电话:
+86 (0512) 65829739
传真:
+86 (010) 6788 5057
电子邮件:
orders@antibodies-online.cn

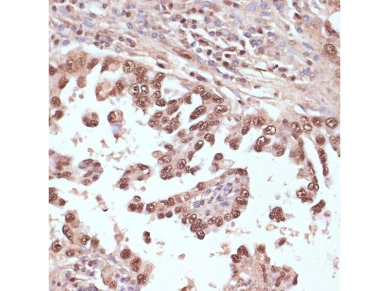
RAD50 抗体 (AA 1-100)

This 兔 多克隆 antibody specifically detects RAD50 in WB, IHC 和 IP. It exhibits reactivity toward 人.It has been mentioned in 1 publication
产品编号 ABIN3017330
发货至: 中国
Contact our Customer Service for availability and price in your country. Contact Info

Our Local Distributor

中国
北京 101111
No. 88 KeChuang 6th Street
Beijing Economic Technological Development Area
Room 801-803
4A Biotech Co.,Ltd.
Tel +86 (0512) 65829739 传真 +86 (010) 6788 5057

Quick Overview for RAD50 抗体 (AA 1-100) (ABIN3017330)

抗原

See all RAD50 抗体
RAD50 (RAD50 Homolog (S. Cerevisiae) (RAD50))

适用

  • 80
  • 65
  • 33
  • 5
  • 5
  • 4
  • 3
  • 2
  • 2
  • 1
  • 1
  • 1
  • 1
  • 1

宿主

  • 85
  • 6

克隆类型

  • 71
  • 20
多克隆

标记

  • 44
  • 8
  • 3
  • 3
  • 3
  • 3
  • 3
  • 3
  • 3
  • 2
  • 2
  • 1
  • 1
  • 1
  • 1
  • 1
  • 1
  • 1
  • 1
  • 1
  • 1
  • 1
  • 1
  • 1
  • 1
This RAD50 antibody is un-conjugated

应用范围

  • 73
  • 31
  • 22
  • 19
  • 19
  • 19
  • 13
  • 13
  • 10
  • 10
  • 3
  • 2
  • 1
  • 1
  • 1
Western Blotting (WB), Immunohistochemistry (IHC), Immunoprecipitation (IP)
  • 抗原表位

    • 16
    • 8
    • 5
    • 4
    • 3
    • 3
    • 3
    • 2
    • 2
    • 2
    • 2
    • 1
    • 1
    • 1
    • 1
    • 1
    • 1
    • 1
    • 1
    AA 1-100

    序列

    MSRIEKMSIL GVRSFGIEDK DKQIITFFSP LTILVGPNGA GKTTIIECLK YICTGDFPPG TKGNTFVHDP KVAQETDVRA QIRLQFRDVN GELIAVQRSM

    交叉反应

    人, 小鼠, 大鼠

    产品特性

    Polyclonal Antibodies

    免疫原

    A synthetic peptide corresponding to a sequence within amino acids 1-100 of human Rad50 (NP_005723.2).

    亚型

    IgG
  • 应用备注

    WB,1:500 - 1:2000,IHC,1:50 - 1:200,IP,1:20 - 1:50

    限制

    仅限研究用
  • 缓冲液

    PBS with 0.02 % sodium azide,50 % glycerol, pH 7.3.

    储存液

    Sodium azide

    注意事项

    This product contains Sodium azide: a POISONOUS AND HAZARDOUS SUBSTANCE which should be handled by trained staff only.

    储存条件

    -20 °C

    储存方法

    Store at -20°C. Avoid freeze / thaw cycles.
  • Zhang, Tang, Jiang, Mao: "The transcription factor GATA3 is required for homologous recombination repair by regulating CtIP expression." in: Oncogene, Vol. 36, Issue 36, pp. 5168-5176, (2017) (PubMed).

  • 抗原

    RAD50 (RAD50 Homolog (S. Cerevisiae) (RAD50))

    别名

    RAD50

    背景

    The protein encoded by this gene is highly similar to Saccharomyces cerevisiae Rad50, a protein involved in DNA double-strand break repair. This protein forms a complex with MRE11 and NBS1. The protein complex binds to DNA and displays numerous enzymatic activities that are required for nonhomologous joining of DNA ends. This protein, cooperating with its partners, is important for DNA double-strand break repair, cell cycle checkpoint activation, telomere maintenance, and meiotic recombination. Knockout studies of the mouse homolog suggest this gene is essential for cell growth and viability. Mutations in this gene are the cause of Nijmegen breakage syndrome-like disorder.,RAD50,NBSLD,RAD502,hRad50,Epigenetics & Nuclear Signaling,DNA Damage & Repair,Cell Biology & Developmental Biology,Cell Cycle,G2/M DNA Damage Checkpoint,RAD50

    分子量

    138 kDa/153 kDa/154 kDa

    基因ID

    10111

    UniProt

    Q92878

    途径

    DNA Damage Repair, Protein targeting to Nucleus
You are here: