电话:
+86 (0512) 65829739
传真:
+86 (010) 6788 5057
电子邮件:
orders@antibodies-online.cn

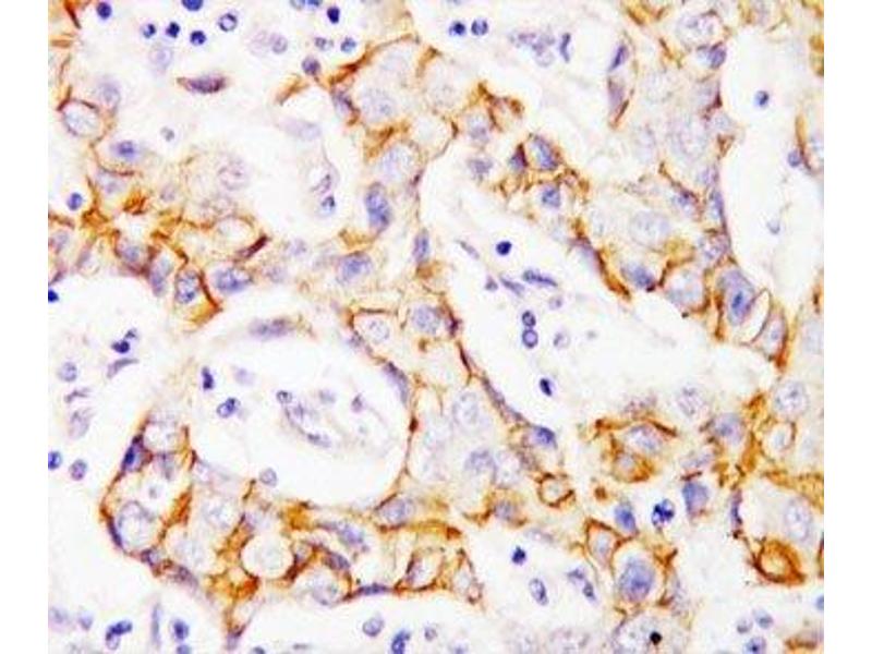
beta Catenin 抗体 (AA 764-781)

The 兔 多克隆 anti-beta Catenin antibody is suitable to detect beta Catenin in samples from 人, 小鼠 和 大鼠. It has been validated for WB, ICC, IHC (p) 和 IHC (fro).
产品编号 ABIN3030329
发货至: 中国
Contact our Customer Service for availability and price in your country. Contact Info

Our Local Distributor

中国
北京 101111
No. 88 KeChuang 6th Street
Beijing Economic Technological Development Area
Room 801-803
4A Biotech Co.,Ltd.
Tel +86 (0512) 65829739 传真 +86 (010) 6788 5057

Quick Overview for beta Catenin 抗体 (AA 764-781) (ABIN3030329)

抗原

See all beta Catenin (CATNB) 抗体
beta Catenin (CATNB) (Catenin, beta (CATNB))

适用

  • 392
  • 271
  • 247
  • 29
  • 23
  • 21
  • 18
  • 17
  • 7
  • 5
  • 5
  • 4
  • 1
  • 1
  • 1
  • 1
  • 1
  • 1
  • 1
人, 小鼠, 大鼠

宿主

  • 308
  • 89
  • 2
  • 1
  • 1

克隆类型

  • 251
  • 148
  • 2
多克隆

标记

  • 140
  • 27
  • 11
  • 10
  • 9
  • 9
  • 9
  • 9
  • 9
  • 9
  • 9
  • 9
  • 9
  • 9
  • 9
  • 8
  • 8
  • 8
  • 8
  • 8
  • 8
  • 8
  • 7
  • 7
  • 7
  • 7
  • 7
  • 7
  • 7
  • 3
  • 3
  • 1
  • 1
  • 1
This beta Catenin antibody is un-conjugated

应用范围

  • 258
  • 173
  • 142
  • 121
  • 118
  • 110
  • 72
  • 53
  • 48
  • 43
  • 36
  • 31
  • 7
  • 5
  • 2
  • 1
  • 1
Western Blotting (WB), Immunocytochemistry (ICC), Immunohistochemistry (Paraffin-embedded Sections) (IHC (p)), Immunohistochemistry (Frozen Sections) (IHC (fro))
  • 抗原表位

    • 53
    • 37
    • 26
    • 22
    • 20
    • 20
    • 19
    • 17
    • 16
    • 16
    • 16
    • 15
    • 9
    • 7
    • 7
    • 6
    • 4
    • 3
    • 3
    • 3
    • 3
    • 2
    • 2
    • 2
    • 2
    • 2
    • 2
    • 2
    • 2
    • 2
    • 2
    • 2
    • 2
    • 2
    • 2
    • 2
    • 1
    • 1
    • 1
    • 1
    • 1
    • 1
    • 1
    • 1
    • 1
    • 1
    • 1
    • 1
    • 1
    • 1
    AA 764-781

    纯化方法

    Antigen affinity

    免疫原

    Amino acids 764-781 (DGLPPGDSNQLAWFDTDL) were used as the immunogen for this beta Catenin antibody (100% homologous in human, mouse and rat).

    亚型

    IgG
  • 应用备注

    Titration of the beta Catenin antibody may be required due to differences in protocols and secondary/substrate sensitivity.\. Western blot: 0.5-1 μg/mL,IHC (Paraffin): 0.5-1 μg/mL,IHC (Frozen): 0.5-1 μg/mL,Immunocytochemistry: 0.5-1 μg/mL

    限制

    仅限研究用
  • 缓冲液

    0.5 mg/mL if reconstituted with 0.2 mL sterile DI water

    储存条件

    -20 °C

    储存方法

    After reconstitution, the pAb can be stored for up to one month at 4°C. For long-term, aliquot and store at -20°C. Avoid repeated freezing and thawing.
  • 抗原

    beta Catenin (CATNB) (Catenin, beta (CATNB))

    别名

    beta Catenin

    背景

    Catenins are proteins found in complexes with cadherin cell adhesion molecules of animal cells. Beta-catenin binds the cytoplasmic domain of some cadherins. It is an adherens junction protein that plays an important role in various aspects of liver biology.

    UniProt

    P35222

    途径

    Peptide Hormone Metabolism
You are here: