电话:
+86 (0512) 65829739
传真:
+86 (010) 6788 5057
电子邮件:
orders@antibodies-online.cn

Cytokeratin 8/18 抗体

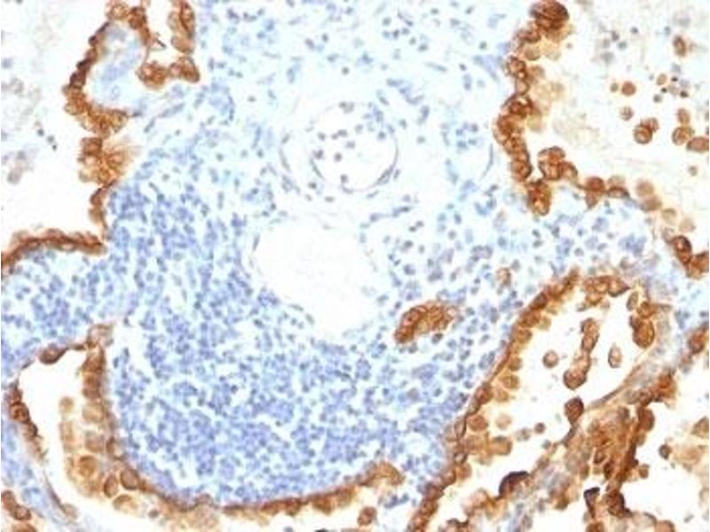
The 小鼠 单克隆 anti-Cytokeratin 8/18 antibody is suitable to detect Cytokeratin 8/18 in samples from 人. It has been validated for WB, IF, FACS 和 IHC (p).
产品编号 ABIN3024669
发货至: 中国
Contact our Customer Service for availability and price in your country. Contact Info

Our Local Distributor

中国
北京 101111
No. 88 KeChuang 6th Street
Beijing Economic Technological Development Area
Room 801-803
4A Biotech Co.,Ltd.
Tel +86 (0512) 65829739 传真 +86 (010) 6788 5057

Quick Overview for Cytokeratin 8/18 抗体 (ABIN3024669)

抗原

Cytokeratin 8/18

适用

  • 54
  • 11
  • 10
  • 10
  • 10
  • 8

宿主

  • 46
  • 8
  • 1
小鼠

克隆类型

  • 54
  • 1
单克隆

标记

  • 13
  • 6
  • 4
  • 4
  • 4
  • 4
  • 4
  • 4
  • 3
  • 2
  • 1
  • 1
  • 1
  • 1
  • 1
  • 1
  • 1
This Cytokeratin 8/18 antibody is un-conjugated

应用范围

  • 33
  • 32
  • 31
  • 24
  • 14
  • 12
  • 8
  • 3
  • 3
  • 2
  • 2
  • 1
  • 1
Western Blotting (WB), Immunofluorescence (IF), Flow Cytometry (FACS), Immunohistochemistry (Paraffin-embedded Sections) (IHC (p))

克隆位点

KRT8-803-KRT18-835
  • 纯化方法

    Protein G affinity chromatography

    免疫原

    Recombinant full-length human KRT8 protein (KRT8/803) and KRT18 protein (KRT18/835) were used as the immunogen for the Cytokeratin 8 + 18 antibody cocktail.

    亚型

    IgG
  • 应用备注

    Optimal dilution of the Cytokeratin 8 + 18 antibody cocktail should be determined by the researcher.

    1. Staining of formalin-fixed tissues requires boiling tissue sections in 10  mM Citrate buffer,  pH 6.0, for 10-20 min followed by cooling at RT for 20 min.
    2. The prediluted format is supplied in a dropper bottle and is optimized for use in IHC. After epitope retrieval step (if required), drip mAb solution onto the tissue section and incubate at RT for 30 min.\. Flow Cytometry: 0.5-1 μg/million cells in 0.1ml,Immunofluorescence: 1-2 μg/mL,Western blot: 0.5-1 μg/mL,Immunohistochemistry (FFPE): 0.5-1 μg/mL for 30 min at RT (1),Prediluted format: incubate for 30 min at RT (2)

    限制

    仅限研究用
  • 浓度

    1 mg/mL

    缓冲液

    1 mg/mL in 1X PBS, BSA free, sodium azide free

    储存液

    Azide free

    储存条件

    4 °C,-20 °C

    储存方法

    Store the Cytokeratin 8 + 18 antibody cocktail at 2-8°C (with azide) or aliquot and store at -20°C or colder (without azide).
  • 抗原

    Cytokeratin 8/18

    别名

    Cytokeratin 8 + 18

    背景

    Cytokeratin 8 (CK8) belongs to the type II (or B or basic) subfamily of high molecular weight cytokeratins and exists in combination with cytokeratin 18 (CK18). This mAb cocktail recognizes all simple epithelia including glandular epithelium, for example thyroid, female breast, gastrointestinal tract, respiratory tract, and urogenital tract including transitional epithelium. All adenocarcinomas and most squamous carcinomas are positive but keratinizing squamous carcinomas are usually negative. This antibody is useful in demonstrating the presence of Paget cells, there is very little keratin 18 in the normal epidermis so only Paget cells are stained. Immuno-histochemical staining with this mAb is indistinguishable from that obtained with monoclonal antibody 5D3.
You are here: