电话:
+86 (0512) 65829739
传真:
+86 (010) 6788 5057
电子邮件:
orders@antibodies-online.cn

PPAN 抗体

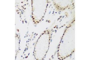
The 兔 多克隆 anti-PPAN antibody (ABIN3047766) specifically detects PPAN in WB, IHC 和 IF/ICC. The antibody is reactive with 人 和 小鼠 samples.
产品编号 ABIN3047766
发货至: 中国
Contact our Customer Service for availability and price in your country. Contact Info

Our Local Distributor

中国
北京 101111
No. 88 KeChuang 6th Street
Beijing Economic Technological Development Area
Room 801-803
4A Biotech Co.,Ltd.
Tel +86 (0512) 65829739 传真 +86 (010) 6788 5057

Quick Overview for PPAN 抗体 (ABIN3047766)

抗原

See all PPAN 抗体
PPAN (Peter Pan Homolog (PPAN))

适用

  • 27
  • 6
  • 2
人, 小鼠

宿主

  • 27

克隆类型

  • 27
多克隆

标记

  • 18
  • 3
  • 2
  • 2
  • 1
  • 1
This PPAN antibody is un-conjugated

应用范围

  • 20
  • 18
  • 8
  • 6
  • 1
  • 1
  • 1
Western Blotting (WB), Immunohistochemistry (IHC), Immunofluorescence (fixed cells) (IF/ICC)
You are here: