电话:
+86 (0512) 65829739
传真:
+86 (010) 6788 5057
电子邮件:
orders@antibodies-online.cn

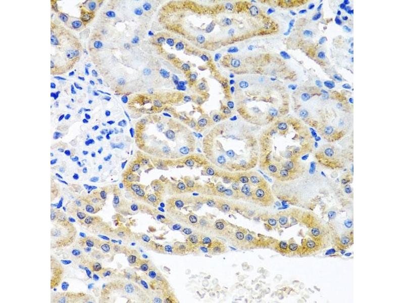
OGFR 抗体 (AA 1-280)

There is 1 publication for this product available. The 兔 多克隆 anti-OGFR antibody is suitable to detect OGFR in samples from 人. It has been validated for WB, IHC 和 IF.
产品编号 ABIN6145006
发货至: 中国
Contact our Customer Service for availability and price in your country. Contact Info

Our Local Distributor

中国
北京 101111
No. 88 KeChuang 6th Street
Beijing Economic Technological Development Area
Room 801-803
4A Biotech Co.,Ltd.
Tel +86 (0512) 65829739 传真 +86 (010) 6788 5057

Quick Overview for OGFR 抗体 (AA 1-280) (ABIN6145006)

抗原

See all OGFR 抗体
OGFR (Opioid Growth Factor Receptor (OGFR))

适用

  • 20
  • 4
  • 3

宿主

  • 20
  • 1

克隆类型

  • 21
多克隆

标记

  • 14
  • 1
  • 1
  • 1
  • 1
  • 1
  • 1
  • 1
This OGFR antibody is un-conjugated

应用范围

  • 12
  • 9
  • 5
  • 4
  • 2
  • 1
  • 1
  • 1
Western Blotting (WB), Immunohistochemistry (IHC), Immunofluorescence (IF)
  • 抗原表位

    • 2
    • 2
    • 1
    • 1
    • 1
    • 1
    • 1
    • 1
    AA 1-280

    序列

    MDDPDCDSTW EEDEEDAEDA EDEDCEDGEA AGARDADAGD EDEESEEPRA ARPSSFQSRM TGSRNWRATR DMCRYRHNYP DLVERDCNGD TPNLSFYRNE IRFLPNGCFI EDILQNWTDN YDLLEDNHSY IQWLFPLREP GVNWHAKPLT LREVEVFKSS QEIQERLVRA YELMLGFYGI RLEDRGTGTV GRAQNYQKRF QNLNWRSHNN LRITRILKSL GELGLEHFQA PLVRFFLEET LVRRELPGVR QSALDYFMFA VRCRHQRRQL VHFAWEHFRP

    交叉反应

    人, 小鼠, 大鼠

    产品特性

    Polyclonal Antibodies

    免疫原

    Recombinant fusion protein containing a sequence corresponding to amino acids 1-280 of human OGFR (NP_031372.2).

    亚型

    IgG
  • 应用备注

    WB,1:500 - 1:2000,IHC,1:50 - 1:200,IF,1:50 - 1:100

    说明

    HIGH QUALITY

    限制

    仅限研究用
  • 状态

    Liquid

    缓冲液

    PBS with 0.02 % sodium azide,50 % glycerol, pH 7.3.

    储存液

    Sodium azide

    注意事项

    This product contains Sodium azide: a POISONOUS AND HAZARDOUS SUBSTANCE which should be handled by trained staff only.

    储存条件

    -20 °C

    储存方法

    Store at -20°C. Avoid freeze / thaw cycles.
  • Wu, Xiong, Li, Yang, Ge et al.: "Integrated Proteomic and Transcriptomic Analysis Reveals Long Noncoding RNA HOX Transcript Antisense Intergenic RNA (HOTAIR) Promotes Hepatocellular Carcinoma Cell Proliferation by Regulating Opioid ..." in: Molecular & cellular proteomics : MCP, Vol. 17, Issue 1, pp. 146-159, (2019) (PubMed).

  • 抗原

    OGFR (Opioid Growth Factor Receptor (OGFR))

    别名

    OGFR

    背景

    The protein encoded by this gene is a receptor for opioid growth factor (OGF), also known as [Met(5)]-enkephalin. OGF is a negative regulator of cell proliferation and tissue organization in a variety of processes. The encoded unbound receptor for OGF has been localized to the outer nuclear envelope, where it binds OGF and is translocated into the nucleus. The coding sequence of this gene contains a polymorphic region of 60 nt tandem imperfect repeat units. Several transcripts containing between zero and eight repeat units have been reported.,OGFR,Signal Transduction,G protein signaling,G-Protein-Coupled Receptors(GPCR),Cell Biology & Developmental Biology,Cell Cycle,Cell differentiation,OGFR

    分子量

    71 kDa/73 kDa

    基因ID

    11054

    UniProt

    Q9NZT2
You are here: