电话:
+86 (0512) 65829739
传真:
+86 (010) 6788 5057
电子邮件:
orders@antibodies-online.cn

Helicobacter Pylori 抗体

The 小鼠 单克隆 anti-Helicobacter Pylori antibody is suitable to detect Helicobacter Pylori. It has been validated for IHC, IHC (p) 和 HIER.
产品编号 ABIN7538897
发货至: 中国
Contact our Customer Service for availability and price in your country. Contact Info

Our Local Distributor

中国
北京 101111
No. 88 KeChuang 6th Street
Beijing Economic Technological Development Area
Room 801-803
4A Biotech Co.,Ltd.
Tel +86 (0512) 65829739 传真 +86 (010) 6788 5057

Quick Overview for Helicobacter Pylori 抗体 (ABIN7538897)

抗原

Helicobacter Pylori (H. pylori)

适用

请咨询

宿主

  • 41
  • 30
  • 1
  • 1
小鼠

克隆类型

  • 41
  • 32
单克隆

标记

  • 40
  • 6
  • 6
  • 6
  • 2
  • 2
  • 2
  • 2
  • 2
  • 2
  • 2
  • 1
This Helicobacter Pylori antibody is un-conjugated

应用范围

  • 32
  • 28
  • 26
  • 23
  • 9
  • 8
  • 7
  • 6
  • 5
  • 5
  • 4
  • 3
  • 3
  • 3
  • 3
  • 2
  • 2
  • 2
  • 1
  • 1
  • 1
  • 1
  • 1
  • 1
  • 1
  • 1
  • 1
  • 1
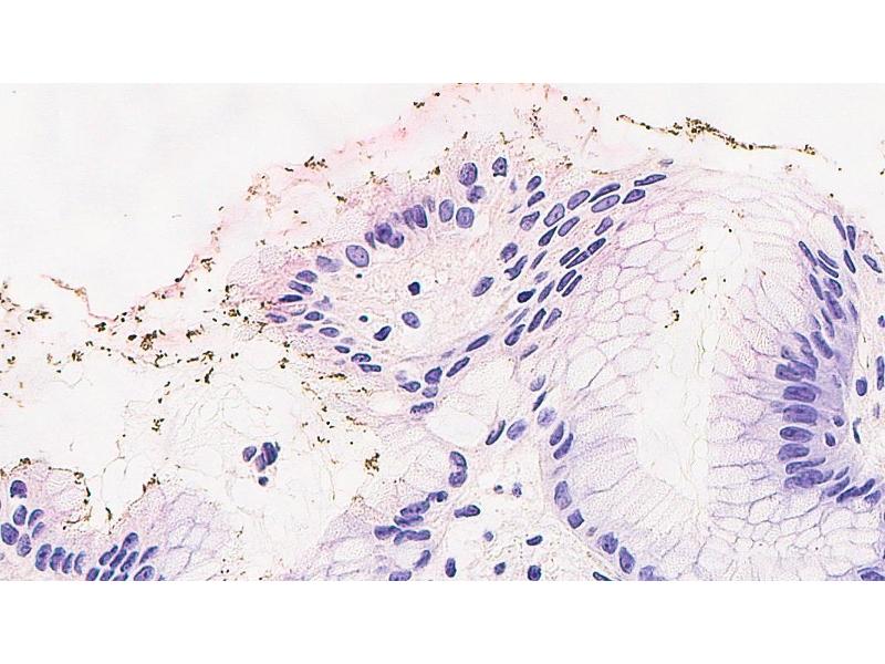
Immunohistochemistry (IHC), Immunohistochemistry (Paraffin-embedded Sections) (IHC (p)), Heat-induced Epitope Retrieval (HIER)

克隆位点

ULC3R
  • 原理

    Liquid Mouse Monoclonal Antibody Helicobacter pylori

    特异性

    Helicobacter pylori.

    产品特性

    This product is intended for the qualitative identification by light microscopy of Helicobacter pylori in paraffin sections.

    纯化方法

    Tissue culture supernatant

    免疫原

    Prokaryotic recombinant protein corresponding to 151 amino acids of the HopE molecule.

    亚型

    IgG1
  • 应用备注

    Immunohistochemistry on paraffin sections. Suggested dilution: 1:100 for 30 minutes at 25°C. Heat induced epitope retrieval using Epitope Retrieval Solution pH 6.0. Immunohistochemical (IHC) staining techniques allow for the visualization of antigens via the sequential application of a specific antibody to the antigen (primary antibody), a secondary antibody to the primary antibody and an enzyme complex with a chromogenic substrate with interposed washing steps. The enzymatic activation of the chromogen results in a visible reaction product at the antigen site. The specimen may then be counterstained and coverslipped. Results are interpreted using a light microscope.

    限制

    仅限研究用
  • 状态

    Liquid

    浓度

    405 mg/L

    缓冲液

    This product is a liquid tissue culture supernatant containing 15 mM sodium azide as a preservative.

    储存液

    Sodium azide

    注意事项

    This product contains Sodium azide: a POISONOUS AND HAZARDOUS SUBSTANCE which should be handled by trained staff only.

    储存条件

    4 °C

    储存方法

    Store at 2-8 °C. Do not freeze. Return to 2-8 °C immediately after use. Do not use after expiration date indicated on the vial label. Storage conditions other than those specified above must be verified by the user.

    有效期

    12 months
  • 抗原

    Helicobacter Pylori (H. pylori)

    别名

    Helicobacter pylori

    物质类

    Virus
You are here: