电话:
+86 (0512) 65829739
传真:
+86 (010) 6788 5057
电子邮件:
orders@antibodies-online.cn

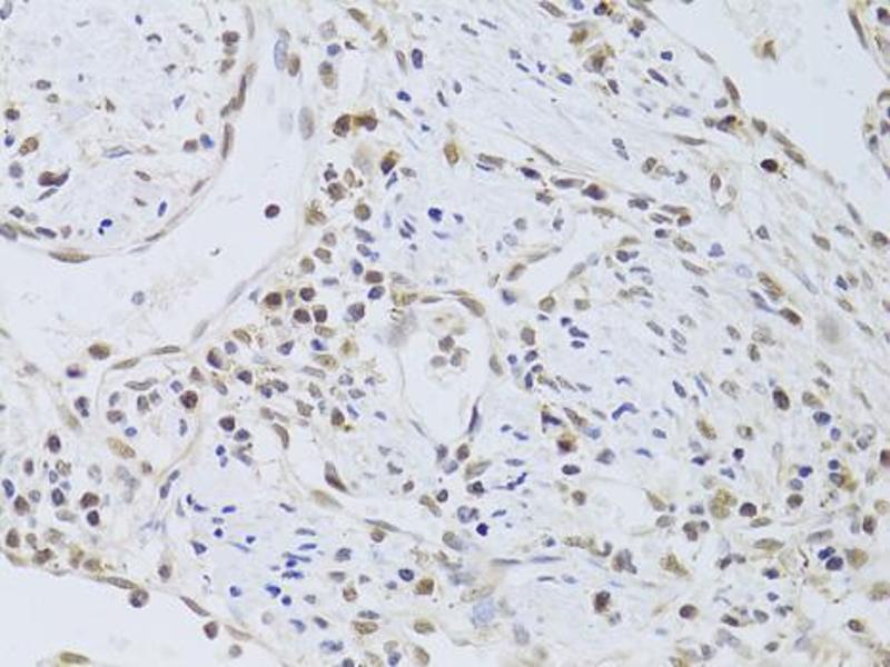
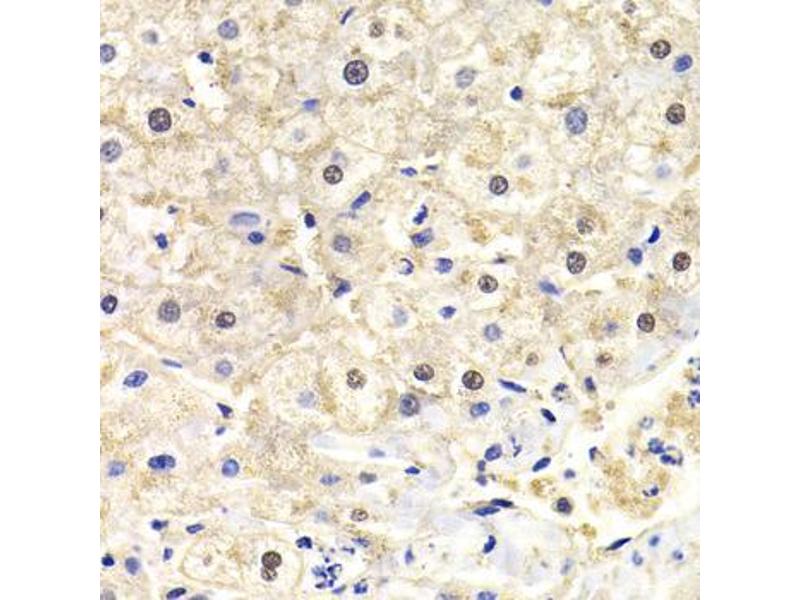
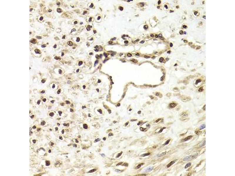
FKBP4 抗体

This 兔 多克隆 antibody specifically detects FKBP4 in WB, IHC, IP 和 IF/ICC. It exhibits reactivity toward 人 和 小鼠.
产品编号 ABIN2976099
发货至: 中国
Contact our Customer Service for availability and price in your country. Contact Info

Our Local Distributor

中国
北京 101111
No. 88 KeChuang 6th Street
Beijing Economic Technological Development Area
Room 801-803
4A Biotech Co.,Ltd.
Tel +86 (0512) 65829739 传真 +86 (010) 6788 5057

Quick Overview for FKBP4 抗体 (ABIN2976099)

抗原

See all FKBP4 抗体
FKBP4 (FK506 Binding Protein 4, 59kDa (FKBP4))

适用

  • 118
  • 54
  • 39
  • 6
  • 4
  • 4
  • 3
  • 3
  • 3
  • 2
  • 1
人, 小鼠

宿主

  • 88
  • 28
  • 2

克隆类型

  • 63
  • 55
多克隆

标记

  • 54
  • 8
  • 4
  • 4
  • 4
  • 4
  • 4
  • 4
  • 4
  • 3
  • 2
  • 2
  • 2
  • 2
  • 2
  • 2
  • 1
  • 1
  • 1
  • 1
  • 1
  • 1
  • 1
  • 1
  • 1
  • 1
  • 1
  • 1
  • 1
This FKBP4 antibody is un-conjugated

应用范围

  • 99
  • 62
  • 40
  • 29
  • 29
  • 18
  • 16
  • 15
  • 14
  • 14
  • 3
  • 2
  • 2
  • 2
  • 1
Western Blotting (WB), Immunohistochemistry (IHC), Immunoprecipitation (IP), Immunofluorescence (fixed cells) (IF/ICC)
You are here: