电话:
+86 (0512) 65829739
传真:
+86 (010) 6788 5057
电子邮件:
orders@antibodies-online.cn

UBE2V2 抗体

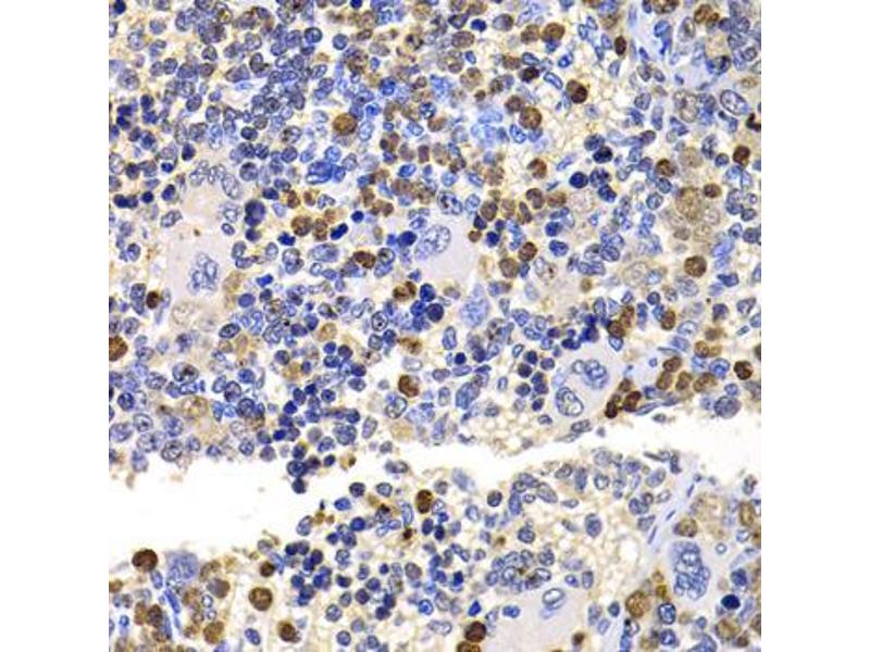
The 兔 多克隆 anti-UBE2V2 antibody (ABIN5975744) specifically detects UBE2V2 in WB 和 IHC. The antibody is reactive with 人, 小鼠 和 大鼠 samples.
产品编号 ABIN5975744
发货至: 中国
Contact our Customer Service for availability and price in your country. Contact Info

Our Local Distributor

中国
北京 101111
No. 88 KeChuang 6th Street
Beijing Economic Technological Development Area
Room 801-803
4A Biotech Co.,Ltd.
Tel +86 (0512) 65829739 传真 +86 (010) 6788 5057

Quick Overview for UBE2V2 抗体 (ABIN5975744)

抗原

See all UBE2V2 抗体
UBE2V2 (Ubiquitin-Conjugating Enzyme E2 Variant 2 (UBE2V2))

适用

  • 48
  • 23
  • 22
  • 4
  • 4
  • 4
  • 4
  • 3
  • 3
  • 2
  • 2
  • 2
  • 2
  • 2
  • 1
  • 1
人, 小鼠, 大鼠

宿主

  • 46
  • 1
  • 1

克隆类型

  • 47
多克隆

标记

  • 19
  • 4
  • 3
  • 3
  • 1
  • 1
  • 1
  • 1
  • 1
  • 1
  • 1
  • 1
  • 1
  • 1
  • 1
  • 1
  • 1
  • 1
  • 1
  • 1
  • 1
  • 1
  • 1
This UBE2V2 antibody is un-conjugated

应用范围

  • 38
  • 17
  • 13
  • 6
  • 4
  • 1
Western Blotting (WB), Immunohistochemistry (IHC)
You are here: