电话:
+86 (0512) 65829739
传真:
+86 (010) 6788 5057
电子邮件:
orders@antibodies-online.cn

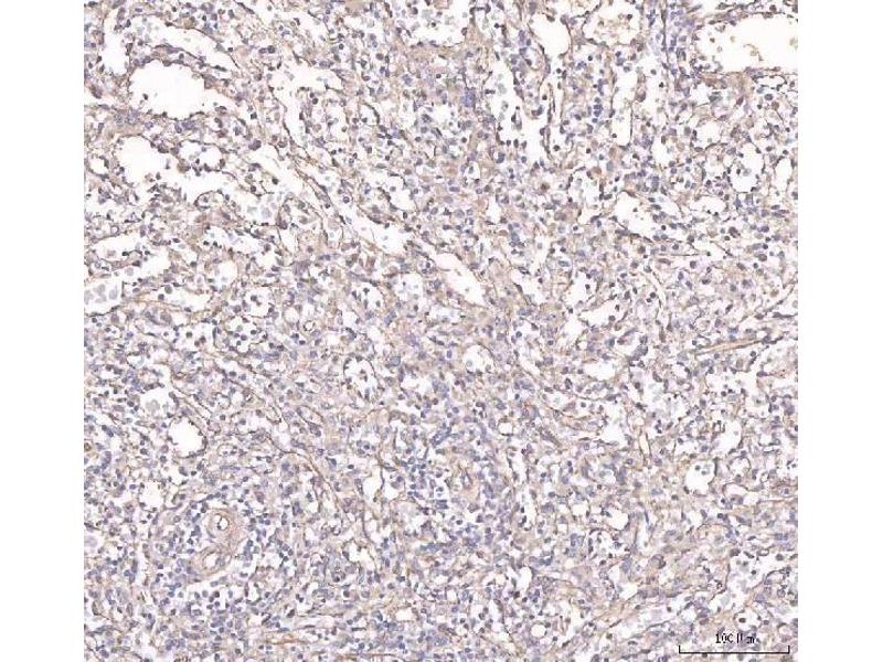
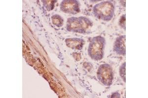
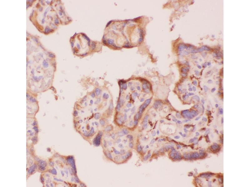
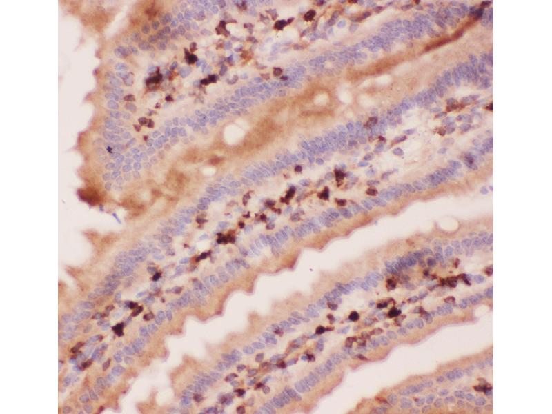
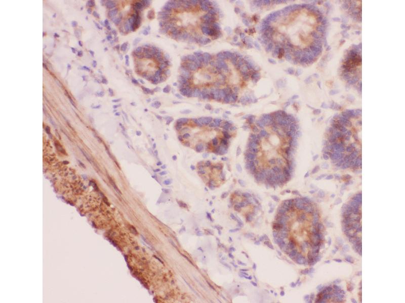
Angiopoietin 2 抗体 (AA 19-348)

Cited in 3+ publications. The 兔 多克隆 anti-Angiopoietin 2 antibody (ABIN3043725) specifically detects Angiopoietin 2 in IHC. The antibody is reactive with 人 samples.
产品编号 ABIN3043725
发货至: 中国
Contact our Customer Service for availability and price in your country. Contact Info

Our Local Distributor

中国
北京 101111
No. 88 KeChuang 6th Street
Beijing Economic Technological Development Area
Room 801-803
4A Biotech Co.,Ltd.
Tel +86 (0512) 65829739 传真 +86 (010) 6788 5057

Quick Overview for Angiopoietin 2 抗体 (AA 19-348) (ABIN3043725)

抗原

See all Angiopoietin 2 (ANGPT2) 抗体
Angiopoietin 2 (ANGPT2)

适用

  • 96
  • 55
  • 44
  • 6
  • 4
  • 3
  • 2
  • 1
  • 1
  • 1
  • 1

宿主

  • 94
  • 11
  • 9
  • 3
  • 2
  • 1

克隆类型

  • 69
  • 51
多克隆

标记

  • 59
  • 13
  • 5
  • 4
  • 4
  • 4
  • 4
  • 4
  • 4
  • 3
  • 2
  • 2
  • 1
  • 1
  • 1
  • 1
  • 1
  • 1
  • 1
  • 1
  • 1
  • 1
  • 1
  • 1
This Angiopoietin 2 antibody is un-conjugated

应用范围

  • 83
  • 54
  • 31
  • 15
  • 14
  • 13
  • 13
  • 10
  • 6
  • 4
  • 4
  • 4
  • 3
  • 2
  • 1
  • 1
  • 1
Immunohistochemistry (IHC)
  • 抗原表位

    • 15
    • 6
    • 5
    • 5
    • 3
    • 3
    • 2
    • 2
    • 2
    • 1
    • 1
    • 1
    • 1
    • 1
    • 1
    • 1
    • 1
    • 1
    • 1
    • 1
    • 1
    • 1
    • 1
    • 1
    • 1
    AA 19-348

    原理

    Anti-Angiopoietin 2/ANGPT2 Antibody

    交叉反应 (详细)

    No cross-reactivity with other proteins

    产品特性

    Anti-Angiopoietin 2/ANGPT2 Antibody (ABIN3043725). Tested in IHC applications. This antibody reacts with Human, Mouse, Rat.

    纯化方法

    Immunogen affinity purified.

    免疫原

    E.coli-derived human Angiopoietin 2 recombinant protein (Position: Y19-N348). Human Angiopoietin 2 shares 84% and 85% amino acid (aa) sequences identity with mouse and rat Angiopoietin 2, respectively.

    亚型

    IgG
  • 应用备注

    Immunohistochemistry (Paraffin-embedded Section), 2-5 μg/mL, Human

    说明

    Antibody can be supported by ABIN921231 in IHC(P).

    限制

    仅限研究用
  • 状态

    Lyophilized

    溶解方式

    Add 0.2 mL of distilled water will yield a concentration of 500 μg/mL.

    浓度

    500 μg/mL

    缓冲液

    Each vial contains 5 mg BSA, 0.9 mg NaCl, 0.2 mg Na2HPO4, 0.05 mg Sodium azide.

    储存液

    Sodium azide

    注意事项

    This product contains Sodium azide: a POISONOUS AND HAZARDOUS SUBSTANCE which should be handled by trained staff only.

    注意事项

    Avoid repeated freezing and thawing.

    储存条件

    4 °C,-20 °C

    储存方法

    Store at -20°C for one year from date of receipt. After reconstitution, at 4°C for one month.
    It can also be aliquotted and stored frozen at -20°C for six months. Avoid repeated freeze-thaw cycles.
  • Huang, Pan, Yu, Guo, Wang, Zhang, Wang, Gao: "Benefical therapeutic effect of Chinese Herbal Xinji'erkang formula on hypertension-induced renal injury in the 2-kidney-1-clip hypertensive rats." in: African journal of traditional, complementary, and alternative medicines : AJTCAM, Vol. 11, Issue 5, pp. 16-27, (2015) (PubMed).

    Bai, Li, Tian, Zhou: "Antiangiogenic treatment diminishes renal injury and dysfunction via regulation of local AKT in early experimental diabetes." in: PLoS ONE, Vol. 9, Issue 4, pp. e96117, (2014) (PubMed).

    Li, Fan, Song, Zhang, Chen, Li, Mi, Ma, Song, Tao, Li: "Expression of angiopoietin-2 and vascular endothelial growth factor receptor-3 correlates with lymphangiogenesis and angiogenesis and affects survival of oral squamous cell carcinoma." in: PLoS ONE, Vol. 8, Issue 9, pp. e75388, (2013) (PubMed).

  • 抗原

    Angiopoietin 2 (ANGPT2)

    别名

    ANGPT2

    背景

    Synonyms: Angiopoietin-2,ANG-2,ANGPT2,

    Background: ANGPT2, also known as ANG2 or Angiopoietin 2, is a protein that in humans is encoded by the ANGPT2 gene. It is mapped to 8p23.1. ANGPT2 is a naturally occurring antagonist of ANG1 that competes for binding to the TIE2 receptor and blocks ANGPT1-induced TIE2 autophosphorylation during vasculogenesis. The encoded protein disrupts the vascular remodeling ability of ANGPT1 and may induce endothelial cell apoptosis. ANGPT2 was significantly increased in plasma and alveolar edema fluid in adults with acute lung injury compared to controls or patients with hydrostatic pulmonary edema, tracheal. ANGPT2 was also significantly increased in neonates with respiratory distress syndrome who developed bronchopulmonary edema. It is also a mediator of epithelial necrosis with an important role in hyperoxic acute lung injury and pulmonary edema.

    Sequence Similarities: Contains 1 fibrinogen C-terminal domain.

    分子量

    125 kDa

    基因ID

    285

    UniProt

    O15123

    途径

    RTK signaling
You are here: