电话:
+86 (0512) 65829739
传真:
+86 (010) 6788 5057
电子邮件:
orders@antibodies-online.cn

ODC1 抗体

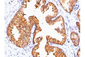
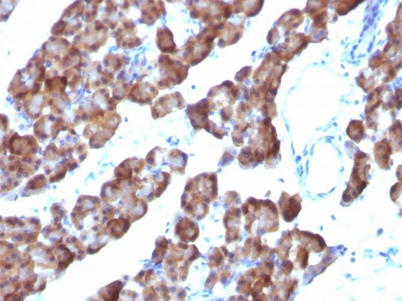
The 小鼠 单克隆 anti-ODC1 antibody (Clone ODC1-485) (ABIN6940235) specifically detects ODC1 in WB, IHC, IF, FACS 和 StM. The antibody is reactive with 人, 大鼠 和 小鼠 samples.
产品编号 ABIN6940235
发货至: 中国
Contact our Customer Service for availability and price in your country. Contact Info

Our Local Distributor

中国
北京 101111
No. 88 KeChuang 6th Street
Beijing Economic Technological Development Area
Room 801-803
4A Biotech Co.,Ltd.
Tel +86 (0512) 65829739 传真 +86 (010) 6788 5057

Quick Overview for ODC1 抗体 (ABIN6940235)

抗原

See all ODC1 抗体
ODC1 (Ornithine Decarboxylase 1 (ODC1))

适用

  • 115
  • 75
  • 54
  • 15
  • 15
  • 1
  • 1
  • 1
人, 大鼠, 小鼠

宿主

  • 71
  • 47
  • 2
小鼠

克隆类型

  • 63
  • 57
单克隆

标记

  • 50
  • 9
  • 6
  • 5
  • 5
  • 4
  • 4
  • 4
  • 4
  • 4
  • 2
  • 1
  • 1
  • 1
  • 1
  • 1
  • 1
  • 1
  • 1
  • 1
  • 1
  • 1
  • 1
  • 1
  • 1
  • 1
  • 1
  • 1
  • 1
  • 1
  • 1
  • 1
  • 1
  • 1
This ODC1 antibody is un-conjugated

应用范围

  • 99
  • 40
  • 32
  • 26
  • 23
  • 22
  • 20
  • 14
  • 13
  • 13
  • 8
  • 6
  • 4
  • 3
  • 1
  • 1
  • 1
Western Blotting (WB), Immunohistochemistry (IHC), Immunofluorescence (IF), Flow Cytometry (FACS), Staining Methods (StM)

克隆位点

ODC1-485
  • 特异性

    Recognizes a 53 kDa protein, identified as the Ornithine Decarboxylase (ODC-1). ODC is the initial and rate-limiting enzyme in the biosynthetic pathway of polyamines and is involved in the conversion of ornithine to putrescine. The biological activity of ODC-1 is rapidly induced in response to virtually all agents known to promote cell proliferation including hormones, drugs, growth factors, mitogens, and tumor promoters. Reportedly, ODC mRNA levels are elevated in lung carcinomas as well as in colon adenomas and carcinomas. ODC activity in colorectal carcinomas is greater than those in adenomas and normal mucosa.

    纯化方法

    Purified by Protein A/G

    免疫原

    Recombinant full-length human ODC-1 protein

    亚型

    IgG1 kappa
  • 应用备注

    Positive Control: PC3 or LNCaP cells. Placental tissue lysate. Placenta, Prostate or Testicular carcinoma.

    Known Application: Flow Cytometry (0.5-1 μg/million cells), Immunofluorescence (0.5-1 μg/mL), Western Blot (0.5-1 μg/mL), Immunohistochemistry (Formalin-fixed) (0.25-0.5 μg/mL for 30 minutes at RT)(Staining of formalin-fixed tissues requires boiling tissue sections in 10 mM citrate buffer, pH 6.0, for 10-20 min followed by cooling at RT for 20 minutes)Optimal dilution for a specific application should be determined.

    限制

    仅限研究用
  • 浓度

    200 μg/mL

    缓冲液

    10 mM PBS with 0.05 % BSA & 0.05 % azide.

    储存液

    Sodium azide

    注意事项

    This product contains Sodium azide: a POISONOUS AND HAZARDOUS SUBSTANCE which should be handled by trained staff only.

    储存条件

    4 °C,-80 °C

    储存方法

    Antibody with azide - store at 2 to 8°C. Antibody without azide - store at -20 to -80°C. Antibody is stable for 24 months. Non-hazardous. No MSDS required.

    有效期

    24 months
  • 抗原

    ODC1 (Ornithine Decarboxylase 1 (ODC1))

    别名

    ODC1

    分子量

    53kDa

    基因ID

    4953

    UniProt

    P11926
You are here: