HSD17B1 抗体 (AA 29-43)
Our Local Distributor
北京 101111
Quick Overview for HSD17B1 抗体 (AA 29-43) (ABIN3031269)
抗原
See all HSD17B1 抗体适用
宿主
克隆类型
标记
应用范围
-
-
抗原表位
- AA 29-43
-
纯化方法
- Antigen affinity
-
免疫原
- Amino acids 29-43 (QSFKVYATLRDLKTQ-human) were used as the immunogen for this HSD17B1 antibody.
-
亚型
- IgG
-
-
-
-
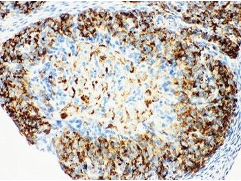
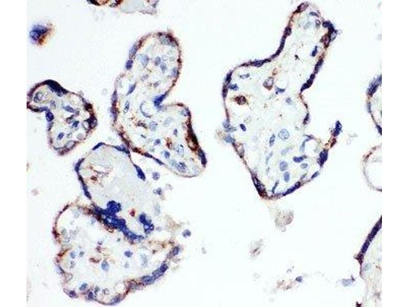
应用备注
- The stated application concentrations are suggested starting amounts. Titration of the HSD17B1 antibody may be required due to differences in protocols and secondary/substrate sensitivity.\. Western blot: 0.5-1 μg/mL,IHC (Paraffin): 0.5-1 μg/mL,Immunocytochemistry: 0.5-1 μg/mL
-
限制
- 仅限研究用
-
-
-
缓冲液
- 0.5 mg/mL if reconstituted with 0.2 mL sterile DI water
-
储存条件
- -20 °C
-
储存方法
- After reconstitution, the HSD17B1 antibody can be stored for up to one month at 4°C. For long-term, aliquot and store at -20°C. Avoid repeated freezing and thawing.
-
-
- HSD17B1 (Hydroxysteroid (17-Beta) Dehydrogenase 1 (HSD17B1))
-
别名
- HSD17B1
-
背景
- 17-beta-Hydroxysteroid dehydrogenas I, also known as 17-beta-hydroxysteroid dehydrogenase or 17-ketosteroid reductase, is an enzyme that is responsible for the interconversion of estrone(E1) and estradiol(E2) as well as the interconversion of androstenedione and testosterone. HSD17B1 gene expression is detected in 34 of 42 (81 % ) adenomas in all tumor subtypes, HSD17B2 mRNA is detected in 18 of 42(43 %) adenomas but not in prolactinomas. Human estrogenic HSD17B1 is an NADP(H)-preferring enzyme. It possesses 11- and 4-fold higher specificity toward NADP(H) over NAD(H) for oxidation and reduction, respectively, as demonstrated by kinetic studies. All four isoforms are variably expressed in human anterior pituitary adenomas, which also show HSD17B enzyme activity, suggesting that it may play an important role in regulating the local cellular levels of estradiol.
-
UniProt
- P14061
-
途径
- Metabolism of Steroid Hormones and Vitamin D, Steroid Hormone Biosynthesis
抗原
-