电话:
+86 (0512) 65829739
传真:
+86 (010) 6788 5057
电子邮件:
orders@antibodies-online.cn

ODC1 抗体

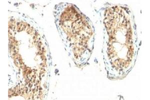
This 小鼠 单克隆 antibody specifically detects ODC1 in WB, IF, FACS 和 IHC (p). It exhibits reactivity toward 人 和 大鼠.
产品编号 ABIN3026477
发货至: 中国
Contact our Customer Service for availability and price in your country. Contact Info

Our Local Distributor

中国
北京 101111
No. 88 KeChuang 6th Street
Beijing Economic Technological Development Area
Room 801-803
4A Biotech Co.,Ltd.
Tel +86 (0512) 65829739 传真 +86 (010) 6788 5057

Quick Overview for ODC1 抗体 (ABIN3026477)

抗原

See all ODC1 抗体
ODC1 (Ornithine Decarboxylase 1 (ODC1))

适用

  • 115
  • 75
  • 55
  • 15
  • 15
  • 1
  • 1
  • 1
人, 大鼠

宿主

  • 71
  • 47
  • 2
小鼠

克隆类型

  • 63
  • 57
单克隆

标记

  • 50
  • 9
  • 6
  • 5
  • 5
  • 4
  • 4
  • 4
  • 4
  • 4
  • 2
  • 1
  • 1
  • 1
  • 1
  • 1
  • 1
  • 1
  • 1
  • 1
  • 1
  • 1
  • 1
  • 1
  • 1
  • 1
  • 1
  • 1
  • 1
  • 1
  • 1
  • 1
  • 1
  • 1
This ODC1 antibody is un-conjugated

应用范围

  • 99
  • 41
  • 32
  • 26
  • 23
  • 22
  • 20
  • 13
  • 13
  • 13
  • 8
  • 6
  • 4
  • 4
  • 1
  • 1
  • 1
Western Blotting (WB), Immunofluorescence (IF), Flow Cytometry (FACS), Immunohistochemistry (Paraffin-embedded Sections) (IHC (p))

克隆位点

ODC1-485
  • 产品特性

    This antibody recognizes a 53 kDa protein, identified as the Ornithine Decarboxylase. ODC-1 is the initial and rate-limiting enzyme in the biosynthetic pathway of polyamines and is involved in the conversion of ornithine to putrescine. The biological activity of ODC-1 is rapidly induced in response to virtually all agents known to promote cell proliferation including hormones, drugs, growth factors, mitogens, and tumor promoters. Reportedly, ODC-1 mRNA levels are elevated in lung carcinomas as well as in colon adenomas and carcinomas. Activity in colorectal carcinomas is greater than those in adenomas and normal mucosa.

    纯化方法

    Protein G affinity chromatography

    免疫原

    Recombinant human ODC-1 protein was used as the immunogen for this antibody.

    亚型

    IgG1 kappa
  • 应用备注

    The concentration stated for each application is a general starting point. Variations in protocols, secondaries and substrates may require the antibody to be titered up or down for optimal performance.

    1. Staining of formalin-fixed tissues requires boiling tissue sections in 10  mM citrate buffer,  pH 6.0, for 10-20 min followed by cooling at RT for 20 minutes.
    2. The prediluted format is supplied in a dropper bottle and is optimized for use in IHC. After epitope retrieval step (if required), drip mAb solution onto the tissue section and incubate at RT for 30 min.\. FACS: 0.5-1 μg/million cells,IF: 0.5-1 μg/mL,WB: 0.5-1 μg/mL,IHC (FFPE): 0.5-1 μg/mL for 30 minutes at RT (1),Prediluted format : incubate for 30 min at RT (2)

    限制

    仅限研究用
  • 浓度

    1 mg/mL

    缓冲液

    1 mg/mL in 1X PBS, BSA free, sodium azide free

    储存液

    Azide free

    储存条件

    4 °C,-20 °C

    储存方法

    Store the ODC-1 antibody at 2-8°C (with azide) or aliquot and store at -20°C or colder (without azide).
  • 抗原

    ODC1 (Ornithine Decarboxylase 1 (ODC1))

    别名

    ODC-1 / Ornithine Decarboxylase 1

    背景

    This antibody recognizes a 53  kDa protein, identified as the Ornithine Decarboxylase. ODC-1 is the initial and rate-limiting enzyme in the biosynthetic pathway of polyamines and is involved in the conversion of ornithine to putrescine. The biological activity of ODC-1 is rapidly induced in response to virtually all agents known to promote cell proliferation including hormones, drugs, growth factors, mitogens, and tumor promoters. Reportedly, ODC-1 mRNA levels are elevated in lung carcinomas as well as in colon adenomas and carcinomas. Activity in colorectal carcinomas is greater than those in adenomas and normal mucosa.

    基因ID

    4953
You are here: