电话:
+86 (0512) 65829739
传真:
+86 (010) 6788 5057
电子邮件:
orders@antibodies-online.cn

Helicobacter Pylori 抗体

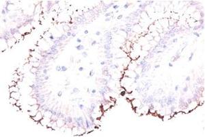
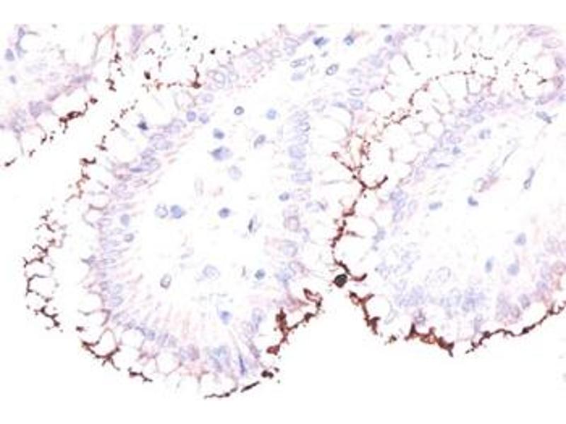
The 兔 多克隆 anti-Helicobacter Pylori antibody (ABIN3026275) specifically detects Helicobacter Pylori in IF, IHC (p) 和 FACS. The antibody is reactive with Helicobacter pylori samples.
产品编号 ABIN3026275
发货至: 中国
Contact our Customer Service for availability and price in your country. Contact Info

Our Local Distributor

中国
北京 101111
No. 88 KeChuang 6th Street
Beijing Economic Technological Development Area
Room 801-803
4A Biotech Co.,Ltd.
Tel +86 (0512) 65829739 传真 +86 (010) 6788 5057

Quick Overview for Helicobacter Pylori 抗体 (ABIN3026275)

抗原

Helicobacter Pylori (H. pylori)

适用

  • 87
  • 6
  • 2
Helicobacter pylori

宿主

  • 50
  • 44
  • 1
  • 1

克隆类型

  • 56
  • 40
多克隆

标记

  • 63
  • 6
  • 6
  • 6
  • 2
  • 2
  • 2
  • 2
  • 2
  • 2
  • 2
  • 1
This Helicobacter Pylori antibody is un-conjugated

应用范围

  • 49
  • 35
  • 26
  • 25
  • 9
  • 8
  • 7
  • 7
  • 6
  • 5
  • 4
  • 3
  • 3
  • 3
  • 2
  • 2
  • 2
  • 1
  • 1
  • 1
  • 1
  • 1
  • 1
  • 1
  • 1
  • 1
  • 1
  • 1
Immunofluorescence (IF), Immunohistochemistry (Paraffin-embedded Sections) (IHC (p)), Flow Cytometry (FACS)
  • 纯化方法

    Protein A affinity chromatography

    免疫原

    Total sonicate of Helicobacter ylori was used as the immunogen for this antibody.

    亚型

    IgG
  • 应用备注

    The concentration stated for each application is a general starting point. Variations in protocols, secondaries and substrates may require the antibody to be titered up or down for optimal performance.

    1. Staining of formalin-fixed tissues requires boiling tissue sections in 10  mM Citrate,  pH 6.0, for 10-20 min followed by cooling at RT for 20 minutes.
    \. FACS: 0.5-1 μg/million cells,IF: 1-2 μg/mL,IHC (FFPE): 1-2 μg/mL for 30 minutes at RT (1)

    限制

    仅限研究用
  • 浓度

    1 mg/mL

    缓冲液

    1mg/ml in 1X PBS with 0.05% sodium azide; BSA-free

    储存液

    Azide free

    储存条件

    4 °C,-20 °C

    储存方法

    Store the Helicobacter Pylori antibody at 2-8°C (with azide) or aliquot and store at -20°C or colder (without azide).
  • 抗原

    Helicobacter Pylori (H. pylori)

    别名

    Helicobacter Pylori

    物质类

    Virus

    背景

    The spiral shaped bacterium Helicobacter pylori is strongly associated with inflammation of the stomach and is also implicated in the development of gastric malignancy. This bacteria is known to cause peptic ulcers and chronic gastritis in human. It is associated with duodenal ulcers and may be involved in development of adenocarcinoma and low-grade lymphoma of mucosa associated lymphoid tissue in the stomach. This antibody stains the individual Helicobacter pylori bacterium when it presents on the surface of the epithelium or in the cytoplasm of the epithelial cells in biopsy tissue sections from the antrum and body of the stomach.
You are here: