电话:
+86 (0512) 65829739
传真:
+86 (010) 6788 5057
电子邮件:
orders@antibodies-online.cn

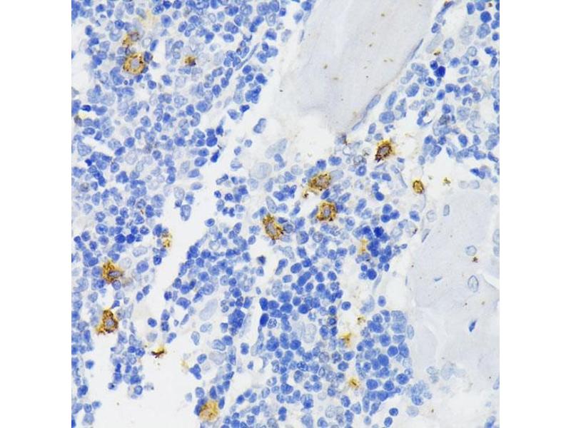
CYBB 抗体 (AA 283-570)

The 兔 多克隆 anti-CYBB antibody is suitable to detect CYBB in samples from 人. It has been validated for WB, IHC 和 IF.
产品编号 ABIN3022300
发货至: 中国
Contact our Customer Service for availability and price in your country. Contact Info

Our Local Distributor

中国
北京 101111
No. 88 KeChuang 6th Street
Beijing Economic Technological Development Area
Room 801-803
4A Biotech Co.,Ltd.
Tel +86 (0512) 65829739 传真 +86 (010) 6788 5057

Quick Overview for CYBB 抗体 (AA 283-570) (ABIN3022300)

抗原

See all CYBB 抗体
CYBB (Cytochrome B-245, beta Polypeptide (CYBB))

适用

  • 72
  • 42
  • 41
  • 20
  • 16
  • 2
  • 1
  • 1
  • 1
  • 1
  • 1

宿主

  • 59
  • 13
  • 2

克隆类型

  • 50
  • 24
多克隆

标记

  • 36
  • 5
  • 3
  • 3
  • 2
  • 2
  • 2
  • 2
  • 2
  • 2
  • 2
  • 1
  • 1
  • 1
  • 1
  • 1
  • 1
  • 1
  • 1
  • 1
  • 1
  • 1
  • 1
  • 1
This CYBB antibody is un-conjugated

应用范围

  • 46
  • 25
  • 21
  • 13
  • 13
  • 13
  • 9
  • 9
  • 5
  • 5
  • 4
Western Blotting (WB), Immunohistochemistry (IHC), Immunofluorescence (IF)
  • 抗原表位

    • 16
    • 6
    • 4
    • 4
    • 2
    • 2
    • 1
    • 1
    • 1
    • 1
    • 1
    • 1
    • 1
    • 1
    • 1
    • 1
    • 1
    • 1
    AA 283-570

    序列

    ERLVRFWRSQ QKVVITKVVT HPFKTIELQM KKKGFKMEVG QYIFVKCPKV SKLEWHPFTL TSAPEEDFFS IHIRIVGDWT EGLFNACGCD KQEFQDAWKL PKIAVDGPFG TASEDVFSYE VVMLVGAGIG VTPFASILKS VWYKYCNNAT NLKLKKIYFY WLCRDTHAFE WFADLLQLLE SQMQERNNAG FLSYNIYLTG WDESQANHFA VHHDEEKDVI TGLKQKTLYG RPNWDNEFKT IASQHPNTRI GVFLCGPEAL AETLSKQSIS NSESGPRGVH FIFNKENF

    交叉反应

    人, 小鼠, 大鼠

    产品特性

    Polyclonal Antibodies

    纯化方法

    Affinity purification

    免疫原

    Recombinant fusion protein containing a sequence corresponding to amino acids 283-570 of human NOX2/gp91phox (NP_000388.2).

    亚型

    IgG
  • 应用备注

    WB,1:500 - 1:2000,IHC,1:50 - 1:200,IF,1:50 - 1:200

    限制

    仅限研究用
  • 状态

    Liquid

    缓冲液

    PBS with 0.02 % sodium azide,50 % glycerol, pH 7.3.

    储存液

    Sodium azide

    注意事项

    This product contains Sodium azide: a POISONOUS AND HAZARDOUS SUBSTANCE which should be handled by trained staff only.

    注意事项

    Avoid freeze / thaw cycles

    储存条件

    -20 °C

    储存方法

    Store at -20°C. Avoid freeze / thaw cycles.
  • 抗原

    CYBB (Cytochrome B-245, beta Polypeptide (CYBB))

    别名

    CYBB

    背景

    Cytochrome b (-245) is composed of cytochrome b alpha (CYBA) and beta (CYBB) chain. It has been proposed as a primary component of the microbicidal oxidase system of phagocytes. CYBB deficiency is one of five described biochemical defects associated with chronic granulomatous disease (CGD). In this disorder, there is decreased activity of phagocyte NADPH oxidase, neutrophils are able to phagocytize bacteria but cannot kill them in the phagocytic vacuoles. The cause of the killing defect is an inability to increase the cell's respiration and consequent failure to deliver activated oxygen into the phagocytic vacuole.,AMCBX2,CGD,GP91-1,GP91-PHOX,GP91PHOX,IMD34,NOX2,p91-PHOX,CYBB,Cancer,Endocrine & Metabolism,Immunology & Inflammation,CYBB

    分子量

    65 kDa

    基因ID

    1536

    UniProt

    P04839
You are here: