电话:
+86 (0512) 65829739
传真:
+86 (010) 6788 5057
电子邮件:
orders@antibodies-online.cn

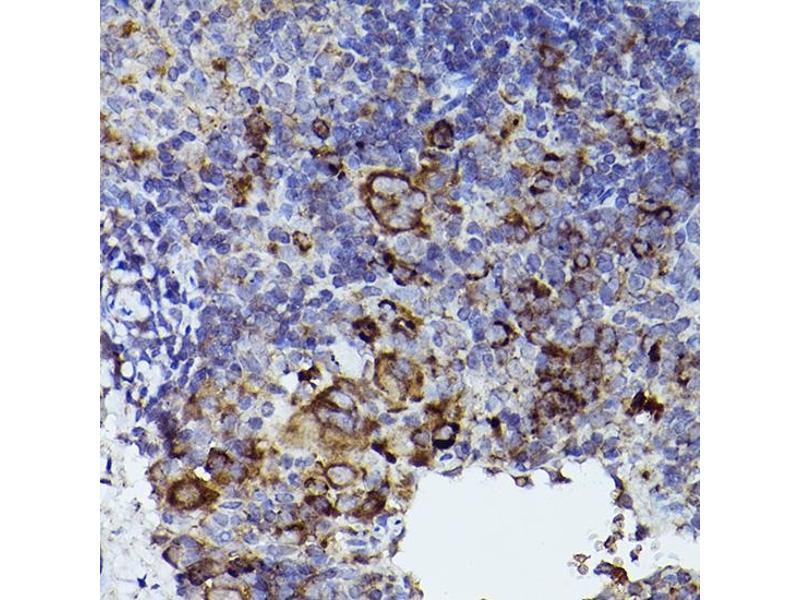
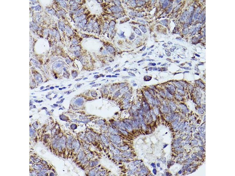
Thrombospondin 1 抗体 (AA 80-360)

There is 1 publication for this product available. The 兔 多克隆 anti-Thrombospondin 1 antibody is suitable to detect Thrombospondin 1 in samples from 人. It has been validated for WB 和 IHC.
产品编号 ABIN3022979
发货至: 中国
Contact our Customer Service for availability and price in your country. Contact Info

Our Local Distributor

中国
北京 101111
No. 88 KeChuang 6th Street
Beijing Economic Technological Development Area
Room 801-803
4A Biotech Co.,Ltd.
Tel +86 (0512) 65829739 传真 +86 (010) 6788 5057

Quick Overview for Thrombospondin 1 抗体 (AA 80-360) (ABIN3022979)

抗原

See all Thrombospondin 1 (THBS1) 抗体
Thrombospondin 1 (THBS1)

适用

  • 64
  • 40
  • 21
  • 7
  • 2
  • 2
  • 2
  • 2
  • 1
  • 1

宿主

  • 86
  • 9
  • 2

克隆类型

  • 76
  • 21
多克隆

标记

  • 49
  • 18
  • 8
  • 5
  • 2
  • 2
  • 2
  • 2
  • 2
  • 2
  • 1
  • 1
  • 1
  • 1
  • 1
This Thrombospondin 1 antibody is un-conjugated

应用范围

  • 65
  • 42
  • 29
  • 19
  • 15
  • 12
  • 11
  • 4
  • 3
  • 2
  • 2
  • 2
  • 2
  • 2
  • 2
  • 2
  • 1
  • 1
  • 1
Western Blotting (WB), Immunohistochemistry (IHC)
  • 抗原表位

    • 10
    • 4
    • 4
    • 3
    • 3
    • 3
    • 3
    • 3
    • 1
    • 1
    • 1
    • 1
    • 1
    • 1
    • 1
    • 1
    • 1
    • 1
    • 1
    • 1
    • 1
    • 1
    AA 80-360

    序列

    DAVRAEKGFL LLASLRQMKK TRGTLLALER KDHSGQVFSV VSNGKAGTLD LSLTVQGKQH VVSVEEALLA TGQWKSITLF VQEDRAQLYI DCEKMENAEL DVPIQSVFTR DLASIARLRI AKGGVNDNFQ GVLQNVRFVF GTTPEDILRN KGCSSSTSVL LTLDNNVVNG SSPAIRTNYI GHKTKDLQAI CGISCDELSS MVLELRGLRT IVTTLQDSIR KVTEENKELA NELRRPPLCY HNGVQYRNNE EWTVDSCTEC HCQNSVTICK KVSCPIMPCS N

    交叉反应

    人, 小鼠, 大鼠

    产品特性

    Polyclonal Antibodies

    免疫原

    Recombinant fusion protein containing a sequence corresponding to amino acids 80-360 of human THBS1 (NP_003237.2).

    亚型

    IgG
  • 应用备注

    WB,1:500 - 1:2000,IHC,1:50 - 1:200

    限制

    仅限研究用
  • 状态

    Liquid

    缓冲液

    PBS with 0.02 % sodium azide,50 % glycerol, pH 7.3.

    储存液

    Sodium azide

    注意事项

    This product contains Sodium azide: a POISONOUS AND HAZARDOUS SUBSTANCE which should be handled by trained staff only.

    注意事项

    Avoid freeze / thaw cycles

    储存条件

    -20 °C

    储存方法

    Store at -20°C. Avoid freeze / thaw cycles.
  • Shen, Cao, Wang, Ma, Zeng, Liu, Li, Tao, Gong, Xie: "Hippo component YAP promotes focal adhesion and tumour aggressiveness via transcriptionally activating THBS1/FAK signalling in breast cancer." in: Journal of experimental & clinical cancer research : CR, Vol. 37, Issue 1, pp. 175, (2018) (PubMed).

  • 抗原

    Thrombospondin 1 (THBS1)

    别名

    THBS1

    背景

    The protein encoded by this gene is a subunit of a disulfide-linked homotrimeric protein. This protein is an adhesive glycoprotein that mediates cell-to-cell and cell-to-matrix interactions. This protein can bind to fibrinogen, fibronectin, laminin, type V collagen and integrins alpha-V/beta-1. This protein has been shown to play roles in platelet aggregation, angiogenesis, and tumorigenesis.,THBS1,THBS,THBS-1,TSP,TSP-1,TSP1,Cancer,Invasion and Metastasis,Cell Biology & Developmental Biology,Cell Adhesion,Endocrine & Metabolism,Neuroscience,Cell Type Marker,Stem Cells,Cardiovascular,Angiogenesis,Angiogenic inhibitory factors,Blood,Hypoxia,Astrocyte marker,THBS1

    分子量

    120 kDa/129 kDa

    基因ID

    7057

    UniProt

    P07996

    途径

    Autophagy
You are here: