电话:
+86 (0512) 65829739
传真:
+86 (010) 6788 5057
电子邮件:
orders@antibodies-online.cn

PPAN 抗体

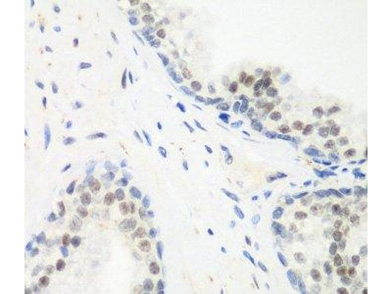
The 兔 多克隆 anti-PPAN antibody is suitable to detect PPAN in samples from 人 和 小鼠. It has been validated for IHC 和 IF.
产品编号 ABIN7263393
发货至: 中国
Contact our Customer Service for availability and price in your country. Contact Info

Our Local Distributor

中国
北京 101111
No. 88 KeChuang 6th Street
Beijing Economic Technological Development Area
Room 801-803
4A Biotech Co.,Ltd.
Tel +86 (0512) 65829739 传真 +86 (010) 6788 5057

Quick Overview for PPAN 抗体 (ABIN7263393)

抗原

See all PPAN 抗体
PPAN (Peter Pan Homolog (PPAN))

适用

  • 26
  • 5
  • 2
人, 小鼠

宿主

  • 26

克隆类型

  • 26
多克隆

标记

  • 17
  • 3
  • 2
  • 2
  • 1
  • 1
This PPAN antibody is un-conjugated

应用范围

  • 20
  • 18
  • 7
  • 5
  • 1
  • 1
  • 1
Immunohistochemistry (IHC), Immunofluorescence (IF)
  • 产品特性

    Polyclonal Antibody

    纯化方法

    Affinity purification

    免疫原

    Recombinant fusion protein of human PPAN (NP_064615.3).

    亚型

    IgG
  • 应用备注

    IHC 1:50-1:200 IF 1:50-1:200

    限制

    仅限研究用
  • 状态

    Liquid

    浓度

    1 mg/mL

    缓冲液

    PBS with 0.02 % sodium azide, 50 % glycerol, pH 7.3

    储存液

    Sodium azide

    注意事项

    This product contains Sodium azide: a POISONOUS AND HAZARDOUS SUBSTANCE which should be handled by trained staff only.

    储存条件

    -20 °C

    储存方法

    Store at -20°C. Avoid freeze / thaw cycles.
  • 抗原

    PPAN (Peter Pan Homolog (PPAN))

    别名

    PPAN

    背景

    The protein encoded by this gene is an evolutionarily conserved protein similar to yeast SSF1 as well as to the gene product of the Drosophila gene peter pan (ppan). SSF1 is known to be involved in the second step of mRNA splicing. Both SSF1 and ppan are essential for cell growth and proliferation. Exogenous expression of this gene was reported to reduce the anchorage-independent growth of some tumor cells. Read-through transcription of this gene with P2RY11/P2Y(11), an adjacent downstream gene that encodes an ATP receptor, has been found. These read-through transcripts are ubiquitously present and up-regulated during granulocyte differentiation.

    基因ID

    56342

    UniProt

    Q9NQ55
You are here: