GADD45A 抗体 (AA 1-165)
Our Local Distributor
北京 101111
Quick Overview for GADD45A 抗体 (AA 1-165) (ABIN3022564)
抗原
See all GADD45A 抗体适用
宿主
克隆类型
标记
应用范围
-
-
抗原表位
- AA 1-165
-
序列
- MTLEEFSAGE QKTERMDKVG DALEEVLSKA LSQRTITVGV YEAAKLLNVD PDNVVLCLLA ADEDDDRDVA LQIHFTLIQA FCCENDINIL RVSNPGRLAE LLLLETDAGP AASEGAEQPP DLHCVLVTNP HSSQWKDPAL SQLICFCRES RYMDQWVPVI NLPER
-
交叉反应
- 人, 小鼠, 大鼠
-
产品特性
- Polyclonal Antibodies
-
纯化方法
- Affinity purification
-
免疫原
- Recombinant fusion protein containing a sequence corresponding to amino acids 1-165 of human GADD45A (NP_001915.1).
-
亚型
- IgG
-
-
-
-
应用备注
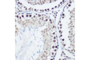
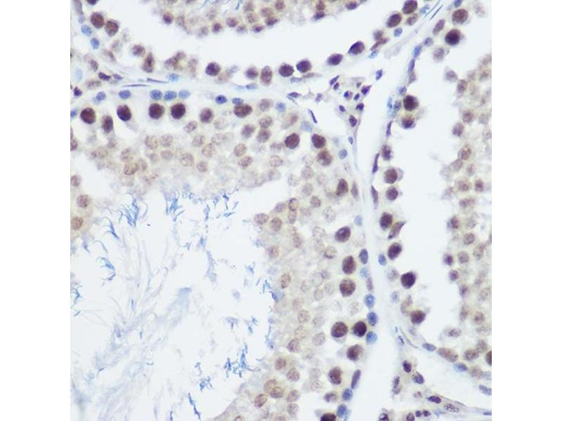
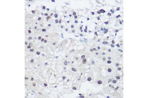
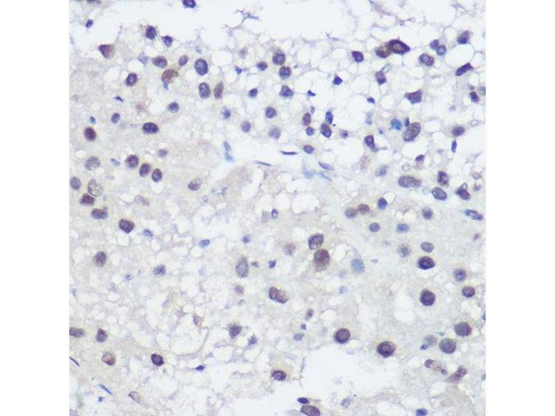
- WB,1:500 - 1:2000,IHC,1:50 - 1:200
-
限制
- 仅限研究用
-
-
-
缓冲液
- PBS with 0.02 % sodium azide,50 % glycerol, pH 7.3.
-
储存液
- Sodium azide
-
注意事项
- This product contains Sodium azide: a POISONOUS AND HAZARDOUS SUBSTANCE which should be handled by trained staff only.
-
储存条件
- -20 °C
-
储存方法
- Store at -20°C. Avoid freeze / thaw cycles.
-
-
- GADD45A (Growth Arrest and DNA-Damage-Inducible, alpha (GADD45A))
-
别名
- GADD45A
-
背景
- This gene is a member of a group of genes whose transcript levels are increased following stressful growth arrest conditions and treatment with DNA-damaging agents. The protein encoded by this gene responds to environmental stresses by mediating activation of the p38/JNK pathway via MTK1/MEKK4 kinase. The DNA damage-induced transcription of this gene is mediated by both p53-dependent and -independent mechanisms. Alternatively spliced transcript variants encoding distinct isoforms have been found for this gene.,DDIT1,GADD45,GADD45A,Epigenetics & Nuclear Signaling,DNA Damage & Repair,Cell Biology & Developmental Biology,Apoptosis,Cell Cycle,Centrosome,G2/M DNA Damage Checkpoint,Immunology & Inflammation,T Cell Receptor Signaling Pathway,GADD45A
-
分子量
- 14 kDa/18 kDa
-
基因ID
- 1647
-
UniProt
- P24522
-
途径
- p53 Pathway, Cell Division Cycle
抗原
-