电话:
+86 (0512) 65829739
传真:
+86 (010) 6788 5057
电子邮件:
orders@antibodies-online.cn

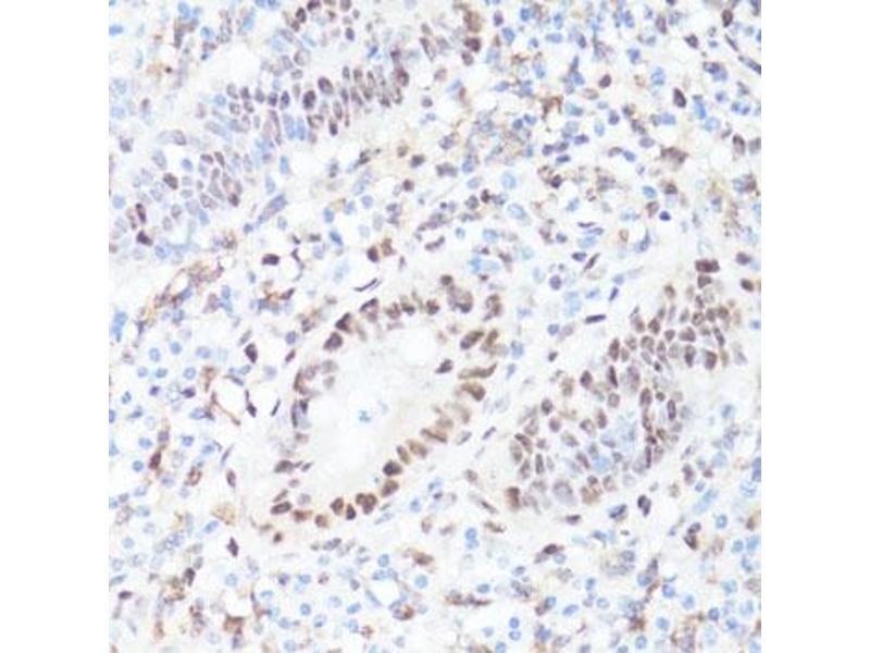
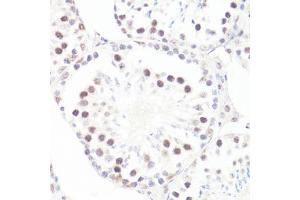
c-MYC 抗体 (pSer62)

This 兔 多克隆 antibody specifically detects c-MYC in WB 和 IHC. It exhibits reactivity toward 人.
产品编号 ABIN3019545
发货至: 中国
Contact our Customer Service for availability and price in your country. Contact Info

Our Local Distributor

中国
北京 101111
No. 88 KeChuang 6th Street
Beijing Economic Technological Development Area
Room 801-803
4A Biotech Co.,Ltd.
Tel +86 (0512) 65829739 传真 +86 (010) 6788 5057

Quick Overview for c-MYC 抗体 (pSer62) (ABIN3019545)

抗原

See all c-MYC (MYC) 抗体
c-MYC (MYC) (Myc Proto-Oncogene protein (MYC))

适用

  • 425
  • 192
  • 161
  • 15
  • 15
  • 14
  • 14
  • 13
  • 10
  • 9
  • 9
  • 6
  • 6
  • 6
  • 6
  • 4
  • 3
  • 3
  • 2
  • 2
  • 2
  • 1
  • 1
  • 1
  • 1
  • 1
  • 1
  • 1

宿主

  • 331
  • 117
  • 6
  • 5
  • 3
  • 1
  • 1

克隆类型

  • 265
  • 198
多克隆

标记

  • 208
  • 36
  • 24
  • 22
  • 9
  • 9
  • 9
  • 9
  • 9
  • 9
  • 8
  • 7
  • 7
  • 6
  • 5
  • 5
  • 5
  • 5
  • 5
  • 5
  • 5
  • 5
  • 5
  • 5
  • 5
  • 4
  • 4
  • 4
  • 4
  • 4
  • 4
  • 3
  • 2
  • 1
  • 1
  • 1
  • 1
  • 1
  • 1
  • 1
  • 1
This c-MYC antibody is un-conjugated

应用范围

  • 341
  • 138
  • 132
  • 128
  • 127
  • 91
  • 81
  • 55
  • 28
  • 26
  • 18
  • 13
  • 12
  • 10
  • 7
  • 6
  • 4
  • 1
  • 1
  • 1
  • 1
Western Blotting (WB), Immunohistochemistry (IHC)
  • 抗原表位

    • 74
    • 71
    • 69
    • 52
    • 23
    • 23
    • 17
    • 15
    • 15
    • 11
    • 10
    • 7
    • 7
    • 6
    • 4
    • 4
    • 4
    • 4
    • 3
    • 3
    • 2
    • 2
    • 2
    • 2
    • 2
    • 2
    • 2
    • 2
    • 2
    • 1
    • 1
    • 1
    • 1
    • 1
    • 1
    • 1
    • 1
    • 1
    • 1
    • 1
    • 1
    • 1
    • 1
    • 1
    • 1
    • 1
    • 1
    • 1
    • 1
    • 1
    pSer62

    交叉反应

    人, 小鼠, 大鼠

    产品特性

    Phosphorylated Antibodies

    纯化方法

    Affinity purification

    免疫原

    A phospho specific peptide corresponding to residues surrounding S62 of human MYC

    亚型

    IgG
  • 应用备注

    WB,1:500 - 1:2000,IHC,1:50 - 1:200

    限制

    仅限研究用
  • 缓冲液

    PBS with 0.02 % sodium azide,50 % glycerol, pH 7.3.

    储存液

    Sodium azide

    注意事项

    This product contains Sodium azide: a POISONOUS AND HAZARDOUS SUBSTANCE which should be handled by trained staff only.

    储存条件

    -20 °C

    储存方法

    Store at -20°C. Avoid freeze / thaw cycles.
  • 抗原

    c-MYC (MYC) (Myc Proto-Oncogene protein (MYC))

    别名

    MYC

    背景

    The protein encoded by this gene is a multifunctional, nuclear phosphoprotein that plays a role in cell cycle progression, apoptosis and cellular transformation. It functions as a transcription factor that regulates transcription of specific target genes. Mutations, overexpression, rearrangement and translocation of this gene have been associated with a variety of hematopoietic tumors, leukemias and lymphomas, including Burkitt lymphoma. There is evidence to show that alternative translation initiations from an upstream, in-frame non-AUG (CUG) and a downstream AUG start site result in the production of two isoforms with distinct N-termini. The synthesis of non-AUG initiated protein is suppressed in Burkitt's lymphomas, suggesting its importance in the normal function of this gene.,MRTL,MYCC,bHLHe39,c-Myc,MYC,Epigenetics & Nuclear Signaling,Transcription Factors,Cancer,Tumor biomarkers,Signal Transduction,MAPK-Erk Signaling Pathway,MAPK-P38 Signaling Pathway,Cell Biology & Developmental Biology,Apoptosis,Cell Cycle,Cell differentiation,G1/S Checkpoint,Hedgehog Signaling Pathway,Notch Signaling Pathway,Endocrine & Metabolism,Warburg Effect,Immunology & Inflammation,IL-6 Receptor Signaling Pathway,Stem Cells,Protein phosphorylation,MYC

    分子量

    48 kDa/50 kDa

    基因ID

    4609

    UniProt

    P01106

    途径

    p53 Pathway, Cell Division Cycle, Sensory Perception of Sound, Transition Metal Ion Homeostasis, Mitotic G1-G1/S Phases, Positive Regulation of Endopeptidase Activity, Regulation of Carbohydrate Metabolic Process, Positive Regulation of Response to DNA Damage Stimulus, Warburg Effect
You are here: