电话:
+86 (0512) 65829739
传真:
+86 (010) 6788 5057
电子邮件:
orders@antibodies-online.cn

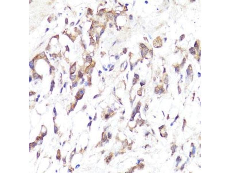
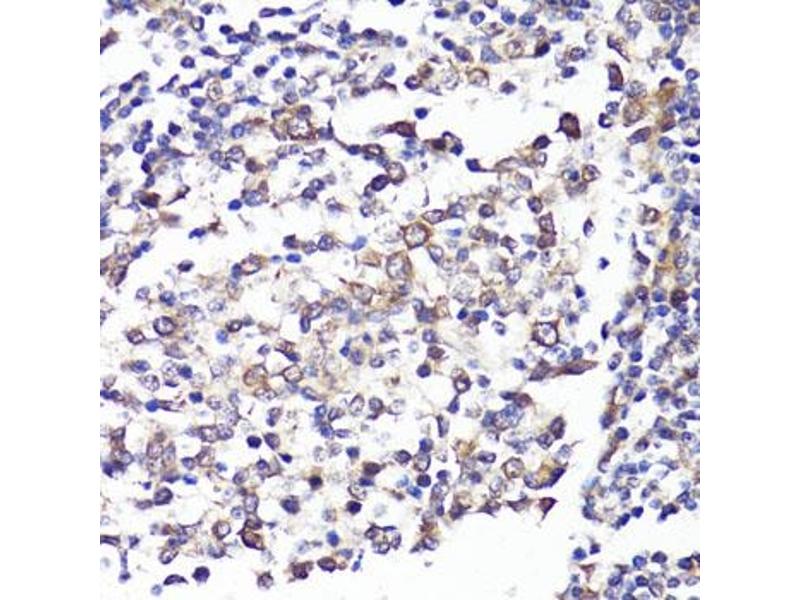
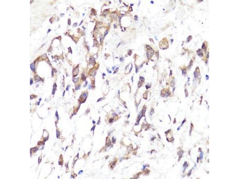
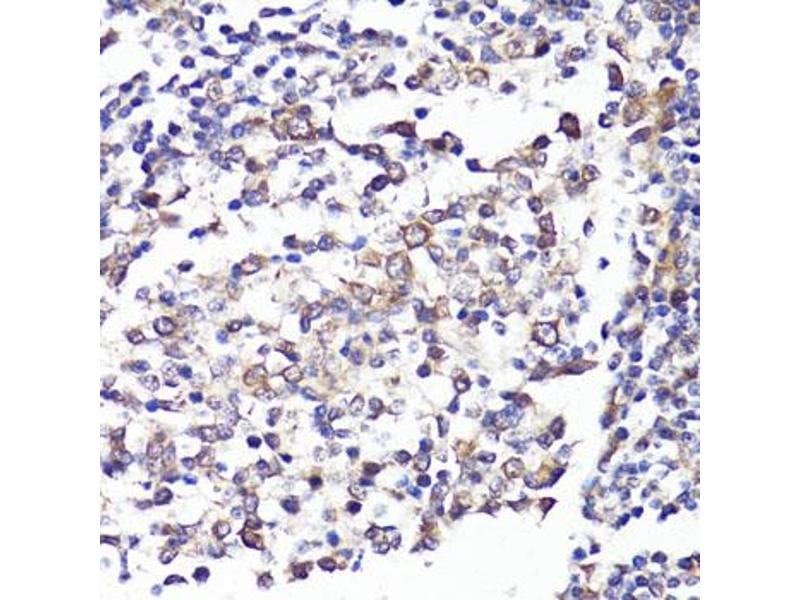
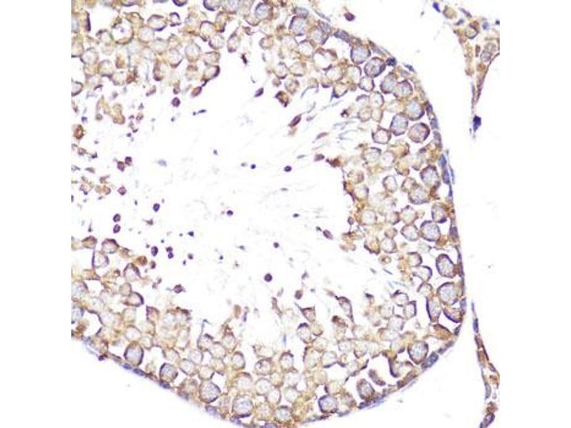
L-Selectin 抗体 (AA 1-100)

The 兔 多克隆 anti-L-Selectin antibody (ABIN3022264) specifically detects L-Selectin in WB 和 IHC. The antibody is reactive with 人 samples.
产品编号 ABIN3022264
发货至: 中国
Contact our Customer Service for availability and price in your country. Contact Info

Our Local Distributor

中国
北京 101111
No. 88 KeChuang 6th Street
Beijing Economic Technological Development Area
Room 801-803
4A Biotech Co.,Ltd.
Tel +86 (0512) 65829739 传真 +86 (010) 6788 5057

Quick Overview for L-Selectin 抗体 (AA 1-100) (ABIN3022264)

抗原

See all L-Selectin (SELL) 抗体
L-Selectin (SELL) (Selectin L (SELL))

适用

  • 130
  • 90
  • 31
  • 19
  • 9
  • 6
  • 4
  • 3
  • 2
  • 2
  • 1

宿主

  • 99
  • 73
  • 58
  • 9
  • 1

克隆类型

  • 186
  • 48
  • 4
多克隆

标记

  • 92
  • 31
  • 21
  • 16
  • 11
  • 7
  • 5
  • 4
  • 4
  • 3
  • 3
  • 3
  • 3
  • 2
  • 2
  • 2
  • 2
  • 2
  • 2
  • 2
  • 2
  • 1
  • 1
  • 1
  • 1
  • 1
  • 1
  • 1
  • 1
  • 1
  • 1
  • 1
  • 1
  • 1
  • 1
  • 1
  • 1
  • 1
  • 1
  • 1
  • 1
This L-Selectin antibody is un-conjugated

应用范围

  • 180
  • 66
  • 65
  • 60
  • 41
  • 28
  • 20
  • 16
  • 14
  • 10
  • 6
  • 6
  • 6
  • 5
  • 5
  • 4
  • 3
  • 2
  • 1
  • 1
  • 1
  • 1
  • 1
  • 1
  • 1
Western Blotting (WB), Immunohistochemistry (IHC)
  • 抗原表位

    • 8
    • 5
    • 4
    • 3
    • 3
    • 2
    • 2
    • 1
    • 1
    • 1
    • 1
    • 1
    • 1
    • 1
    • 1
    • 1
    • 1
    AA 1-100

    序列

    MGCRRTREGP SKAMIFPWKC QSTQRDLWNI FKLWGWTMLC CDFLAHHGTD CWTYHYSEKP MNWQRARRFC RDNYTDLVAI QNKAEIEYLE KTLPFSRSYY

    交叉反应

    人, 小鼠, 大鼠

    产品特性

    Polyclonal Antibodies

    免疫原

    A synthetic peptide corresponding to a sequence within amino acids 1-100 of human SELL (NP_000646.2).

    亚型

    IgG
  • 应用备注

    WB,1:500 - 1:2000,IHC,1:50 - 1:200

    限制

    仅限研究用
  • 状态

    Liquid

    缓冲液

    PBS with 0.02 % sodium azide,50 % glycerol, pH 7.3.

    储存液

    Sodium azide

    注意事项

    This product contains Sodium azide: a POISONOUS AND HAZARDOUS SUBSTANCE which should be handled by trained staff only.

    注意事项

    Avoid freeze / thaw cycles

    储存条件

    -20 °C

    储存方法

    Store at -20°C. Avoid freeze / thaw cycles.
  • 抗原

    L-Selectin (SELL) (Selectin L (SELL))

    别名

    SELL

    背景

    This gene encodes a cell surface adhesion molecule that belongs to a family of adhesion/homing receptors. The encoded protein contains a C-type lectin-like domain, a calcium-binding epidermal growth factor-like domain, and two short complement-like repeats. The gene product is required for binding and subsequent rolling of leucocytes on endothelial cells, facilitating their migration into secondary lymphoid organs and inflammation sites. Single-nucleotide polymorphisms in this gene have been associated with various diseases including immunoglobulin A nephropathy. Alternatively spliced transcript variants have been found for this gene.,SELL,CD62L,LAM1,LECAM1,LEU8,LNHR,LSEL,LYAM1,PLNHR,TQ1,Immunology & Inflammation,CD markers,Stem Cells,Hematopoietic Progenitors,Cardiovascular,Blood,SELL

    分子量

    42 kDa/43 kDa

    基因ID

    6402

    UniProt

    P14151
You are here: