电话:
+86 (0512) 65829739
传真:
+86 (010) 6788 5057
电子邮件:
orders@antibodies-online.cn

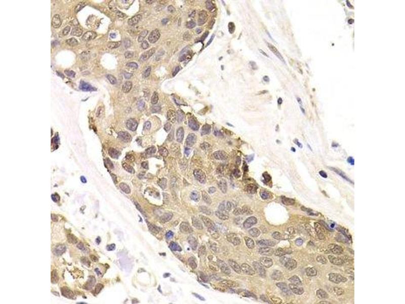
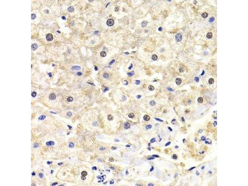
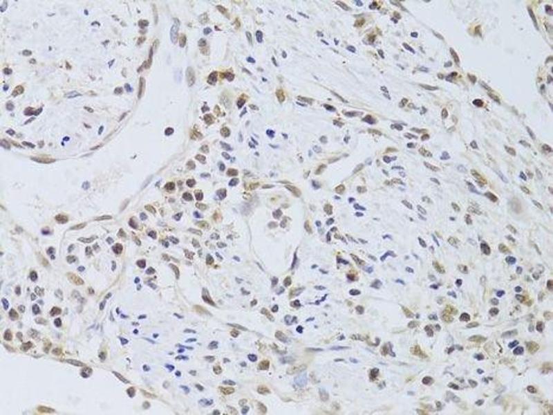
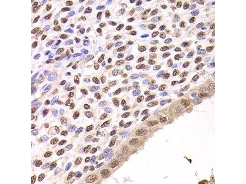
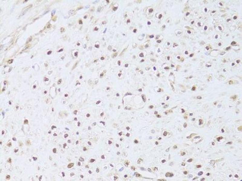
FKBP4 抗体 (AA 220-459)

The 兔 多克隆 anti-FKBP4 antibody is suitable to detect FKBP4 in samples from 人. It has been validated for WB, IHC, IP 和 IF.
产品编号 ABIN6140658
发货至: 中国
Contact our Customer Service for availability and price in your country. Contact Info

Our Local Distributor

中国
北京 101111
No. 88 KeChuang 6th Street
Beijing Economic Technological Development Area
Room 801-803
4A Biotech Co.,Ltd.
Tel +86 (0512) 65829739 传真 +86 (010) 6788 5057

Quick Overview for FKBP4 抗体 (AA 220-459) (ABIN6140658)

抗原

See all FKBP4 抗体
FKBP4 (FK506 Binding Protein 4, 59kDa (FKBP4))

适用

  • 117
  • 54
  • 39
  • 6
  • 4
  • 4
  • 3
  • 3
  • 3
  • 2
  • 1

宿主

  • 87
  • 28
  • 2

克隆类型

  • 62
  • 55
多克隆

标记

  • 53
  • 8
  • 4
  • 4
  • 4
  • 4
  • 4
  • 4
  • 4
  • 3
  • 2
  • 2
  • 2
  • 2
  • 2
  • 2
  • 1
  • 1
  • 1
  • 1
  • 1
  • 1
  • 1
  • 1
  • 1
  • 1
  • 1
  • 1
  • 1
This FKBP4 antibody is un-conjugated

应用范围

  • 98
  • 61
  • 39
  • 29
  • 28
  • 18
  • 16
  • 15
  • 14
  • 14
  • 3
  • 2
  • 2
  • 2
  • 1
Western Blotting (WB), Immunohistochemistry (IHC), Immunoprecipitation (IP), Immunofluorescence (IF)
  • 抗原表位

    • 15
    • 8
    • 5
    • 4
    • 3
    • 3
    • 2
    • 2
    • 2
    • 2
    • 2
    • 1
    • 1
    • 1
    • 1
    • 1
    • 1
    AA 220-459

    序列

    YLKPSYAFGS VGKEKFQIPP NAELKYELHL KSFEKAKESW EMNSEEKLEQ STIVKERGTV YFKEGKYKQA LLQYKKIVSW LEYESSFSNE EAQKAQALRL ASHLNLAMCH LKLQAFSAAI ESCNKALELD SNNEKGLFRR GEAHLAVNDF ELARADFQKV LQLYPNNKAA KTQLAVCQQR IRRQLAREKK LYANMFERLA EEENKAKAEA SSGDHPTDTE MKEEQKSNTA GSQSQVETEA

    交叉反应

    人, 小鼠, 大鼠

    产品特性

    Polyclonal Antibodies

    纯化方法

    Affinity purification

    免疫原

    Recombinant fusion protein containing a sequence corresponding to amino acids 220-459 of human FKBP52/FKBP52/FKBP4 (NP_002005.1).

    亚型

    IgG
  • 应用备注

    WB,1:500 - 1:2000,IHC,1:50 - 1:200,IF,1:50 - 1:100,IP,1:50 - 1:200

    说明

    HIGH QUALITY

    限制

    仅限研究用
  • 状态

    Liquid

    缓冲液

    PBS with 0.02 % sodium azide,50 % glycerol, pH 7.3.

    储存液

    Sodium azide

    注意事项

    This product contains Sodium azide: a POISONOUS AND HAZARDOUS SUBSTANCE which should be handled by trained staff only.

    储存条件

    -20 °C

    储存方法

    Store at -20°C. Avoid freeze / thaw cycles.
  • 抗原

    FKBP4 (FK506 Binding Protein 4, 59kDa (FKBP4))

    别名

    FKBP4

    背景

    The protein encoded by this gene is a member of the immunophilin protein family, which play a role in immunoregulation and basic cellular processes involving protein folding and trafficking. This encoded protein is a cis-trans prolyl isomerase that binds to the immunosuppressants FK506 and rapamycin. It has high structural and functional similarity to FK506-binding protein 1A (FKBP1A), but unlike FKBP1A, this protein does not have immunosuppressant activity when complexed with FK506. It interacts with interferon regulatory factor-4 and plays an important role in immunoregulatory gene expression in B and T lymphocytes. This encoded protein is known to associate with phytanoyl-CoA alpha-hydroxylase. It can also associate with two heat shock proteins (hsp90 and hsp70) and thus may play a role in the intracellular trafficking of hetero-oligomeric forms of the steroid hormone receptors. This protein correlates strongly with adeno-associated virus type 2 vectors (AAV) resulting in a significant increase in AAV-mediated transgene expression in human cell lines. Thus this encoded protein is thought to have important implications for the optimal use of AAV vectors in human gene therapy. The human genome contains several non-transcribed pseudogenes similar to this gene.,FKBP4,FKBP51,FKBP52,FKBP59,HBI,Hsp56,PPIase,p52,Epigenetics & Nuclear Signaling,RNA Binding,Nuclear Receptor Signaling,Nuclear hormone receptors,Signal Transduction,Cell Biology & Developmental Biology,Cytoskeleton,Microtubules,FKBP4

    分子量

    51 kDa

    基因ID

    2288

    UniProt

    Q02790

    途径

    Intracellular Steroid Hormone Receptor Signaling Pathway
You are here: