电话:
+86 (0512) 65829739
传真:
+86 (010) 6788 5057
电子邮件:
orders@antibodies-online.cn

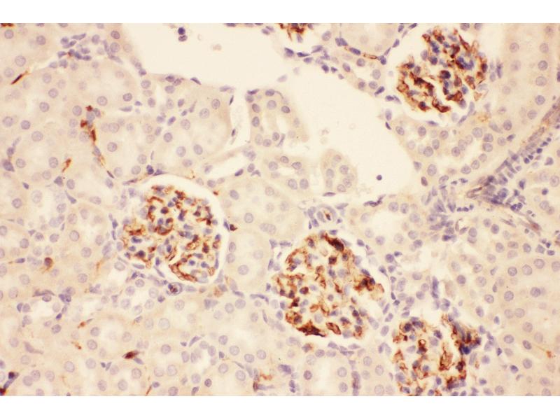
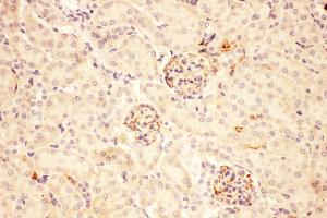
POMC 抗体 (Middle Region)

There are 2+ publications for this product available. The 兔 多克隆 anti-POMC antibody is suitable to detect POMC in samples from 人, 小鼠 和 大鼠. It has been validated for IHC.
产品编号 ABIN3043901
发货至: 中国
Contact our Customer Service for availability and price in your country. Contact Info

Our Local Distributor

中国
北京 101111
No. 88 KeChuang 6th Street
Beijing Economic Technological Development Area
Room 801-803
4A Biotech Co.,Ltd.
Tel +86 (0512) 65829739 传真 +86 (010) 6788 5057

Quick Overview for POMC 抗体 (Middle Region) (ABIN3043901)

抗原

See all POMC 抗体
POMC (Proopiomelanocortin (POMC))

适用

  • 72
  • 48
  • 47
  • 2
  • 1
  • 1
人, 小鼠, 大鼠

宿主

  • 61
  • 32
  • 1

克隆类型

  • 51
  • 43
多克隆

标记

  • 57
  • 6
  • 3
  • 2
  • 2
  • 2
  • 2
  • 2
  • 2
  • 1
  • 1
  • 1
  • 1
  • 1
  • 1
  • 1
  • 1
  • 1
  • 1
  • 1
  • 1
  • 1
  • 1
  • 1
  • 1
This POMC antibody is un-conjugated

应用范围

  • 38
  • 35
  • 30
  • 29
  • 19
  • 17
  • 13
  • 13
  • 13
  • 11
  • 9
  • 8
  • 5
  • 5
  • 3
  • 3
  • 2
  • 2
  • 1
  • 1
Immunohistochemistry (IHC)
  • 抗原表位

    • 16
    • 10
    • 9
    • 6
    • 5
    • 3
    • 3
    • 3
    • 3
    • 2
    • 2
    • 1
    • 1
    • 1
    • 1
    • 1
    AA 138-176, Middle Region

    原理

    Anti-ACTH/POMC Antibody

    序列

    SYSMEHFRWG KPVGKKRRPV KVYPNGAEDE SAEAFPLEF

    交叉反应 (详细)

    No cross-reactivity with other proteins

    产品特性

    Anti-ACTH/POMC Antibody (ABIN3043901). Tested in IHC applications. This antibody reacts with Human, Mouse, Rat.

    纯化方法

    Immunogen affinity purified.

    免疫原

    A synthetic peptide corresponding to a sequence in the middle region of human ACTH, different from the related mouse and rat sequences by two amino acids.

    亚型

    IgG
  • 应用备注

    Immunohistochemistry (Paraffin-embedded Section), 0.5-1 μg/mL, Mouse, Rat, Human

    说明

    Antibody can be supported by ABIN921231 in IHC(P).

    限制

    仅限研究用
  • 状态

    Lyophilized

    溶解方式

    Add 0.2 mL of distilled water will yield a concentration of 500 μg/mL.

    浓度

    500 μg/mL

    缓冲液

    Each vial contains 5 mg BSA, 0.9 mg NaCl, 0.2 mg Na2HPO4, 0.05 mg Sodium azide.

    储存液

    Sodium azide

    注意事项

    This product contains Sodium azide: a POISONOUS AND HAZARDOUS SUBSTANCE which should be handled by trained staff only.

    注意事项

    Avoid repeated freezing and thawing.

    储存条件

    4 °C,-20 °C

    储存方法

    Store at -20°C for one year from date of receipt. After reconstitution, at 4°C for one month.
    It can also be aliquotted and stored frozen at -20°C for six months. Avoid repeated freeze-thaw cycles.
  • Huo, Liu, Wang, Zhang, Wang, Yang, Sun, Xu: "Early hyperbaric oxygen therapy inhibits aquaporin 4 and adrenocorticotropic hormone expression in the pituitary gland of rabbits with blast-induced craniocerebral injury." in: Neural regeneration research, Vol. 7, Issue 22, pp. 1729-35, (2015) (PubMed).

    Chen, Wang, Zhao, Zhang, Huang: "Effects of the extract of a Chinese herb Tripterygium wilfordii hook f on rat pituitary gland." in: The American journal of Chinese medicine, Vol. 33, Issue 6, pp. 945-55, (2006) (PubMed).

  • 抗原

    POMC (Proopiomelanocortin (POMC))

    别名

    POMC

    背景

    Synonyms: Pro-opiomelanocortin,POMC,Corticotropin-lipotropin,NPP,Melanotropin gamma,Gamma-MSH,Potential peptide,Corticotropin,Adrenocorticotropic hormone,ACTH,Melanotropin alpha,Alpha-MSH,Corticotropin-like intermediary peptide,CLIP,Lipotropin beta,Beta-LPH,Lipotropin gamma,Gamma-LPH,Melanotropin beta,Beta-MSH,Beta-endorphin,Met-enkephalin,POMC,

    Tissue Specificity: ACTH and MSH are produced by the pituitary gland.

    Background: Adrenocorticotropic hormone (ACTH), also known as corticotropin, is a polypeptide tropic hormone produced and secreted by the anterior pituitary gland. It is an important component of the hypothalamic-pituitary-adrenal axis and is often produced in response to biological stress (along with its precursor corticotropin-releasing hormone from the hypothalamus). Its principal effects are increased production and release of corticosteroids. ACTH stimulates secretion of glucocorticoid steroid hormones from adrenal cortex cells, especially in the zona fasciculata of the adrenal glands. This gene can influence steroid hormone secretion by both rapid short-term mechanisms that take place within minutes and slower long-term actions. Besides, ACTH also enhances transcription of mitochondrial genes that encode for subunits of mitochondrial oxidative phosphorylation systems.

    Sequence Similarities: Belongs to the POMC family.

    分子量

    30 kDa

    基因ID

    5443

    UniProt

    P01189

    途径

    Metabolism of Steroid Hormones and Vitamin D, Peptide Hormone Metabolism, Hormone Activity, Feeding Behaviour
You are here: