电话:
+86 (0512) 65829739
传真:
+86 (010) 6788 5057
电子邮件:
orders@antibodies-online.cn

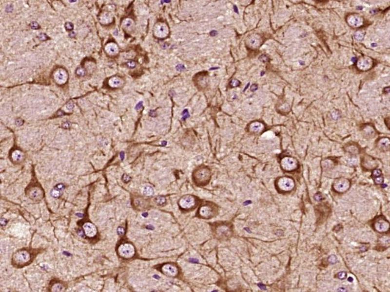
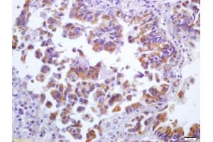
ALOX5 抗体 (AA 601-674)

Cited in 2+ publications. The 兔 多克隆 anti-ALOX5 antibody (ABIN669651) specifically detects ALOX5 in IF (cc), IF (p), IHC (p) 和 IHC (fro). The antibody is reactive with 人, 小鼠 和 大鼠 samples.
产品编号 ABIN669651
发货至: 中国
Contact our Customer Service for availability and price in your country. Contact Info

Our Local Distributor

中国
北京 101111
No. 88 KeChuang 6th Street
Beijing Economic Technological Development Area
Room 801-803
4A Biotech Co.,Ltd.
Tel +86 (0512) 65829739 传真 +86 (010) 6788 5057

Quick Overview for ALOX5 抗体 (AA 601-674) (ABIN669651)

抗原

See all ALOX5 抗体
ALOX5 (Arachidonate 5-Lipoxygenase (ALOX5))

适用

  • 102
  • 87
  • 68
  • 3
  • 2
  • 2
  • 2
  • 2
  • 1
  • 1
  • 1
  • 1
人, 小鼠, 大鼠

宿主

  • 116
  • 10
  • 1

克隆类型

  • 106
  • 21
多克隆

标记

  • 52
  • 12
  • 6
  • 4
  • 3
  • 3
  • 3
  • 3
  • 3
  • 3
  • 3
  • 3
  • 3
  • 3
  • 3
  • 3
  • 3
  • 3
  • 3
  • 3
  • 3
  • 1
  • 1
This ALOX5 antibody is un-conjugated

应用范围

  • 76
  • 41
  • 38
  • 38
  • 27
  • 19
  • 16
  • 13
  • 10
  • 8
  • 7
  • 2
  • 2
Immunofluorescence (Cultured Cells) (IF (cc)), Immunofluorescence (Paraffin-embedded Sections) (IF (p)), Immunohistochemistry (Paraffin-embedded Sections) (IHC (p)), Immunohistochemistry (Frozen Sections) (IHC (fro))
  • 抗原表位

    • 16
    • 15
    • 14
    • 13
    • 10
    • 7
    • 5
    • 5
    • 3
    • 3
    • 2
    • 2
    • 2
    • 2
    • 1
    • 1
    • 1
    • 1
    • 1
    • 1
    • 1
    • 1
    • 1
    • 1
    AA 601-674

    交叉反应

    人, 小鼠, 大鼠

    预测反应

    Dog,Cow,Pig,Horse,Rabbit

    纯化方法

    Purified by Protein A.

    免疫原

    KLH conjugated synthetic peptide derived from mouse Arachidonate 5-lipoxygenase

    亚型

    IgG
  • 应用备注

    WB 1:300-5000
    ELISA 1:500-1000
    IHC-P 1:200-400
    IHC-F 1:100-500
    IF(IHC-P) 1:50-200
    IF(IHC-F) 1:50-200
    IF(ICC) 1:50-200

    限制

    仅限研究用
  • 状态

    Liquid

    浓度

    1 μg/μL

    缓冲液

    0.01M TBS( pH 7.4) with 1 % BSA, 0.02 % Proclin300 and 50 % Glycerol.

    储存液

    ProClin

    注意事项

    This product contains ProClin: a POISONOUS AND HAZARDOUS SUBSTANCE, which should be handled by trained staff only.

    储存条件

    4 °C,-20 °C

    储存方法

    Shipped at 4°C. Store at -20°C for one year. Avoid repeated freeze/thaw cycles.

    有效期

    12 months
  • Liang, Shi, Luo, Yang: "The protective effect of caffeic acid on global cerebral ischemia-reperfusion injury in rats." in: Behavioral and brain functions : BBF, Vol. 11, pp. 18, (2015) (PubMed).

    Wang, Wang, Gao, Qu: "The comparative study of acetyl-11-keto-beta-boswellic acid (AKBA) and aspirin in the prevention of intestinal adenomatous polyposis in APC(Min/+) mice." in: Drug discoveries & therapeutics, Vol. 8, Issue 1, pp. 25-32, (2014) (PubMed).

  • 抗原

    ALOX5 (Arachidonate 5-Lipoxygenase (ALOX5))

    别名

    5 lipoxygenase

    背景

    Synonyms: 5LO, 5LX, 5-LO, 5-LOX, AI85497, F7311J2, Arachidonate 5-lipoxygenase, 5-lipoxygenase, Alox5

    Background: Catalyzes the first step in leukotriene biosynthesis, and thereby plays a role in inflammatory processes.

    基因ID

    11689

    UniProt

    P48999
You are here: