电话:
+86 (0512) 65829739
传真:
+86 (010) 6788 5057
电子邮件:
orders@antibodies-online.cn

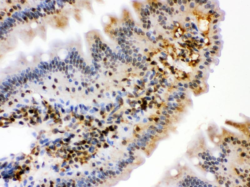
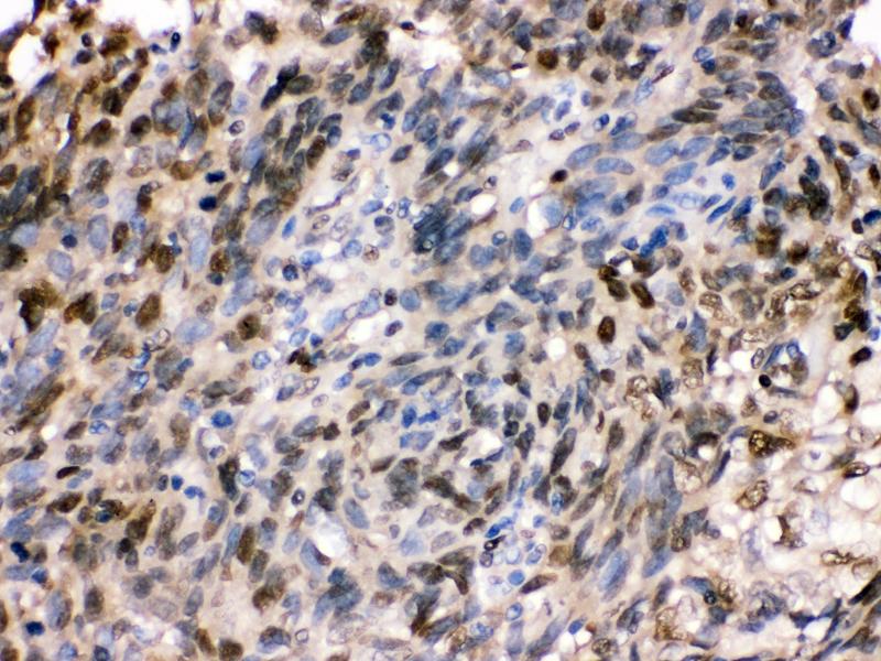
HSPA2 抗体 (C-Term)

The 兔 多克隆 anti-HSPA2 antibody is suitable to detect HSPA2 in samples from 人, 大鼠 和 小鼠. It has been validated for WB, IHC, ICC, IF, FACS 和 IHC (fro).
产品编号 ABIN3043850
发货至: 中国
Contact our Customer Service for availability and price in your country. Contact Info

Our Local Distributor

中国
北京 101111
No. 88 KeChuang 6th Street
Beijing Economic Technological Development Area
Room 801-803
4A Biotech Co.,Ltd.
Tel +86 (0512) 65829739 传真 +86 (010) 6788 5057

Quick Overview for HSPA2 抗体 (C-Term) (ABIN3043850)

抗原

See all HSPA2 抗体
HSPA2 (Heat Shock 70kDa Protein 2 (HSPA2))

适用

  • 69
  • 44
  • 35
  • 3
  • 3
  • 3
  • 2
  • 2
  • 1
  • 1
  • 1
  • 1
人, 大鼠, 小鼠

宿主

  • 62
  • 16

克隆类型

  • 44
  • 34
多克隆

标记

  • 35
  • 11
  • 4
  • 4
  • 4
  • 4
  • 4
  • 4
  • 4
  • 2
  • 2
This HSPA2 antibody is un-conjugated

应用范围

  • 63
  • 37
  • 12
  • 10
  • 10
  • 9
  • 4
  • 2
  • 1
  • 1
Western Blotting (WB), Immunohistochemistry (IHC), Immunocytochemistry (ICC), Immunofluorescence (IF), Flow Cytometry (FACS), Immunohistochemistry (Frozen Sections) (IHC (fro))
  • 抗原表位

    • 8
    • 6
    • 6
    • 3
    • 1
    • 1
    • 1
    • 1
    • 1
    • 1
    • 1
    AA 564-598, C-Term

    原理

    Anti-HSPA2 Antibody

    序列

    KISEQDKNKI LDKCQEVINW LDRNQMAEKD EYEHK

    交叉反应 (详细)

    No cross-reactivity with other proteins

    产品特性

    Anti-HSPA2 Antibody (ABIN3043850). Tested in Flow Cytometry, IF, IHC, IHC-F, ICC, WB applications. This antibody reacts with Human, Mouse, Rat. This is a premium antibody that guarantees superior quality, high affinity, and strong signals with minimal background in Western blot applications.

    纯化方法

    Immunogen affinity purified.

    免疫原

    A synthetic peptide corresponding to a sequence at the C-terminus of human HSPA2, identical to the related mouse and rat sequences.

    亚型

    IgG
  • 应用备注

    Western blot, 0.1-0.5 μg/mL, Human, Mouse, Rat
    Immunohistochemistry (Paraffin-embedded Section), 0.5-1 μg/mL, Human, Mouse, Rat
    Immunohistochemistry (Frozen Section), 0.5-1 μg/mL, Human
    Immunocytochemistry/Immunofluorescence, 2 μg/mL, Human
    Flow Cytometry (Fixed), 1-3 μg/1x106 cells, Human

    说明

    Antibody can be supported by chemiluminescence kit ABIN921124 in WB, supported by ABIN921231 in IHC(P).

    限制

    仅限研究用
  • 状态

    Lyophilized

    溶解方式

    Add 0.2 mL of distilled water will yield a concentration of 500 μg/mL.

    浓度

    500 μg/mL

    缓冲液

    Each vial contains 5 mg BSA, 0.9 mg NaCl, 0.2 mg Na2HPO4, 0.05 mg Sodium azide.

    储存液

    Sodium azide

    注意事项

    This product contains Sodium azide: a POISONOUS AND HAZARDOUS SUBSTANCE which should be handled by trained staff only.

    注意事项

    Avoid repeated freezing and thawing.

    储存条件

    4 °C,-20 °C

    储存方法

    Store at -20°C for one year from date of receipt. After reconstitution, at 4°C for one month.
    It can also be aliquotted and stored frozen at -20°C for six months. Avoid repeated freeze-thaw cycles.
  • 抗原

    HSPA2 (Heat Shock 70kDa Protein 2 (HSPA2))

    别名

    HSPA2

    背景

    Synonyms: Heat shock-related 70 kDa protein 2,Heat shock 70 kDa protein 2,HSPA2,

    Tissue Specificity: Expressed in heart, skeletal muscle, eye and brain, and at much lower levels in some other tissues. .

    Background: HSPA2 (heat shock 70 kDa protein 2) is also known as HEAT-SHOCK PROTEIN, 70-KD, 2, HSP70-2, HEAT-SHOCK PROTEIN, 70-KD, 3 or HSP70-3. Analysis of the sequence indicated that HSPA2 is the human homolog of the murine Hsp70-2 gene, with 91.7 % identity in the nucleotide coding sequence and 98.2 % in the corresponding amino acid sequence. HSPA2 has less amino acid homology to the other members of the human HSP70 gene family. HSPA2 is constitutively expressed in most tissues, with very high levels in testis and skeletal muscle. The HSPA2 gene is located on chromosome 14q22-q24. Immunohistochemical analysis detected weak expression of HSPA2 in spermatocytes and stronger expression in spermatids and in the tail of mature sperm. HSPA2 may be critical to sperm maturation through its role as a protein chaperone.

    Sequence Similarities: Contains 1 HMG box DNA-binding domain.

    分子量

    70 kDa

    基因ID

    3306

    UniProt

    P54652
You are here: