电话:
+86 (0512) 65829739
传真:
+86 (010) 6788 5057
电子邮件:
orders@antibodies-online.cn

ARL6 抗体 (N-Term)

This 兔 多克隆 antibody specifically detects ARL6 in IHC, WB, ELISA 和 IHC (p). It exhibits reactivity toward 人.
产品编号 ABIN305749
发货至: 中国
Contact our Customer Service for availability and price in your country. Contact Info

Our Local Distributor

中国
北京 101111
No. 88 KeChuang 6th Street
Beijing Economic Technological Development Area
Room 801-803
4A Biotech Co.,Ltd.
Tel +86 (0512) 65829739 传真 +86 (010) 6788 5057

Quick Overview for ARL6 抗体 (N-Term) (ABIN305749)

抗原

See all ARL6 抗体
ARL6 (ADP Ribosylation Factor Like GTPase 6 (ARL6))

适用

  • 22
  • 2
  • 1

宿主

  • 14
  • 8
  • 1

克隆类型

  • 16
  • 7
多克隆

标记

  • 12
  • 1
  • 1
  • 1
  • 1
  • 1
  • 1
  • 1
  • 1
  • 1
  • 1
  • 1
This ARL6 antibody is un-conjugated

应用范围

  • 14
  • 8
  • 7
  • 6
  • 1
  • 1
  • 1
Immunohistochemistry (IHC), Western Blotting (WB), ELISA, Immunohistochemistry (Paraffin-embedded Sections) (IHC (p))
  • 抗原表位

    • 9
    • 1
    • 1
    • 1
    • 1
    N-Term

    特异性

    Synthetic peptide corresponding to N-terminal residues of human ARL6 (ADP-ribosylation factor- like protein 6).

    纯化方法

    Immunoaffinity purified

    免疫原

    Synthetic peptide from human ARL6.

    Type of Immunogen: Synthetic peptide
  • 应用备注

    Approved: ELISA (1 μg/mL), IHC, IHC-P (10 μg/mL), WB (1 μg/mL)

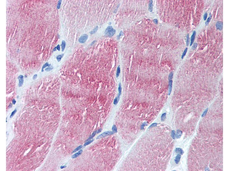
    Usage: Immunohistochemistry: This antibody was validated for use in immunohistochemistry on a panel of 21 formalin-fixed, paraffin-embedded (FFPE) human tissues after heat induced antigen retrieval in  pH 6.0 citrate buffer. After incubation with the primary antibody, slides were incubated with biotinylated secondary antibody, followed by alkaline phosphatase-streptavidin and chromogen. The stained slides were evaluated by a pathologist to confirm staining specificity. The optimal working concentration for this antibody was determined to be 10 μg/mL.

    说明

    Target Species of Antibody: Human

    限制

    仅限研究用
  • 状态

    Liquid

    浓度

    Lot specific

    缓冲液

    PBS, 0.01 % sodium azide, 50 % glycerol.

    储存液

    Sodium azide

    注意事项

    This product contains Sodium azide: a POISONOUS AND HAZARDOUS SUBSTANCE which should be handled by trained staff only.

    注意事项

    Avoid repeated freezing and thawing.

    储存条件

    4 °C,-20 °C

    储存方法

    4°C or -20°C, Avoid freeze-thaw cycles.
  • 抗原

    ARL6 (ADP Ribosylation Factor Like GTPase 6 (ARL6))

    别名

    ARL6

    背景

    Name/Gene ID: ARL6
    Family: Ras GTPase superfamily IPR001806

    Synonyms: ARL6, ADP-ribosylation factor-like 6, BBS3, RP55

    基因ID

    84100

    UniProt

    Q9H0F7
You are here: