电话:
+86 (0512) 65829739
传真:
+86 (010) 6788 5057
电子邮件:
orders@antibodies-online.cn

GCH1 抗体 (Internal Region)

This 山羊 多克隆 antibody specifically detects GCH1 in ELISA 和 IHC. It exhibits reactivity toward 人.
产品编号 ABIN302137
发货至: 中国
Contact our Customer Service for availability and price in your country. Contact Info

Our Local Distributor

中国
北京 101111
No. 88 KeChuang 6th Street
Beijing Economic Technological Development Area
Room 801-803
4A Biotech Co.,Ltd.
Tel +86 (0512) 65829739 传真 +86 (010) 6788 5057

Quick Overview for GCH1 抗体 (Internal Region) (ABIN302137)

抗原

See all GCH1 抗体
GCH1 (GTP Cyclohydrolase 1 (GCH1))

适用

  • 41
  • 28
  • 14
  • 4
  • 4
  • 4
  • 2
  • 2
  • 2
  • 1
  • 1
  • 1
  • 1
  • 1
  • 1
  • 1

宿主

  • 49
  • 8
山羊

克隆类型

  • 53
  • 4
多克隆

标记

  • 28
  • 4
  • 4
  • 2
  • 1
  • 1
  • 1
  • 1
  • 1
  • 1
  • 1
  • 1
  • 1
  • 1
  • 1
  • 1
  • 1
  • 1
  • 1
  • 1
  • 1
  • 1
  • 1
This GCH1 antibody is un-conjugated

应用范围

  • 49
  • 26
  • 13
  • 13
  • 12
  • 6
  • 4
  • 4
  • 3
  • 1
ELISA, Immunohistochemistry (IHC)

质量等级

Verified
  • 抗原表位

    • 15
    • 9
    • 8
    • 6
    • 6
    • 2
    • 2
    • 2
    • 1
    • 1
    • 1
    Internal Region

    原理

    GCH1

    序列

    GKVHIGYLPN KQ

    特异性

    This antibody is expected to recognize all four isoforms (NP_000152.1 , NP_001019195.1 , NP_001019241.1 , NP_001019242.1)

    交叉反应

    人, 小鼠, 大鼠

    纯化方法

    Purified from goat serum by ammonium sulphate precipitation followed by antigen affinity chromatography using the immunizing peptide.

    免疫原

    Peptide with sequence C-GKVHIGYLPNKQ, from the internal region of the protein sequence according to NP_000152.1 , NP_001019195.1 , NP_001019241.1 , NP_001019242.1 .

    亚型

    IgG
  • 应用备注

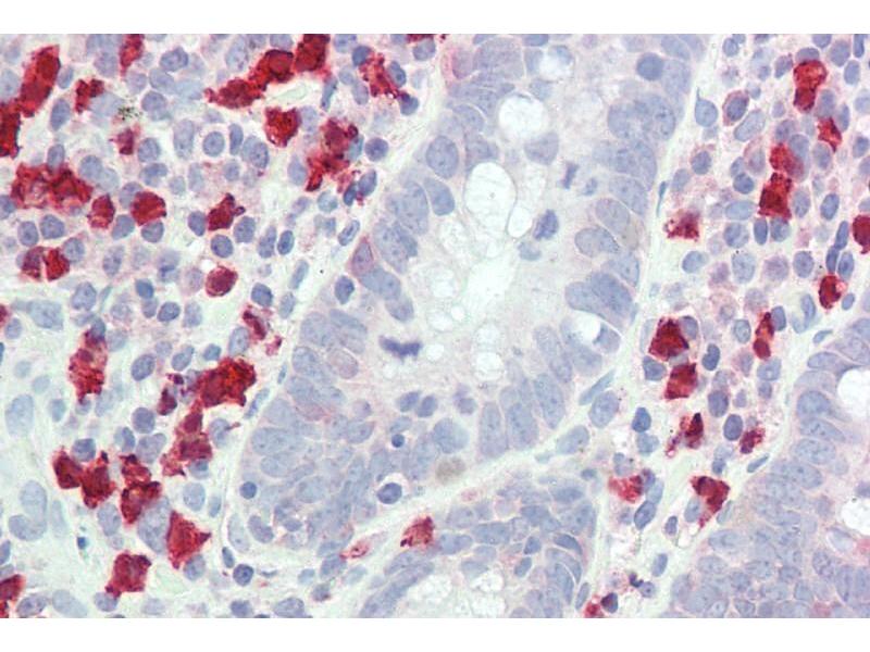
    Immunohistochemistry: Paraffin embedded Human Brain (Cerebellum) and Small Intestine. Recommended concentration: 5 μg/mL.

    Peptide ELISA: antibody detection limit dilution 1:16000.

    限制

    仅限研究用
  • 状态

    Liquid

    浓度

    0.5 mg/mL

    缓冲液

    Supplied at 0.5 mg/mL in Tris saline, 0.02 % sodium azide, pH 7.3 with 0.5 % bovine serum albumin.

    储存液

    Sodium azide

    注意事项

    This product contains Sodium azide: a POISONOUS AND HAZARDOUS SUBSTANCE which should be handled by trained staff only.

    注意事项

    Minimize freezing and thawing.

    储存条件

    -20 °C

    储存方法

    Aliquot and store at -20°C, with minimal freeze/thawing. A working aliquot may be refrigerated at 4°C for a few weeks and still remain viable.
  • 抗原

    GCH1 (GTP Cyclohydrolase 1 (GCH1))

    别名

    GCH1

    背景

    GCH1 , GTP cyclohydrolase 1 (dopa-responsive dystonia) , DYT5, GCH, GTP-CH-1, GTPCH1, GTP cyclohydrolase 1, guanosine 5'-triphosphate cyclohydrolase I

    基因ID

    2643, 14528, 29244

    NCBI登录号

    NP_000152, NP_001019195, NP_001019241, NP_001019242
You are here: