HSD17B1 抗体 (N-Term)
Our Local Distributor
北京 101111
Quick Overview for HSD17B1 抗体 (N-Term) (ABIN2776958)
抗原
See all HSD17B1 抗体适用
宿主
克隆类型
标记
应用范围
-
-
抗原表位
- N-Term
-
序列
- MARTVVLITG CSSGIGLHLA VRLASDPSQS FKVYATLRDL KTQGRLWEAA
-
预测反应
- Cow: 100%, Dog: 100%, Guinea Pig: 91%, Horse: 100%, Human: 100%, Mouse: 100%, Pig: 100%, Rabbit: 100%, Rat: 100%
-
产品特性
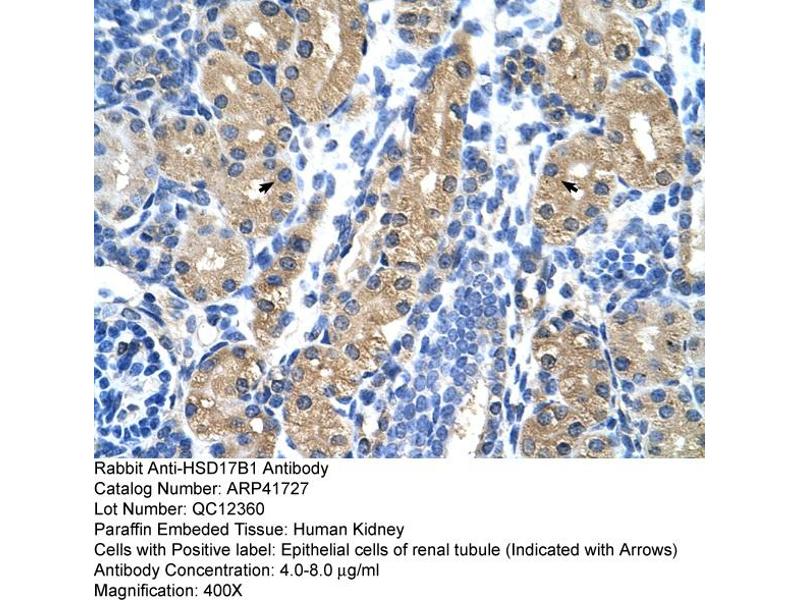
- This is a rabbit polyclonal antibody against HSD17B1. It was validated on Western Blot and immunohistochemistry.
-
纯化方法
- Affinity Purified
-
免疫原
- The immunogen is a synthetic peptide directed towards the N terminal region of human HSD17B1
-
-
-
-
应用备注
- Optimal working dilutions should be determined experimentally by the investigator.
-
说明
-
Antigen size: 328 AA
-
限制
- 仅限研究用
-
-
-
状态
- Liquid
-
浓度
- Lot specific
-
缓冲液
- Liquid. Purified antibody supplied in 1x PBS buffer with 0.09 % (w/v) sodium azide and 2 % sucrose.
-
储存液
- Sodium azide
-
注意事项
- This product contains Sodium azide: a POISONOUS AND HAZARDOUS SUBSTANCE which should be handled by trained staff only.
-
注意事项
- Avoid repeated freeze-thaw cycles.
-
储存条件
- -20 °C
-
储存方法
- For short term use, store at 2-8°C up to 1 week. For long term storage, store at -20°C in small aliquots to prevent freeze-thaw cycles.
-
-
-
: "Association between endometriosis and genetic polymorphisms of the estradiol-synthesizing enzyme genes HSD17B1 and CYP19." in: Human reproduction (Oxford, England), Vol. 20, Issue 4, pp. 974-8, (2005) (PubMed).
-
-
- HSD17B1 (Hydroxysteroid (17-Beta) Dehydrogenase 1 (HSD17B1))
-
别名
- HSD17B1
-
背景
-
HSD17B1 is favors the reduction of estrogens and androgens. It also has 20-alpha-HSD activity. It uses preferentially NADH.
Alias Symbols: EDH17B2, EDHB17, HSD17, SDR28C1
Protein Interaction Partner: HSD17B1,
Protein Size: 328 -
分子量
- 36 kDa
-
基因ID
- 3292
-
NCBI登录号
- NM_000413, NP_000404
-
UniProt
- P14061
-
途径
- Metabolism of Steroid Hormones and Vitamin D, Steroid Hormone Biosynthesis
抗原
-