电话:
+86 (0512) 65829739
传真:
+86 (010) 6788 5057
电子邮件:
orders@antibodies-online.cn

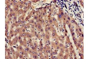
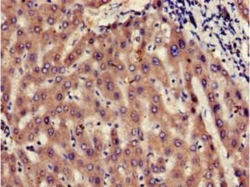
UBE2V2 抗体 (AA 2-145)

The 兔 多克隆 anti-UBE2V2 antibody (ABIN7174495) specifically detects UBE2V2 in WB, ELISA 和 IHC. The antibody is reactive with 人 samples.
产品编号 ABIN7174495
发货至: 中国
Contact our Customer Service for availability and price in your country. Contact Info

Our Local Distributor

中国
北京 101111
No. 88 KeChuang 6th Street
Beijing Economic Technological Development Area
Room 801-803
4A Biotech Co.,Ltd.
Tel +86 (0512) 65829739 传真 +86 (010) 6788 5057

Quick Overview for UBE2V2 抗体 (AA 2-145) (ABIN7174495)

抗原

See all UBE2V2 抗体
UBE2V2 (Ubiquitin-Conjugating Enzyme E2 Variant 2 (UBE2V2))

适用

  • 47
  • 23
  • 22
  • 4
  • 4
  • 4
  • 4
  • 3
  • 3
  • 2
  • 2
  • 2
  • 2
  • 2
  • 1
  • 1

宿主

  • 45
  • 1
  • 1

克隆类型

  • 46
多克隆

标记

  • 18
  • 4
  • 3
  • 3
  • 1
  • 1
  • 1
  • 1
  • 1
  • 1
  • 1
  • 1
  • 1
  • 1
  • 1
  • 1
  • 1
  • 1
  • 1
  • 1
  • 1
  • 1
  • 1
This UBE2V2 antibody is un-conjugated

应用范围

  • 37
  • 16
  • 13
  • 5
  • 4
  • 1
Western Blotting (WB), ELISA, Immunohistochemistry (IHC)
  • 抗原表位

    • 7
    • 6
    • 3
    • 2
    • 2
    • 1
    • 1
    • 1
    • 1
    • 1
    AA 2-145

    原理

    UBE2V2 Antibody

    交叉反应

    小鼠, 大鼠

    纯化方法

    Protein G purified

    纯度

    >95 %

    免疫原

    Recombinant Human Ubiquitin-conjugating enzyme E2 variant 2 protein (2-145AA)

    亚型

    IgG
  • 应用备注

    Optimal working dilution should be determined by the investigator.

    限制

    仅限研究用
  • 状态

    Liquid

    缓冲液

    Preservative: 0.03 % Proclin 300
    Constituents: 50 % Glycerol, 0.01M PBS, pH 7.4

    储存液

    ProClin

    注意事项

    This product contains ProClin: a POISONOUS AND HAZARDOUS SUBSTANCE which should be handled by trained staff only.

    储存条件

    -20 °C,-80 °C

    储存方法

    Upon receipt, store at -20°C or -80°C. Avoid repeated freeze.
  • 抗原

    UBE2V2 (Ubiquitin-Conjugating Enzyme E2 Variant 2 (UBE2V2))

    别名

    UBE2V2

    背景

    Background: Has no ubiquitin ligase activity on its own. The UBE2V2/UBE2N heterodimer catalyzes the synthesis of non-canonical poly-ubiquitin chains that are linked through \\\'Lys-63\\\'. This type of poly-ubiquitination does not lead to protein degradation by the proteasome. Mediates transcriptional activation of target genes. Plays a role in the control of progress through the cell cycle and differentiation. Plays a role in the error-free DNA repair pathway and contributes to the survival of cells after DNA damage.

    Aliases: 1 alpha 25 dihydroxyvitamin D3 inducible antibody, DDVit 1 antibody, DDVIT1 antibody, EDAF-1 antibody, EDAF1 antibody, EDPF-1 antibody, EDPF1 antibody, Enterocyte differentiation associated factor EDAF 1 antibody, Enterocyte differentiation promoting factor antibody, Enterocyte differentiation-associated factor 1 antibody, Enterocyte differentiation-promoting factor 1 antibody, Methyl methanesulfonate sensitive 2 antibody, MMS 2 antibody, MMS2 antibody, MMS2 homolog antibody, UB2V2_HUMAN antibody, UBE2V 2 antibody, UBE2V2 antibody, Ubiquitin conjugating enzyme E2 variant 2 antibody, Ubiquitin conjugating enzyme E2v2 antibody, Ubiquitin-conjugating enzyme E2 variant 2 antibody, UEV 2 antibody, UEV2 antibody, Vitamin D3 inducible protein antibody, Vitamin D3-inducible protein antibody

    UniProt

    Q15819

    途径

    Positive Regulation of Response to DNA Damage Stimulus
You are here: