电话:
+86 (0512) 65829739
传真:
+86 (010) 6788 5057
电子邮件:
orders@antibodies-online.cn

ALOX5 抗体 (AA 120-483)

The 兔 多克隆 anti-ALOX5 antibody is suitable to detect ALOX5 in samples from 人, 小鼠 和 大鼠. It has been validated for WB 和 IHC.
产品编号 ABIN3043727
发货至: 中国
Contact our Customer Service for availability and price in your country. Contact Info

Our Local Distributor

中国
北京 101111
No. 88 KeChuang 6th Street
Beijing Economic Technological Development Area
Room 801-803
4A Biotech Co.,Ltd.
Tel +86 (0512) 65829739 传真 +86 (010) 6788 5057

Quick Overview for ALOX5 抗体 (AA 120-483) (ABIN3043727)

抗原

See all ALOX5 抗体
ALOX5 (Arachidonate 5-Lipoxygenase (ALOX5))

适用

  • 102
  • 87
  • 68
  • 3
  • 2
  • 2
  • 2
  • 2
  • 1
  • 1
  • 1
  • 1
人, 小鼠, 大鼠

宿主

  • 116
  • 10
  • 1

克隆类型

  • 106
  • 21
多克隆

标记

  • 52
  • 12
  • 6
  • 4
  • 3
  • 3
  • 3
  • 3
  • 3
  • 3
  • 3
  • 3
  • 3
  • 3
  • 3
  • 3
  • 3
  • 3
  • 3
  • 3
  • 3
  • 1
  • 1
This ALOX5 antibody is un-conjugated

应用范围

  • 75
  • 41
  • 39
  • 39
  • 27
  • 19
  • 17
  • 13
  • 10
  • 9
  • 7
  • 2
  • 2
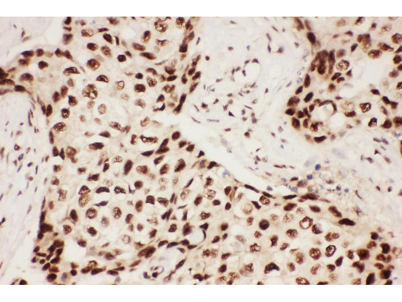
Western Blotting (WB), Immunohistochemistry (IHC)
  • 抗原表位

    • 16
    • 15
    • 15
    • 13
    • 10
    • 7
    • 5
    • 5
    • 3
    • 3
    • 2
    • 2
    • 2
    • 2
    • 1
    • 1
    • 1
    • 1
    • 1
    • 1
    • 1
    • 1
    • 1
    AA 120-483

    原理

    Anti-5 Lipoxygenase/ALOX5 Antibody

    交叉反应 (详细)

    No cross-reactivity with other proteins

    产品特性

    Anti-5 Lipoxygenase/ALOX5 Antibody (ABIN3043727). Tested in IHC, WB applications. This antibody reacts with Human, Mouse, Rat. This is a premium antibody that guarantees superior quality, high affinity, and strong signals with minimal background in Western blot applications.

    纯化方法

    Immunogen affinity purified.

    免疫原

    E.coli-derived human ALOX5 recombinant protein (Position: A120-R483). Human ALOX5 shares 94% amino acid (aa) sequence identity with both mouse and rat ALOX5.

    亚型

    IgG
  • 应用备注

    Immunohistochemistry (Paraffin-embedded Section), 0.5-1 μg/mL, Human, Mouse, Rat
    Western blot, 0.1-0.5 μg/mL, Human

    说明

    Antibody can be supported by chemiluminescence kit ABIN921124 in WB, supported by ABIN921231 in IHC(P).

    限制

    仅限研究用
  • 状态

    Lyophilized

    溶解方式

    Add 0.2 mL of distilled water will yield a concentration of 500 μg/mL.

    浓度

    500 μg/mL

    缓冲液

    Each vial contains 5 mg BSA, 0.9 mg NaCl, 0.2 mg Na2HPO4, 0.05 mg Sodium azide.

    储存液

    Sodium azide

    注意事项

    This product contains Sodium azide: a POISONOUS AND HAZARDOUS SUBSTANCE which should be handled by trained staff only.

    注意事项

    Avoid repeated freezing and thawing.

    储存条件

    4 °C,-20 °C

    储存方法

    Store at -20°C for one year from date of receipt. After reconstitution, at 4°C for one month.
    It can also be aliquotted and stored frozen at -20°C for six months. Avoid repeated freeze-thaw cycles.
  • 抗原

    ALOX5 (Arachidonate 5-Lipoxygenase (ALOX5))

    别名

    ALOX5

    背景

    Synonyms: Arachidonate 5-lipoxygenase,5-LO,5-lipoxygenase,1.13.11.34,ALOX5,LOG5,

    Background: Arachidonate 5-lipoxygenase, also known as 5-LOX or 5-LO, is an enzyme that in humans is encoded by the ALOX5 gene. ALOX5 is a member of the lipoxygenase family of enzymes. It is mapped to 10q11.21. ALOX5 plays a dual role in the synthesis of leukotrienes from arachidonic acid. The position of ALOX5 within the nucleus of resting cells determines the capacity to generate LTB4 upon subsequent activation. It is involved in lung vascular tone regulation and in the development of chronic pulmonary hypertension in hypoxic rodent models. ALOX5 also transforms EFAs into leukotrienes and is a current target for pharmaceutical intervention in a number of diseases.

    Sequence Similarities: Belongs to the lipoxygenase family.

    分子量

    78 kDa

    基因ID

    240

    UniProt

    P09917
You are here: