电话:
+86 (0512) 65829739
传真:
+86 (010) 6788 5057
电子邮件:
orders@antibodies-online.cn

beta Catenin 抗体

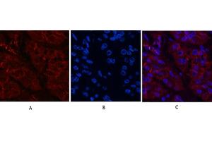
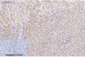
This 小鼠 单克隆 antibody specifically detects beta Catenin in WB, IF 和 IHC (p). It exhibits reactivity toward 人, 小鼠 和 大鼠.
产品编号 ABIN7202102
发货至: 中国
Contact our Customer Service for availability and price in your country. Contact Info

Our Local Distributor

中国
北京 101111
No. 88 KeChuang 6th Street
Beijing Economic Technological Development Area
Room 801-803
4A Biotech Co.,Ltd.
Tel +86 (0512) 65829739 传真 +86 (010) 6788 5057

Quick Overview for beta Catenin 抗体 (ABIN7202102)

抗原

See all beta Catenin (CATNB) 抗体
beta Catenin (CATNB) (Catenin, beta (CATNB))

适用

  • 381
  • 271
  • 248
  • 29
  • 22
  • 21
  • 18
  • 17
  • 7
  • 5
  • 5
  • 4
  • 1
  • 1
  • 1
  • 1
  • 1
  • 1
  • 1
人, 小鼠, 大鼠

宿主

  • 305
  • 80
  • 4
  • 1
  • 1
小鼠

克隆类型

  • 255
  • 134
  • 2
单克隆

标记

  • 130
  • 27
  • 11
  • 10
  • 9
  • 9
  • 9
  • 9
  • 9
  • 9
  • 9
  • 9
  • 9
  • 9
  • 9
  • 8
  • 8
  • 8
  • 8
  • 8
  • 8
  • 8
  • 7
  • 7
  • 7
  • 7
  • 7
  • 7
  • 7
  • 3
  • 3
  • 1
  • 1
  • 1
This beta Catenin antibody is un-conjugated

应用范围

  • 255
  • 174
  • 129
  • 121
  • 118
  • 107
  • 71
  • 54
  • 51
  • 45
  • 36
  • 32
  • 7
  • 5
  • 2
  • 1
  • 1
Western Blotting (WB), Immunofluorescence (IF), Immunohistochemistry (Paraffin-embedded Sections) (IHC (p))
  • 原理

    Catenin-β Monoclonal Antibody

    特异性

    The antibody detects endogenous Catenin-β protein.

    纯化方法

    The antibody was affinity-purified from mouse ascites by affinity-chromatography using epitope-specific immunogen

    免疫原

    Recombinant Protein

    亚型

    IgG1
  • 应用备注

    Optimal working dilutions should be determined experimentally by the investigator. Suggested starting dilutions are as follows: WB (1:1000-1:2000), IF (1:100-1:200), IHC-P (1:200-1:500).

    限制

    仅限研究用
  • 状态

    Liquid

    浓度

    1 mg/mL

    缓冲液

    PBS, pH 7.4, containing 0.02 % Sodium Azide as preservative and 50 % Glycerol.

    储存液

    Sodium azide

    注意事项

    This product contains Sodium azide: a POISONOUS AND HAZARDOUS SUBSTANCE which should be handled by trained staff only.

    储存条件

    -20 °C

    储存方法

    Stable for one year at -20°C from date of shipment. For maximum recovery of product, centrifuge the original vial after thawing and prior to removing the cap. Aliquot to avoid repeated freezing and thawing.
  • 抗原

    beta Catenin (CATNB) (Catenin, beta (CATNB))

    别名

    Catenin-beta

    背景

    Mouse Anti-Catenin-β Monoclonal Antibody,The protein encoded by CTNNB1 (catenin beta 1) is part of a complex of proteins that constitute adherens junctions (AJs). AJs are necessary for the creation and maintenance of epithelial cell layers by regulating cell growth and adhesion between cells. The encoded protein also anchors the actin cytoskeleton and may be responsible for transmitting the contact inhibition signal that causes cells to stop dividing once the epithelial sheet is complete. Finally, this protein binds to the product of the APC gene, which is mutated in adenomatous polyposis of the colon. Mutations in CTNNB1 are a cause of colorectal cancer (CRC), pilomatrixoma (PTR), medulloblastoma (MDB), and ovarian cancer. Three transcript variants encoding the same protein have been found for CTNNB1.,Catenin beta-1

    基因ID

    1499

    UniProt

    P35222

    途径

    Peptide Hormone Metabolism
You are here: