PDGFD 抗体 (C-Term)
Our Local Distributor
北京 101111
Quick Overview for PDGFD 抗体 (C-Term) (ABIN3187818)
抗原
See all PDGFD 抗体适用
宿主
克隆类型
标记
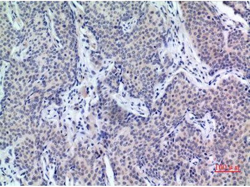
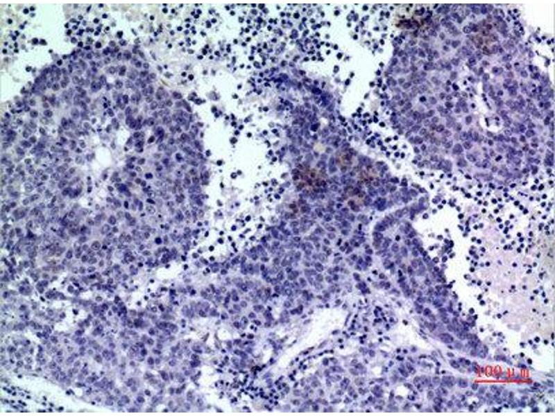
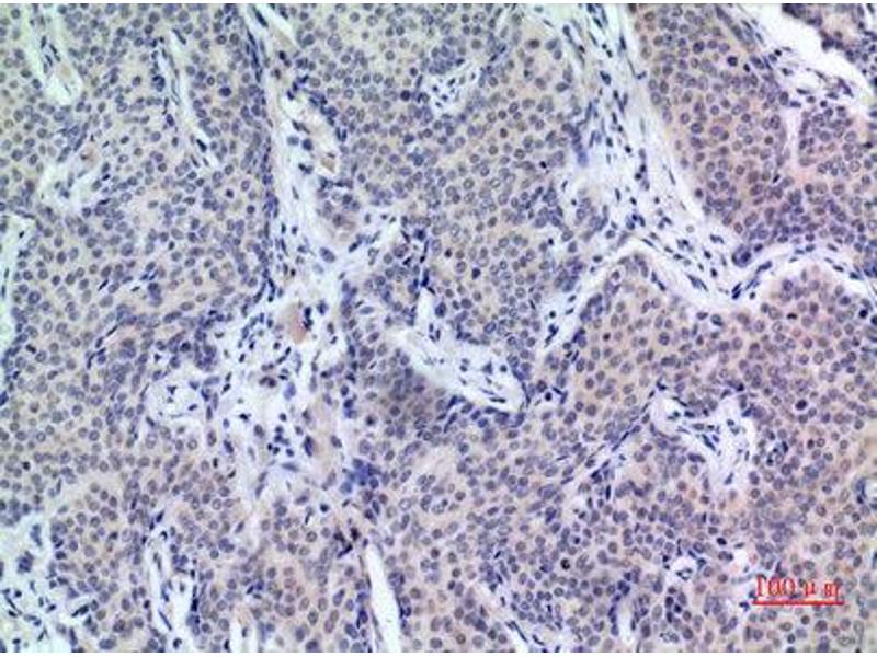
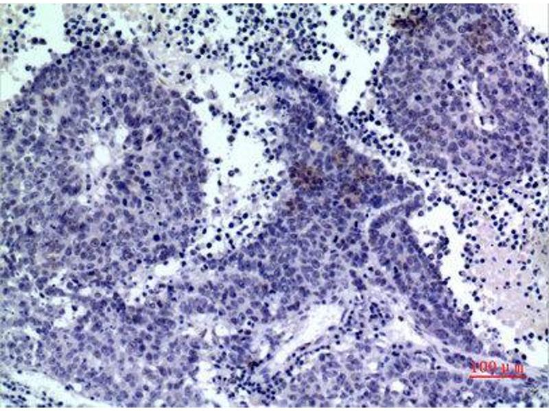
应用范围
-
-
抗原表位
- C-Term
-
特异性
- PDGF-D Polyclonal Antibody detects endogenous levels of PDGF-D protein.
-
产品特性
- Rabbit Polyclonal to PDGF-D.
-
纯化方法
- The antibody was affinity-purified from rabbit antiserum by affinity-chromatography using epitope-specific immunogen.
-
免疫原
- Synthesized peptide derived from the C-terminal region of human PDGF-D.
-
亚型
- IgG
-
-
-
-
应用备注
- WB 1:500-1:2000, IHC-P 1:100-1:300, ELISA 1:20000,
-
限制
- 仅限研究用
-
-
-
状态
- Liquid
-
浓度
- 1 mg/mL
-
缓冲液
- Liquid in PBS containing 50 % glycerol, 0.5 % BSA and 0.02 % sodium azide.
-
储存液
- Sodium azide
-
注意事项
- This product contains Sodium azide: a POISONOUS AND HAZARDOUS SUBSTANCE which should be handled by trained staff only.
-
注意事项
- Avoid repeated freeze/thaw cycles.
-
储存条件
- -20 °C
-
储存方法
- Store at -20°C.
-
-
- PDGFD (Platelet Derived Growth Factor D (PDGFD))
-
别名
- PDGF-D
-
分子量
- 42 kDa
-
基因ID
- 80310
-
UniProt
- Q9GZP0
-
途径
- RTK signaling, Platelet-derived growth Factor Receptor Signaling
抗原
-