电话:
+86 (0512) 65829739
传真:
+86 (010) 6788 5057
电子邮件:
orders@antibodies-online.cn

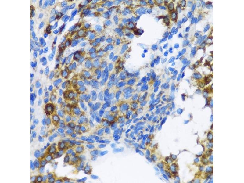
Patched 1 抗体 (AA 1214-1312)

The 兔 多克隆 anti-Patched 1 antibody (ABIN3015343) specifically detects Patched 1 in WB, IHC 和 IF. The antibody is reactive with 人 samples.
产品编号 ABIN3015343
发货至: 中国
Contact our Customer Service for availability and price in your country. Contact Info

Our Local Distributor

中国
北京 101111
No. 88 KeChuang 6th Street
Beijing Economic Technological Development Area
Room 801-803
4A Biotech Co.,Ltd.
Tel +86 (0512) 65829739 传真 +86 (010) 6788 5057

Quick Overview for Patched 1 抗体 (AA 1214-1312) (ABIN3015343)

抗原

See all Patched 1 (PTCH1) 抗体
Patched 1 (PTCH1)

适用

  • 44
  • 29
  • 10
  • 3
  • 2
  • 2
  • 2
  • 2
  • 2
  • 1
  • 1

宿主

  • 38
  • 7
  • 4
  • 3

克隆类型

  • 43
  • 9
多克隆

标记

  • 40
  • 2
  • 2
  • 2
  • 1
  • 1
  • 1
  • 1
  • 1
  • 1
This Patched 1 antibody is un-conjugated

应用范围

  • 34
  • 24
  • 20
  • 12
  • 6
  • 5
  • 3
  • 1
Western Blotting (WB), Immunohistochemistry (IHC), Immunofluorescence (IF)
  • 抗原表位

    • 5
    • 4
    • 3
    • 3
    • 3
    • 2
    • 2
    • 2
    • 1
    • 1
    • 1
    • 1
    • 1
    • 1
    • 1
    • 1
    • 1
    • 1
    • 1
    • 1
    • 1
    AA 1214-1312

    序列

    THSGSDSSDS EYSSQTTVSG LSEELRHYEA QQGAGGPAHQ VIVEATENPV FAHSTVVHPE SRHHPPSNPR QQPHLDSGSL PPGRQGQQPR RDPPREGLW

    交叉反应

    人, 小鼠, 大鼠

    产品特性

    Polyclonal Antibodies

    免疫原

    Recombinant fusion protein containing a sequence corresponding to amino acids 1214-1312 of human PTCH1 (NP_000255.2).

    亚型

    IgG
  • 应用备注

    WB,1:500 - 1:1000,IHC,1:50 - 1:100,IF,1:50 - 1:100

    限制

    仅限研究用
  • 缓冲液

    PBS with 0.02 % sodium azide,50 % glycerol, pH 7.3.

    储存液

    Sodium azide

    注意事项

    This product contains Sodium azide: a POISONOUS AND HAZARDOUS SUBSTANCE which should be handled by trained staff only.

    储存条件

    -20 °C

    储存方法

    Store at -20°C. Avoid freeze / thaw cycles.
  • 抗原

    Patched 1 (PTCH1)

    别名

    PTCH1

    背景

    This gene encodes a member of the patched gene family. The encoded protein is the receptor for sonic hedgehog, a secreted molecule implicated in the formation of embryonic structures and in tumorigenesis, as well as the desert hedgehog and indian hedgehog proteins. This gene functions as a tumor suppressor. Mutations of this gene have been associated with basal cell nevus syndrome, esophageal squamous cell carcinoma, trichoepitheliomas, transitional cell carcinomas of the bladder, as well as holoprosencephaly. Alternative splicing results in multiple transcript variants encoding different isoforms. Additional splice variants have been described, but their full length sequences and biological validity cannot be determined currently.,PTCH1,BCNS,HPE7,NBCCS,PTC,PTC1,PTCH,PTCH11,patched 1,Cancer,Tumor suppressors,Signal Transduction,G protein signaling,Cell Biology & Developmental Biology,Cell Cycle,Cell cycle inhibitors,Hedgehog Signaling Pathway,Neuroscience,Stem Cells,PTCH1

    分子量

    144 kDa/153 kDa/160 kDa/161 kDa

    基因ID

    5727

    UniProt

    Q13635

    途径

    Hedgehog Signaling, Carbohydrate Homeostasis, Tube Formation
You are here: