电话:
+86 (0512) 65829739
传真:
+86 (010) 6788 5057
电子邮件:
orders@antibodies-online.cn

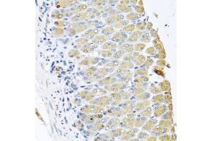
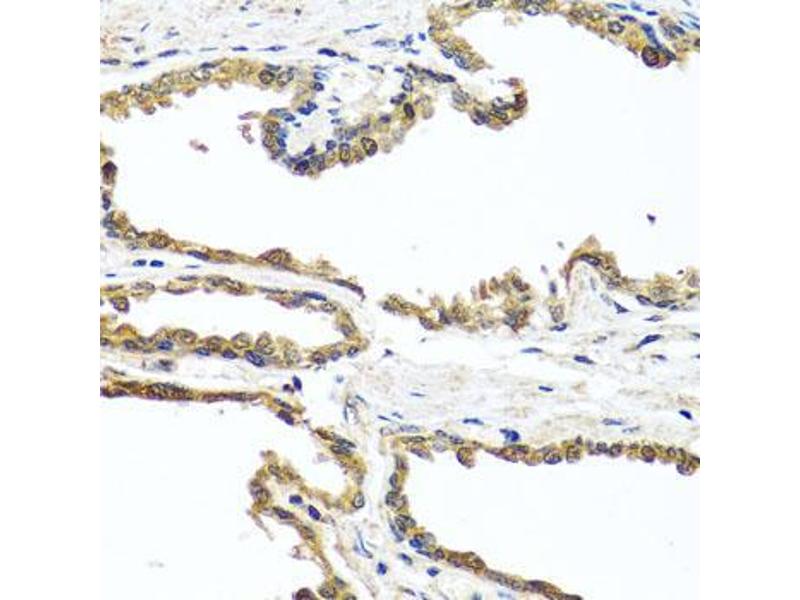
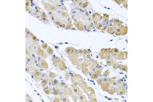
OGFR 抗体

The 兔 多克隆 anti-OGFR antibody is suitable to detect OGFR in samples from 人, 小鼠 和 大鼠. It has been validated for WB, IHC 和 IF/ICC.
产品编号 ABIN2970393
发货至: 中国
Contact our Customer Service for availability and price in your country. Contact Info

Our Local Distributor

中国
北京 101111
No. 88 KeChuang 6th Street
Beijing Economic Technological Development Area
Room 801-803
4A Biotech Co.,Ltd.
Tel +86 (0512) 65829739 传真 +86 (010) 6788 5057

Quick Overview for OGFR 抗体 (ABIN2970393)

抗原

See all OGFR 抗体
OGFR (Opioid Growth Factor Receptor (OGFR))

适用

人, 小鼠, 大鼠

宿主

  • 21
  • 1

克隆类型

  • 22
多克隆

标记

  • 15
  • 1
  • 1
  • 1
  • 1
  • 1
  • 1
  • 1
This OGFR antibody is un-conjugated

应用范围

  • 13
  • 9
  • 6
  • 5
  • 2
  • 1
  • 1
  • 1
Western Blotting (WB), Immunohistochemistry (IHC), Immunofluorescence (fixed cells) (IF/ICC)
You are here: