电话:
+86 (0512) 65829739
传真:
+86 (010) 6788 5057
电子邮件:
orders@antibodies-online.cn

Kallikrein 2 抗体 (C-Term)

The 兔 多克隆 anti-Kallikrein 2 antibody (ABIN3043140) specifically detects Kallikrein 2 in WB 和 IHC. The antibody is reactive with 人 samples.
产品编号 ABIN3043140
发货至: 中国
Contact our Customer Service for availability and price in your country. Contact Info

Our Local Distributor

中国
北京 101111
No. 88 KeChuang 6th Street
Beijing Economic Technological Development Area
Room 801-803
4A Biotech Co.,Ltd.
Tel +86 (0512) 65829739 传真 +86 (010) 6788 5057

Quick Overview for Kallikrein 2 抗体 (C-Term) (ABIN3043140)

抗原

See all Kallikrein 2 (KLK2) 抗体
Kallikrein 2 (KLK2)

适用

  • 61
  • 14
  • 13
  • 6
  • 1

宿主

  • 55
  • 8
  • 2
  • 1

克隆类型

  • 47
  • 19
多克隆

标记

  • 33
  • 6
  • 5
  • 3
  • 2
  • 2
  • 2
  • 2
  • 2
  • 2
  • 2
  • 2
  • 1
  • 1
  • 1
This Kallikrein 2 antibody is un-conjugated

应用范围

  • 37
  • 25
  • 18
  • 17
  • 15
  • 8
  • 6
  • 4
  • 3
  • 2
  • 1
  • 1
  • 1
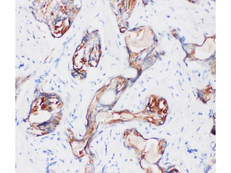
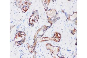
Western Blotting (WB), Immunohistochemistry (IHC)
  • 抗原表位

    • 15
    • 9
    • 5
    • 4
    • 3
    • 1
    • 1
    • 1
    • 1
    • 1
    • 1
    AA 243-261, C-Term

    原理

    Anti-Kallikrein 2/KLK2 Antibody

    序列

    YTKVVHYRKW IKDTIAANP

    交叉反应 (详细)

    No cross-reactivity with other proteins

    产品特性

    Anti-Kallikrein 2/KLK2 Antibody (ABIN3043140). Tested in IHC, WB applications. This antibody reacts with Human. This is a premium antibody that guarantees superior quality, high affinity, and strong signals with minimal background in Western blot applications.

    纯化方法

    Immunogen affinity purified.

    免疫原

    A synthetic peptide corresponding to a sequence at the C-terminus of human Kallikrein 2.

    亚型

    IgG
  • 应用备注

    Immunohistochemistry (Paraffin-embedded Section), 2-5 μg/mL, Human
    Western blot, 0.1-0.5 μg/mL, Human

    说明

    Antibody can be supported by chemiluminescence kit ABIN921124 in WB, supported by ABIN921231 in IHC(P).

    限制

    仅限研究用
  • 状态

    Lyophilized

    溶解方式

    Add 0.2 mL of distilled water will yield a concentration of 500 μg/mL.

    浓度

    500 μg/mL

    缓冲液

    Each vial contains 5 mg BSA, 0.9 mg NaCl, 0.2 mg Na2HPO4, 0.05 mg Thimerosal, 0.05 mg Sodium azide.

    储存液

    Thimerosal (Merthiolate), Sodium azide

    注意事项

    This product contains Thimerosal (Merthiolate) and Sodium azide: POISONOUS AND HAZARDOUS SUBSTANCES which should be handled by trained staff only.

    注意事项

    Avoid repeated freezing and thawing.

    储存条件

    4 °C,-20 °C

    储存方法

    Store at -20°C for one year from date of receipt. After reconstitution, at 4°C for one month.
    It can also be aliquotted and stored frozen at -20°C for six months. Avoid repeated freeze-thaw cycles.

    有效期

    12 months
  • 抗原

    Kallikrein 2 (KLK2)

    别名

    KLK2

    背景

    Synonyms: Kallikrein-2,3.4.21.35,Glandular kallikrein-1,hGK-1,Tissue kallikrein-2,KLK2,

    Tissue Specificity: Isoform 2 is expressed in pancreas, salivary glands, kidney, colon, prostate gland, testis, spleen and the colon adenocarcinoma cell line T84. .

    Background: KLK2 (KALLIKREIN 2), also called GLANDULAR or PROSTATIC, is a protein that in humans is encoded by the KLK2 gene, and is particularly associated with prostatic tissue. The KLK2 is a member of glandular kallikrein gene family that comprises 25 to 30 highly homologous genes that encode specific proteases involved in the processing of biologically active peptides. The KLK2 gene is mapped to 19q13.33. And the KLK2 gene contains 5 exons. An alternative KLK2 transcript, which they call KLK2-linked molecule (KLM), that arises from the use of an alternate donor site within intron 1. KLM shares only the N-terminal 15-amino acid signal peptide with the original KLK2 protein, the mature proteins display no similarity.

    Sequence Similarities: Belongs to the peptidase S1 family. Kallikrein subfamily.

    分子量

    29 kDa

    UniProt

    P20151

    途径

    Complement System
You are here: