电话:
+86 (0512) 65829739
传真:
+86 (010) 6788 5057
电子邮件:
orders@antibodies-online.cn

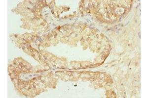
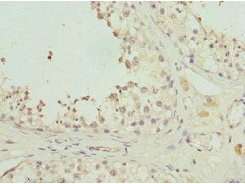
GPR68 抗体 (AA 276-365)

The 兔 多克隆 anti-GPR68 antibody is suitable to detect GPR68 in samples from 人. It has been validated for ELISA 和 IHC.
产品编号 ABIN7162350
发货至: 中国
Contact our Customer Service for availability and price in your country. Contact Info

Our Local Distributor

中国
北京 101111
No. 88 KeChuang 6th Street
Beijing Economic Technological Development Area
Room 801-803
4A Biotech Co.,Ltd.
Tel +86 (0512) 65829739 传真 +86 (010) 6788 5057

Quick Overview for GPR68 抗体 (AA 276-365) (ABIN7162350)

抗原

See all GPR68 抗体
GPR68 (G Protein-Coupled Receptor 68 (GPR68))

适用

  • 38
  • 21
  • 12
  • 7
  • 6
  • 6
  • 5
  • 5
  • 4
  • 4
  • 2
  • 2
  • 2
  • 2

宿主

  • 41
  • 1

克隆类型

  • 41
  • 1
多克隆

标记

  • 40
  • 1
  • 1
This GPR68 antibody is un-conjugated

应用范围

  • 20
  • 17
  • 17
  • 10
  • 6
  • 3
  • 3
  • 3
  • 1
  • 1
  • 1
ELISA, Immunohistochemistry (IHC)
  • 抗原表位

    • 7
    • 4
    • 3
    • 3
    • 3
    • 3
    • 3
    • 2
    • 2
    • 1
    • 1
    • 1
    • 1
    • 1
    • 1
    • 1
    • 1
    • 1
    • 1
    AA 276-365

    原理

    GPR68 Antibody

    纯化方法

    Antigen Affinity Purified

    免疫原

    Recombinant Human Ovarian cancer G-protein coupled receptor 1 protein (276-365AA)

    亚型

    IgG
  • 应用备注

    Optimal working dilution should be determined by the investigator.

    限制

    仅限研究用
  • 状态

    Liquid

    缓冲液

    PBS with 0.02 % sodium azide, 50 % glycerol, pH 7.3.

    储存液

    Sodium azide

    注意事项

    This product contains Sodium azide: a POISONOUS AND HAZARDOUS SUBSTANCE which should be handled by trained staff only.

    储存条件

    -20 °C,-80 °C

    储存方法

    Upon receipt, store at -20°C or -80°C. Avoid repeated freeze.
  • 抗原

    GPR68 (G Protein-Coupled Receptor 68 (GPR68))

    别名

    GPR68

    背景

    Background: Proton-sensing receptor involved in pH homeostasis. May represents an osteoblastic pH sensor regulating cell-mediated responses to acidosis in bone. Mediates its action by association with G proteins that stimulates inositol phosphate (IP) production or Ca(2+) mobilization. The receptor is almost silent at pH 7.8 but fully activated at pH 6.8. Function also as a metastasis suppressor gene in prostate cancer (By similarity).

    Aliases: G protein coupled receptor 68 antibody, G-protein coupled receptor 68 antibody, GPR 12A antibody, GPR 68 antibody, GPR12A antibody, Gpr68 antibody, MGC111379 antibody, MGC156983 antibody, OGR 1 antibody, OGR-1 antibody, OGR1 antibody, OGR1_HUMAN antibody, Ovarian cancer G protein coupled receptor 1 antibody, Ovarian cancer G-protein coupled receptor 1 antibody, Sphingosylphosphorylcholine receptor antibody

    UniProt

    Q15743
You are here: