UHRF1 抗体 (AA 1-260)
Our Local Distributor
北京 101111
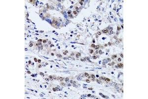
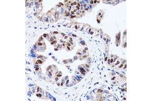
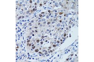
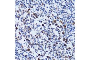
Quick Overview for UHRF1 抗体 (AA 1-260) (ABIN3023232)
抗原
See all UHRF1 抗体适用
宿主
克隆类型
标记
应用范围
-
-
抗原表位
- AA 1-260
-
序列
- MWIQVRTMDG RQTHTVDSLS RLTKVEELRR KIQELFHVEP GLQRLFYRGK QMEDGHTLFD YEVRLNDTIQ LLVRQSLVLP HSTKERDSEL SDTDSGCCLG QSESDKSSTH GEAAAETDSR PADEDMWDET ELGLYKVNEY VDARDTNMGA WFEAQVVRVT RKAPSRDEPC SSTSRPALEE DVIYHVKYDD YPENGVVQMN SRDVRARART IIKWQDLEVG QVVMLNYNPD NPKERGFWYD AEISRKRETR TARELYANVV
-
交叉反应
- 人, 小鼠
-
产品特性
- Polyclonal Antibodies
-
免疫原
- Recombinant fusion protein containing a sequence corresponding to amino acids 1-260 of human UHRF1 (NP_001041666.1).
-
亚型
- IgG
-
-
-
-
应用备注
- WB,1:500 - 1:2000,IHC,1:50 - 1:200,IF,1:20 - 1:50
-
限制
- 仅限研究用
-
-
-
状态
- Liquid
-
缓冲液
- PBS with 0.02 % sodium azide,50 % glycerol, pH 7.3.
-
储存液
- Sodium azide
-
注意事项
- This product contains Sodium azide: a POISONOUS AND HAZARDOUS SUBSTANCE which should be handled by trained staff only.
-
注意事项
- Avoid freeze / thaw cycles
-
储存条件
- -20 °C
-
储存方法
- Store at -20°C. Avoid freeze / thaw cycles.
-
-
- UHRF1 (Ubiquitin-Like, Containing PHD and RING Finger Domains, 1 (UHRF1))
-
别名
- UHRF1
-
背景
- This gene encodes a member of a subfamily of RING-finger type E3 ubiquitin ligases. The protein binds to specific DNA sequences, and recruits a histone deacetylase to regulate gene expression. Its expression peaks at late G1 phase and continues during G2 and M phases of the cell cycle. It plays a major role in the G1/S transition by regulating topoisomerase IIalpha and retinoblastoma gene expression, and functions in the p53-dependent DNA damage checkpoint. It is regarded as a hub protein for the integration of epigenetic information. This gene is up-regulated in various cancers, and it is therefore considered to be a therapeutic target. Multiple transcript variants encoding different isoforms have been found for this gene. A related pseudogene exists on chromosome 12.,UHRF1,ICBP90,Np95,RNF106,TDRD22,hNP95,hUHRF1,huNp95,Epigenetics & Nuclear Signaling,Cell Biology & Developmental Biology,Apoptosis,UHRF1
-
分子量
- 89 kDa/91 kDa
-
基因ID
- 29128
-
UniProt
- Q96T88
抗原
-