电话:
+86 (0512) 65829739
传真:
+86 (010) 6788 5057
电子邮件:
orders@antibodies-online.cn

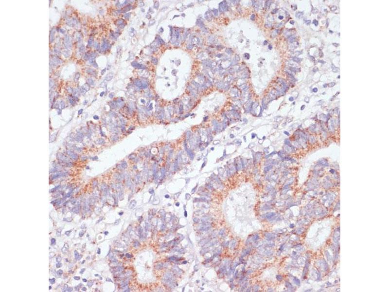
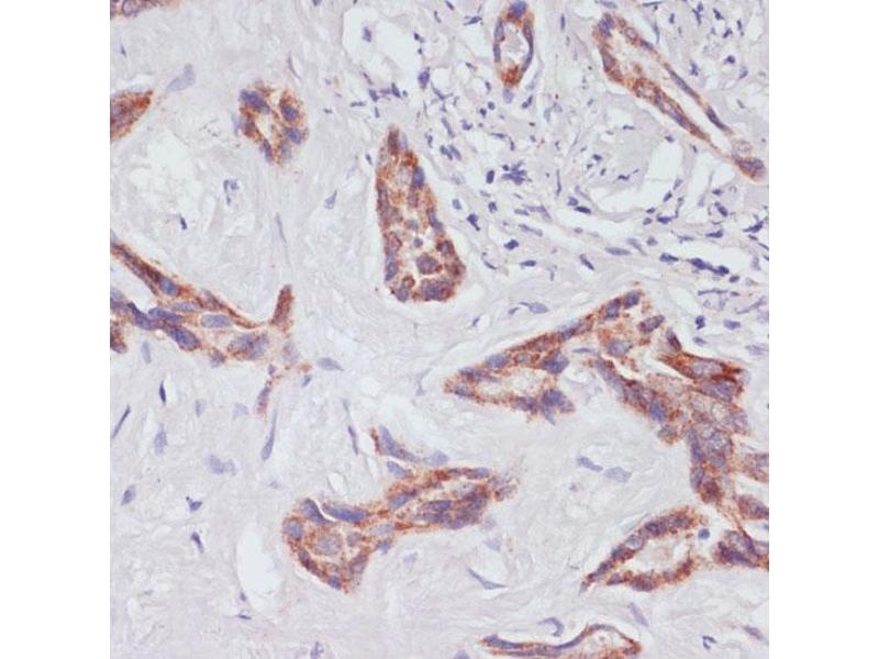
RAP1A 抗体 (AA 50-150)

The 兔 多克隆 anti-RAP1A antibody (ABIN3021200) specifically detects RAP1A in WB, IHC 和 IF. The antibody is reactive with 人 samples.
产品编号 ABIN3021200
发货至: 中国
Contact our Customer Service for availability and price in your country. Contact Info

Our Local Distributor

中国
北京 101111
No. 88 KeChuang 6th Street
Beijing Economic Technological Development Area
Room 801-803
4A Biotech Co.,Ltd.
Tel +86 (0512) 65829739 传真 +86 (010) 6788 5057

Quick Overview for RAP1A 抗体 (AA 50-150) (ABIN3021200)

抗原

See all RAP1A 抗体
RAP1A (RAP1A, Member of RAS Oncogene Family (RAP1A))

适用

  • 47
  • 42
  • 17
  • 6
  • 5
  • 5
  • 3
  • 3
  • 3
  • 3
  • 2
  • 2
  • 2
  • 1
  • 1
  • 1

宿主

  • 51
  • 5

克隆类型

  • 52
  • 4
多克隆

标记

  • 25
  • 4
  • 4
  • 4
  • 1
  • 1
  • 1
  • 1
  • 1
  • 1
  • 1
  • 1
  • 1
  • 1
  • 1
  • 1
  • 1
  • 1
  • 1
  • 1
  • 1
  • 1
  • 1
This RAP1A antibody is un-conjugated

应用范围

  • 43
  • 20
  • 13
  • 13
  • 3
  • 3
  • 3
  • 2
  • 2
  • 2
  • 1
  • 1
Western Blotting (WB), Immunohistochemistry (IHC), Immunofluorescence (IF)
  • 抗原表位

    • 15
    • 8
    • 5
    • 5
    • 3
    • 2
    • 2
    • 2
    • 1
    • 1
    • 1
    • 1
    • 1
    • 1
    AA 50-150

    序列

    QCMLEILDTA GTEQFTAMRD LYMKNGQGFA LVYSITAQST FNDLQDLREQ ILRVKDTEDV PMILVGNKCD LEDERVVGKE QGQNLARQWC NCAFLESSAK S

    交叉反应

    人, 小鼠, 大鼠

    产品特性

    Polyclonal Antibodies

    免疫原

    A synthetic peptide corresponding to a sequence within amino acids 50-150 of human Rap1A (NP_002875.1).

    亚型

    IgG
  • 应用备注

    WB,1:500 - 1:2000,IHC,1:50 - 1:100,IF,1:50 - 1:100

    限制

    仅限研究用
  • 状态

    Liquid

    缓冲液

    PBS with 0.02 % sodium azide,50 % glycerol, pH 7.3.

    储存液

    Sodium azide

    注意事项

    This product contains Sodium azide: a POISONOUS AND HAZARDOUS SUBSTANCE which should be handled by trained staff only.

    注意事项

    Avoid freeze / thaw cycles

    储存条件

    -20 °C

    储存方法

    Store at -20°C. Avoid freeze / thaw cycles.
  • 抗原

    RAP1A (RAP1A, Member of RAS Oncogene Family (RAP1A))

    别名

    RAP1A

    背景

    This gene encodes a member of the Ras family of small GTPases. The encoded protein undergoes a change in conformational state and activity, depending on whether it is bound to GTP or GDP. This protein is activated by several types of guanine nucleotide exchange factors (GEFs), and inactivated by two groups of GTPase-activating proteins (GAPs). The activation status of the encoded protein is therefore affected by the balance of intracellular levels of GEFs and GAPs. The encoded protein regulates signaling pathways that affect cell proliferation and adhesion, and may play a role in tumor malignancy. Pseudogenes of this gene have been defined on chromosomes 14 and 17. Alternative splicing results in multiple transcript variants.,RAP1A,C21KG,G-22K,KREV-1,KREV1,RAP1,SMGP21,Signal Transduction,G protein signaling,Signal Transduction,G2/M DNA Damage Checkpoint,MAPK-Erk Signaling Pathway,Immunology & Inflammation,B Cell Receptor Signaling Pathway,RAP1A

    分子量

    20 kDa

    基因ID

    5906

    UniProt

    P62834

    途径

    TCR Signaling, Neurotrophin Signaling Pathway, Signaling of Hepatocyte Growth Factor Receptor
You are here: