电话:
+86 (0512) 65829739
传真:
+86 (010) 6788 5057
电子邮件:
orders@antibodies-online.cn

GPR68 抗体 (N-Term)

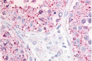
This 兔 多克隆 antibody specifically detects GPR68 in IHC (p). It exhibits reactivity toward 人 和 小鼠.
产品编号 ABIN302446
发货至: 中国
Contact our Customer Service for availability and price in your country. Contact Info

Our Local Distributor

中国
北京 101111
No. 88 KeChuang 6th Street
Beijing Economic Technological Development Area
Room 801-803
4A Biotech Co.,Ltd.
Tel +86 (0512) 65829739 传真 +86 (010) 6788 5057

Quick Overview for GPR68 抗体 (N-Term) (ABIN302446)

抗原

See all GPR68 抗体
GPR68 (G Protein-Coupled Receptor 68 (GPR68))

适用

  • 38
  • 20
  • 12
  • 7
  • 6
  • 6
  • 5
  • 5
  • 4
  • 4
  • 2
  • 2
  • 2
  • 2
人, 小鼠

宿主

  • 41
  • 1

克隆类型

  • 41
  • 1
多克隆

标记

  • 40
  • 1
  • 1
This GPR68 antibody is un-conjugated

应用范围

  • 20
  • 18
  • 16
  • 11
  • 6
  • 3
  • 3
  • 3
  • 1
  • 1
  • 1
Immunohistochemistry (Paraffin-embedded Sections) (IHC (p))
  • 抗原表位

    • 7
    • 3
    • 3
    • 3
    • 3
    • 3
    • 3
    • 3
    • 2
    • 1
    • 1
    • 1
    • 1
    • 1
    • 1
    • 1
    • 1
    • 1
    • 1
    N-Term

    特异性

    This antibody detects OGR1 / GPR68 at N-term.

    交叉反应 (详细)

    Species reactivity (expected):Mouse (others see 'Immunogen Remarks')Species reactivity (tested):Human

    纯化方法

    Immunoaffinity chromatography

    免疫原

    Synthetic 17 amino acid peptide from N-terminal domain of human GPR68 / OGR1
  • 应用备注

    Immunohistochemistry on paraffin sections (20 μg/mL). Antigen retrieval: Steam slides in 0.01 M sodium citrate buffer, pH 6.0, at 99-100C for 20 min. Remove from heat and let stand at room temperature in buffer for 20 min. Rinse in 1xTBS with Tween (TBST) for 1 min. at room temperature.
    Other applications not tested.
    Optimal dilutions are dependent on conditions and should be determined by the user.

    限制

    仅限研究用
  • 浓度

    1.0 mg/mL

    缓冲液

    PBS containing 0.09 % Sodium azide as preservative

    储存液

    Sodium azide

    注意事项

    This product contains sodium azide: a POISONOUS AND HAZARDOUS SUBSTANCE which should be handled by trained staff only.

    注意事项

    Avoid repeated freezing and thawing.

    储存条件

    4 °C/-20 °C

    储存方法

    Store undiluted at 2-8 °C for one month or (in aliquots) at -20 °C to -80 °C for longer.
  • 抗原

    GPR68 (G Protein-Coupled Receptor 68 (GPR68))

    别名

    GPR68 / OGR1

    背景

    OGR1, a Lysophospholipid/Lysosphingolipid Receptor, was isolated by degenerate PCR from an ovarian cell line cDNA library. It is not expressed in normal ovary. OGR1 binds sphingosylphosporylcholine, a lipid molecule involved in cell growth and survival. Recently, OGR1 has been shown to act as a proton-sensing receptor stimulating inositol phosphate formation (Ludwig et al. 2003).Synonyms: G-protein coupled receptor 68, GPR12A, Ovarian cancer G-protein coupled receptor 1, Sphingosylphosphorylcholine receptor

    基因ID

    8111

    NCBI登录号

    NP_001171147

    UniProt

    Q15743
You are here: