电话:
+86 (0512) 65829739
传真:
+86 (010) 6788 5057
电子邮件:
orders@antibodies-online.cn

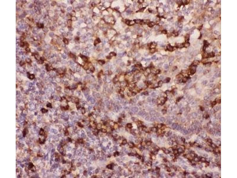
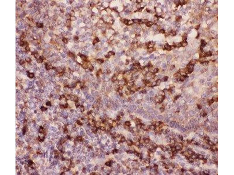
Integrin beta 2 抗体 (AA 17-382)

The 兔 多克隆 anti-Integrin beta 2 antibody is suitable to detect Integrin beta 2 in samples from 人, 小鼠 和 大鼠. It has been validated for WB 和 IHC (p).
产品编号 ABIN3031376
发货至: 中国
Contact our Customer Service for availability and price in your country. Contact Info

Our Local Distributor

中国
北京 101111
No. 88 KeChuang 6th Street
Beijing Economic Technological Development Area
Room 801-803
4A Biotech Co.,Ltd.
Tel +86 (0512) 65829739 传真 +86 (010) 6788 5057

Quick Overview for Integrin beta 2 抗体 (AA 17-382) (ABIN3031376)

抗原

See all Integrin beta 2 (ITGB2) 抗体
Integrin beta 2 (ITGB2)

适用

  • 245
  • 56
  • 46
  • 10
  • 6
  • 3
  • 3
  • 2
  • 2
  • 2
  • 2
  • 2
  • 2
  • 2
  • 1
  • 1
人, 小鼠, 大鼠

宿主

  • 126
  • 107
  • 37
  • 11
  • 2
  • 2
  • 1

克隆类型

  • 196
  • 85
  • 2
多克隆

标记

  • 111
  • 33
  • 29
  • 17
  • 16
  • 7
  • 5
  • 4
  • 4
  • 3
  • 3
  • 3
  • 3
  • 2
  • 2
  • 2
  • 2
  • 2
  • 2
  • 2
  • 2
  • 2
  • 2
  • 2
  • 2
  • 2
  • 2
  • 1
  • 1
  • 1
  • 1
  • 1
  • 1
  • 1
  • 1
  • 1
  • 1
  • 1
  • 1
  • 1
  • 1
  • 1
  • 1
  • 1
  • 1
  • 1
  • 1
This Integrin beta 2 antibody is un-conjugated

应用范围

  • 147
  • 93
  • 65
  • 42
  • 39
  • 35
  • 27
  • 26
  • 26
  • 26
  • 17
  • 10
  • 8
  • 3
  • 3
  • 3
  • 2
  • 2
  • 1
  • 1
Western Blotting (WB), Immunohistochemistry (Paraffin-embedded Sections) (IHC (p))
  • 抗原表位

    • 20
    • 15
    • 8
    • 8
    • 6
    • 6
    • 5
    • 4
    • 4
    • 3
    • 2
    • 2
    • 1
    • 1
    • 1
    • 1
    • 1
    • 1
    • 1
    • 1
    • 1
    • 1
    • 1
    • 1
    • 1
    • 1
    • 1
    • 1
    AA 17-382

    纯化方法

    Antigen affinity

    免疫原

    Human partial recombinant protein (AA 17-382) was used as the immunogen for this MAC-1 antibody.

    亚型

    IgG
  • 应用备注

    The stated application concentrations are suggested starting amounts. Titration of the MAC-1 antibody may be required due to differences in protocols and secondary/substrate sensitivity.\. Western blot: 0.5-1 μg/mL,IHC (Paraffin): 0.5-1 μg/mL

    限制

    仅限研究用
  • 缓冲液

    0.5 mg/mL if reconstituted with 0.2 mL sterile DI water

    储存条件

    -20 °C

    储存方法

    After reconstitution, the MAC-1 antibody can be stored for up to one month at 4°C. For long-term, aliquot and store at -20°C. Avoid repeated freezing and thawing.
  • 抗原

    Integrin beta 2 (ITGB2)

    别名

    MAC-1

    背景

    Macrophage-1 alpha (MAC-1) or CD11b are glycoproteins encoded by the ITGAM gene. It is mapped to 16p11.2. MAC-1 has a role in vascular repair after mechanical arterial injury. It is implicated in various adhesive interactions of monocytes, macrophages and granulocytes as well as in mediating the uptake of complement-coated particles. Additionally, it likely recognizes the R-G-D peptide in C3b, and it is also a receptor for fibrinogen, factor X and ICAM1.

    基因ID

    3684

    途径

    NF-kappaB Signaling, Activation of Innate immune Response, Toll-Like Receptors Cascades, Activated T Cell Proliferation
You are here: