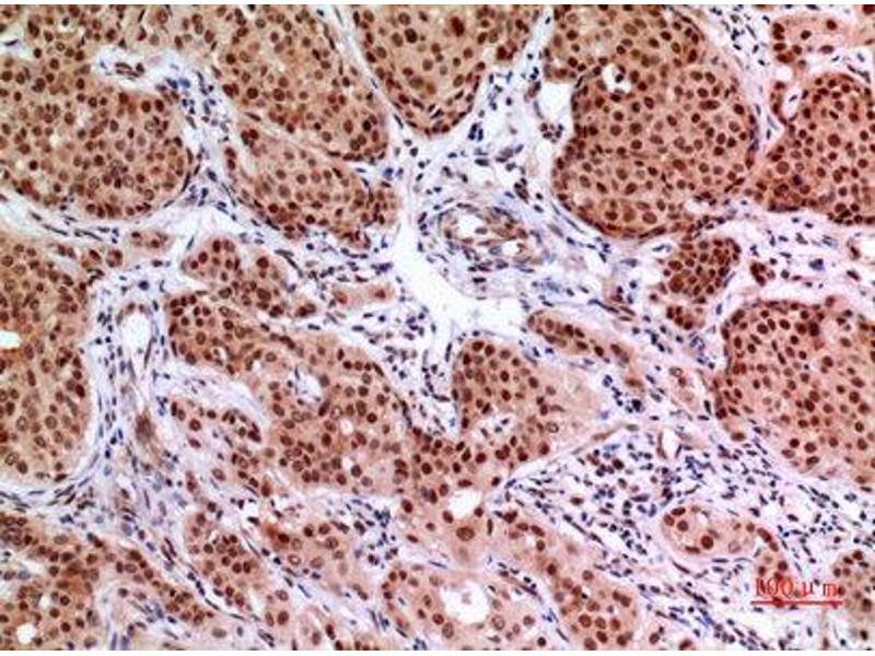
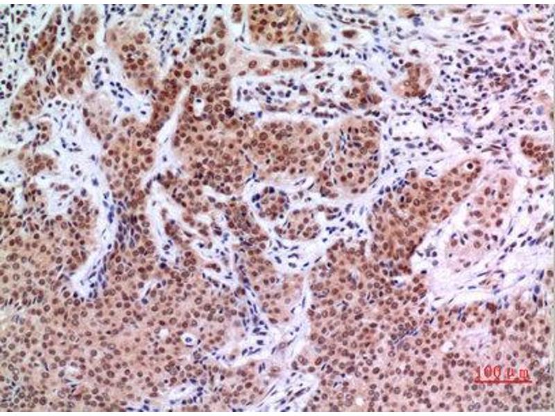
EPAS1 抗体 (Ser343)

The 兔 多克隆 anti-EPAS1 antibody is suitable to detect EPAS1 in samples from 人, 大鼠 和 小鼠. It has been validated for WB, ELISA 和 IHC (p).
产品编号 ABIN3187839
发货至: 中国
Contact our Customer Service for availability and price in your country. Contact Info

Our Local Distributor

中国
北京 101111
No. 88 KeChuang 6th Street
Beijing Economic Technological Development Area
Room 801-803
4A Biotech Co.,Ltd.
Tel +86 (0512) 65829739 传真 +86 (010) 6788 5057

Quick Overview for EPAS1 抗体 (Ser343) (ABIN3187839)

抗原

See all EPAS1 抗体
EPAS1 (Endothelial PAS Domain Protein 1 (EPAS1))

适用

  • 96
  • 62
  • 54
  • 18
  • 17
  • 3
  • 3
  • 2
  • 2
  • 2
  • 2
  • 2
  • 1
  • 1
  • 1
  • 1
  • 1
  • 1
人, 大鼠, 小鼠

宿主

  • 108
  • 8
  • 1

克隆类型

  • 90
  • 27
多克隆

标记

  • 57
  • 12
  • 5
  • 3
  • 3
  • 3
  • 3
  • 3
  • 3
  • 3
  • 3
  • 2
  • 2
  • 2
  • 1
  • 1
  • 1
  • 1
  • 1
  • 1
  • 1
  • 1
  • 1
  • 1
  • 1
  • 1
  • 1
This EPAS1 antibody is un-conjugated

应用范围

  • 89
  • 37
  • 32
  • 24
  • 24
  • 21
  • 15
  • 13
  • 13
  • 10
  • 5
  • 4
  • 4
  • 2
  • 1
  • 1
  • 1
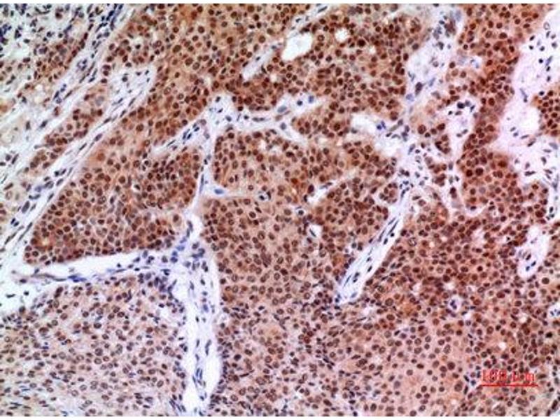
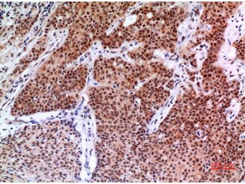
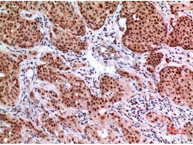
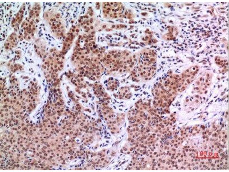
Western Blotting (WB), ELISA, Immunohistochemistry (Paraffin-embedded Sections) (IHC (p))
  • 抗原表位

    • 16
    • 7
    • 7
    • 6
    • 6
    • 6
    • 4
    • 3
    • 3
    • 3
    • 2
    • 2
    • 2
    • 2
    • 2
    • 2
    • 2
    • 1
    • 1
    • 1
    • 1
    • 1
    • 1
    • 1
    • 1
    • 1
    • 1
    • 1
    • 1
    Ser343

    特异性

    EPAS-1 Polyclonal Antibody detects endogenous levels of EPAS-1 protein.

    产品特性

    Rabbit Polyclonal to EPAS-1.

    纯化方法

    The antibody was affinity-purified from rabbit antiserum by affinity-chromatography using epitope-specific immunogen.

    免疫原

    Synthesized peptide derived from human EPAS-1 around the non-acetylation site of K385.

    亚型

    IgG
  • 应用备注

    WB 1:500-1:2000, IHC-P 1:100-1:300, ELISA 1:20000,

    限制

    仅限研究用
  • 状态

    Liquid

    浓度

    1 mg/mL

    缓冲液

    Liquid in PBS containing 50 % glycerol, 0.5 % BSA and 0.02 % sodium azide.

    储存液

    Sodium azide

    注意事项

    This product contains Sodium azide: a POISONOUS AND HAZARDOUS SUBSTANCE which should be handled by trained staff only.

    注意事项

    Avoid repeated freeze/thaw cycles.

    储存条件

    -20 °C

    储存方法

    Store at -20°C.
  • 抗原

    EPAS1 (Endothelial PAS Domain Protein 1 (EPAS1))

    别名

    EPAS-1

    分子量

    85 kDa

    基因ID

    2034

    UniProt

    Q99814

    途径

    Signaling Events mediated by VEGFR1 and VEGFR2, Warburg Effect
You are here: