电话:
+86 (0512) 65829739
传真:
+86 (010) 6788 5057
电子邮件:
orders@antibodies-online.cn

CYBB 抗体 (Middle Region)

There are 7+ publications for this product available. The 兔 多克隆 anti-CYBB antibody is suitable to detect CYBB in samples from 人, 小鼠 和 大鼠. It has been validated for WB 和 IHC.
产品编号 ABIN3044252
发货至: 中国
Contact our Customer Service for availability and price in your country. Contact Info

Our Local Distributor

中国
北京 101111
No. 88 KeChuang 6th Street
Beijing Economic Technological Development Area
Room 801-803
4A Biotech Co.,Ltd.
Tel +86 (0512) 65829739 传真 +86 (010) 6788 5057

Quick Overview for CYBB 抗体 (Middle Region) (ABIN3044252)

抗原

See all CYBB 抗体
CYBB (Cytochrome B-245, beta Polypeptide (CYBB))

适用

  • 72
  • 42
  • 40
  • 20
  • 16
  • 2
  • 1
  • 1
  • 1
  • 1
  • 1
人, 小鼠, 大鼠

宿主

  • 59
  • 13
  • 2

克隆类型

  • 50
  • 24
多克隆

标记

  • 36
  • 5
  • 3
  • 3
  • 2
  • 2
  • 2
  • 2
  • 2
  • 2
  • 2
  • 1
  • 1
  • 1
  • 1
  • 1
  • 1
  • 1
  • 1
  • 1
  • 1
  • 1
  • 1
  • 1
This CYBB antibody is un-conjugated

应用范围

  • 46
  • 25
  • 21
  • 14
  • 13
  • 13
  • 11
  • 8
  • 5
  • 5
  • 4
Western Blotting (WB), Immunohistochemistry (IHC)
  • 抗原表位

    • 16
    • 7
    • 4
    • 4
    • 2
    • 1
    • 1
    • 1
    • 1
    • 1
    • 1
    • 1
    • 1
    • 1
    • 1
    • 1
    • 1
    AA 442-459, Middle Region

    原理

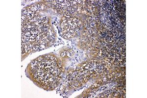
    Anti-NOX2/gp91phox/CYBB Antibody

    序列

    YWLCRDTHAF EWFADLLQ

    交叉反应 (详细)

    No cross-reactivity with other proteins

    产品特性

    Anti-NOX2/gp91phox/CYBB Antibody (ABIN3044252). Tested in IHC, WB applications. This antibody reacts with Human, Mouse, Rat. This is a premium antibody that guarantees superior quality, high affinity, and strong signals with minimal background in Western blot applications.

    纯化方法

    Immunogen affinity purified.

    免疫原

    A synthetic peptide corresponding to a sequence in the middle region of human NOX2, identical to the related rat and mouse sequences.

    亚型

    IgG
  • 应用备注

    Western blot, 0.1-0.5 μg/mL, Human, Mouse, Rat
    Immunohistochemistry (Paraffin-embedded Section), 2-5 μg/mL, Human

    说明

    Antibody can be supported by chemiluminescence kit ABIN921124 in WB, supported by ABIN921231 in IHC(P).

    限制

    仅限研究用
  • 状态

    Lyophilized

    溶解方式

    Add 0.2 mL of distilled water will yield a concentration of 500 μg/mL.

    浓度

    500 μg/mL

    缓冲液

    Each vial contains 4 mg Trehalose, 0.9 mg NaCl and 0.2 mg Na2HPO4.

    注意事项

    Avoid repeated freezing and thawing.

    储存条件

    4 °C,-20 °C

    储存方法

    Store at -20°C for one year from date of receipt. After reconstitution, at 4°C for one month.
    It can also be aliquotted and stored frozen at -20°C for six months. Avoid repeated freeze-thaw cycles.

    有效期

    12 months
  • Zhang, Deng, Lai, Guan, Sun, Han, Wang, Pan, Ji, Luo, Huang, Tang, Gu, Dan, Yu, Namaka, Zhang, Deng, Li: "Maternal inflammation activated ROS-p38 MAPK predisposes offspring to heart damages caused by isoproterenol via augmenting ROS generation." in: Scientific reports, Vol. 6, pp. 30146, (2018) (PubMed).

    Deep, Kumar, Jain, Dhar, Panigrahi, Hussain, Agarwal, El-Elimat, Sica, Oberlies, Agarwal: "Graviola inhibits hypoxia-induced NADPH oxidase activity in prostate cancer cells reducing their proliferation and clonogenicity." in: Scientific reports, Vol. 6, pp. 23135, (2017) (PubMed).

    Meyer, Fredette, Daniel, Sharma, Amann, Arterburn, Barton, Prossnitz: "Obligatory role for GPER in cardiovascular aging and disease." in: Science signaling, Vol. 9, Issue 452, pp. ra105, (2017) (PubMed).

    Wang, Wang, Liu, Wang, Zhao, Wang, Yin: "Cordyceps sinensis polysaccharide inhibits PDGF-BB-induced inflammation and ROS production in human mesangial cells." in: Carbohydrate polymers, Vol. 125, pp. 135-45, (2015) (PubMed).

    Du, Yang, Liu, Li, Zhao, Hu, Liu, Qian, Gao: "NADPH oxidase 2-dependent oxidative stress, mitochondrial damage and apoptosis in the ventral cochlear nucleus of D-galactose-induced aging rats." in: Neuroscience, Vol. 286, pp. 281-92, (2015) (PubMed).

    Du, Yang, Zhou, Liu, Li, Chen, Gao: "D?galactose?induced mitochondrial DNA oxidative damage in the auditory cortex of rats." in: Molecular medicine reports, Vol. 10, Issue 6, pp. 2861-7, (2014) (PubMed).

    Liao, Liu, Guo, Zhang, Zhang: "Oxidative burst of circulating neutrophils following traumatic brain injury in human." in: PLoS ONE, Vol. 8, Issue 7, pp. e68963, (2013) (PubMed).

  • 抗原

    CYBB (Cytochrome B-245, beta Polypeptide (CYBB))

    别名

    CYBB

    背景

    Synonyms: Cytochrome b-245 heavy chain,1.-.-.-,CGD91-phox,Cytochrome b (558) subunit beta,Cytochrome b558 subunit beta,Heme-binding membrane glycoprotein gp91phox,NADPH oxidase 2,Neutrophil cytochrome b 91 kDa polypeptide,Superoxide-generating NADPH oxidase heavy chain subunit,gp91-1,gp91-phox,p22 phagocyte B-cytochrome,CYBB,NOX2,

    Tissue Specificity: Detected in neutrophils (at protein level). .

    Background: NOX2 (NADPH OXIDASE 2), also called CYBB (CYTOCHROME b (-245), BETA SUBUNIT), p91-PHOX or GP91-1, is a human gene encoding a glycoprotein.NOX2 is an essential component of phagocytic NADPH-oxidase, a membrane-bound enzyme complex that generates large quantities of microbicidal superoxide and other oxidants upon activation. It is mapped on Xp11.4. NOX2 is a heterodimer composed of an alpha chain of relative molecular mass 23 kD and a beta chain of 76 to 82 kD. NOX2 assembled on DC phagosomes in a gp91-phox subunit-dependent manner, and that reactive oxygen species were produced in a more sustained manner in immature DC phagosomes than in macrophage phagosomes. As a major player in innate immune responses in neutrophils, NOX2 is also involved in adaptive immunity through its activity in DCs. In heart cells, physiologic stretch rapidly activates reduced-form NOX2 to produce reactive oxygen species (ROS) in a process dependent on microtubules (X-ROS signaling).

    Sequence Similarities: Contains 1 FAD-binding FR-type domain.

    分子量

    65 kDa

    UniProt

    P04839
You are here: